вверх
отправить
поиск
админ
главная
|
Артродез или эндопротезирование |
 |
 |
 |
Отправлено Юрий Алексеевич Булахтин 03 Июль 2006, 17:18 Камчатский Военно-морской госпиталь
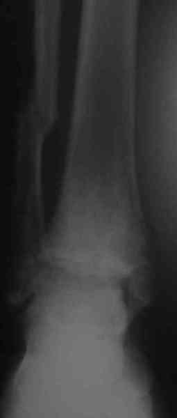
Уважаемые коллеги! Хотел-бы продолжить разговор об исходах переломо-вывихов в голеностопном суставе. При этом, в данном конкретном случае, хотелось узнать мнение опытных коллег об эндопротезировании. На консультацию обратилась пациентка, 26лет. В 2002 году открытый переломо-вывих. Лечение: вправление, трансфиксация спицами и гипсовая повязка. Около 4-х месяцев сохранялись явления нагноения вокруг спиц. На сегодня - движения в суставе отсутствуют, постоянные боли, функциональное укорочение конечности = 3 см. На недавней конференции по хирургии стопы и голеностопного сустава демонстрировался эндопротез НИИТО им. Вредена, внешне понравился. Юрий Алексеевич Булахтин
<
|
>
|
|
Ответить
|
Re: Артродез или эндопротезирование
Alexander Chelnokov 04 Июль 2006, 17:46
|
Опыт эндопротезирования голеностопного сстава уже есть в Курганском РНЦ ВТО, может быть, Елена Александровна Волокитина прокомментирует состояние проблемы.
Мне представляется, что артродез в данном случае - надежная "синица в руках". Очевидно, что замыкание голеностопного сустава не ведет к таким функциональным дефицитам, как коленного или тазобедренного. Не уверен, что привлекательность сохранения подвижности тут настолько велика, что оправдывает все трудности и риски у этой пациентки.
|
[
Ответить ]
|
Re: Артродез или эндопротезирование
A Liberson 04 Июль 2006, 18:43
|
Dear collegues!
In current patient there are 2 good reasons to avoid an endoprosthesis:
1. History of infection
2. Young age-I would hesitate to offer endoprosthesis to a young lady.
I would do it in 40-45 y o concerning the fact that longest follow up is slightly over 15 years in a prosthesis I use (J&J) and in Links I know well. I have no experience in the one you mentioned.
I would try to convince the p-nt for Arthrodesis providing all the usual things are OK-We see only the X-Rays of the p-nt.
Good luck in this complicated case
A Liberson
Haifa, Israel
|
[
Ответить ]
|
( Ответить )
|
|