AOTRAUMA.ORG Центр Илизарова  

Ортопедия и травматология Общие вопросы/General questions Help Информационные технологии в медицине
 вверх
 отправить
 поиск
 админ
 главная


Кальциноз
Ортопедия и травматология Отправлено Никита Заднепровский 05 Июль 2006, 22:40
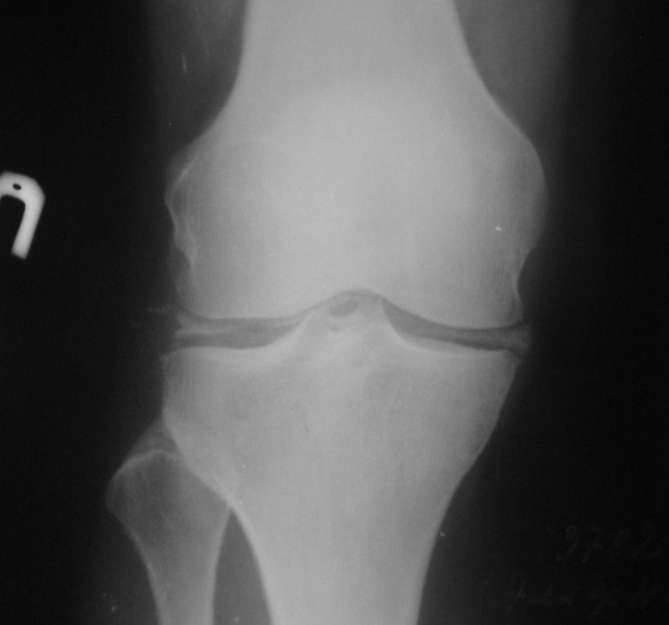
Здравствуйте, коллеги.На поликлиническом приеме ко мне обратилась девушка 35 лет с готовым снимком, жалобами на боли и отек правого коленного и голеностопного суставов. Похоже на кальциноз менисков.
Поразительно, но процесс кальцификации затронул только мениски - капсула интактна, периартикулярных теней нет. Г/стопный сустав - б/о. Поставил DS: Кальциноз менисков правого коленного сустава. Остеоартроз I степени по Kellgren. Реактивный синовит. Болевой синдром II степени. Нарушение функции I степени.
1. Корректен ли диагноз?
2. Целесообразно ли артроскопическое вмешательство? (делается в другом городе, платно)
С уважением, Заднепровский Никита Николаевич

<  |  >

 

  • Сообщения о Ортопедия и травматология
  • Также Никита Заднепровский
  • Связаться с автором
  • Ответить

    Re: Кальциноз
    tigran 06 Июль 2006, 01:51
    proverte takzhe naschet sistemnikh zabolevaniy - tipa obmena vechestv i t.p. .s chego to u 35 letney takie problemi
    [ Ответить ]

    Re: Кальциноз
    tigran 06 Июль 2006, 01:52
    da ia bi sinovialnuyu zhidkost na analiz poslal
    [ Ответить ]

    • Re: Кальциноз
      Отправитель: Никита Заднепровский 06 Июль 2006, 23:35
      Спасибо. Действительно, микроскопия и исследование
      биохимических свойств синовии даст реальный ответ или
      определит, хотя бы, в каком направлении двигаться дальше.

      [ Ответить ]
    Re: Кальциноз
    Савранский Александр 06 Июль 2006, 02:16
    Да кальциноз имеет место. У "девушки" 35 лет наверно когда-то имели место травмы.На снимке видны признаки лигаментоза.Артроскопия-да.При финансовых проблемах можно- артротомия,менискэктомия,ревизия межмыщелкового возвышения,дебриджмент,зачистка очагов хондромаляции.
    [ Ответить ]

    • Re: Кальциноз
      Отправитель: Никита Заднепровский 06 Июль 2006, 23:34
      Но ведь явлений блокад нет, для чего менискэктомия? Если идет процесс кальциноза, не означет ли это, что вместо хондромаляции можно увидеть склерозированный хрящ?


      [ Ответить ]
    Re: Кальциноз
    Виктор Попов 06 Июль 2006, 19:19
    Уважаемый Никита! Встречал подобных больных, но патология проявляется в более зрелом возрасте. Оперировали артроскопически. Находили мениски покрытые мелкими круглыми крупинками белого цвета размером 0,1- 0,3 мм (вероятно пирофосфат кальция), местами сливающимися в сплошной крупитчатый ковер; хрящевой покров мыщелков тусклый, слоится, в трещинах и эрозиях; на внутреннем мыщелке бедра и большеберцовой кости имеются участки оголенной кости размером 1 х 1 см, и 0,5 х 0,5 см.; мениски тусклые, края бахромчато разволокнены, растресканы - это часть протокола операции. Это, по-моему,болезнь отложения кристаллов кальция пирофосфата дигидрата (БКПД).Иное название - псевдоподагра. Протекает на фоне синовиита, возможна киста Бейкера и повреждение "инкрустированных" менисков. Дребует диф.диагностики с ДОА, возможно сочетание этих двух болезней. Относится к микрокристалическим артропатиям.
    [ Ответить ]

    • Re: Кальциноз
      Отправитель: tigran 06 Июль 2006, 21:51
      exactly - "псевдоподагра"
      vot imenno - патология проявляется в более зрелом возрасте"
      poetomu obiazatelno nado proverit takie veschi kak hyperthyroidism i t.p.

      [ Ответить ]
    • Re: Кальциноз
      Отправитель: tigran 06 Июль 2006, 22:01
      soory
      of coursre - Hyperparathyroidism :)

      [ Ответить ]
    • Re: Кальциноз
      Отправитель: Никита Заднепровский 06 Июль 2006, 23:36
      Спасибо за ценный комментарий. Получается, что
      вырисовывается прямое показание к эндопротезированию? Или, учитывая молодой возраст, "донашивать сустав" до последнего, а затем его замена? Ведь артроскопическая санация коленного сустава и, возможно, менискэтомия при БКПД, улучшения не принесет, по большому счету. Если и будет эффект, то весьма непродолжительный. Не так ли?

      [ Ответить ]
      • Re: Кальциноз
        Отправитель: Попов Виктор, г.Караганда 07 Июль 2006, 11:51
        Уважаемый Никита! Прав Тигран. Неодходимо уточненить диагноз БКПД (провести диф.диагностку), что связано с молодым возрастом пациентки. Хондрокальциноз это обычно естественное старение хрящевых структур сустава. Не следует спешить с выводами о необходимости эндопротезирования.

        Кликните для загрузки файла 11111Документ Microsoft Word.doc
        59KB (60928 bytes)

        [ Ответить ]
        • Re: Кальциноз
          Отправитель: Никита Заднепровский 07 Июль 2006, 21:56
          Здравствуйте, Виктор.

          Спасибо за содействие. Тактика и стратегия уже обрели четкие направления, что и где искать. Больная направлена на консультацию к артроскопистам. Если будет операция, то, обычно, они отдают видеозапись на руки. По приезду, при наличии записи, отцифрую материал и выложу на форум (если это кому-нибудь интересно).

          С уважением, Заднепровский Никита Николаевич

          [ Ответить ]
          • Re: Кальциноз
            Отправитель: tigran 08 Июль 2006, 01:30
            naschet к артроскопистам .ne fakt chto luchshiy variant

            mne pokazivali 18 letnuiu devushku god nazad...ona v erevane lechilas ot "bolezni v koleniakh" opuchalo, bolelo
            tam artroskopisti chego to virezali stalo vremenno luchshe

            kogda ia eie videl koleni opukhshie, teplie, zhidkost' slegka, khodit bolno, shrami ot artroskopov (bolno bilo smotret na eto)

            voobschem ia reshil dlia sebia chto eto IUnosheskiy Revmatoidniy Artrit - t.e. autoimunnoe zabolevanie ....i v etom napravlenii posovetoval obledovalsia

            v itoge posle mnogikh testov v tom chisle i immunologicheski - diagnos podtverdilsia
            ...ortopedicheskoe lechenie mozhet bolshe i ne ponadovidsia ...t.k. nekotorie formi iunosheskogo RA inogda prokhodit polnostiu

            a uzh virezat chto-to artroskopicheski....teper kogda ona nachala lechitsia etiologicheski.... teper eto naverniaka ne aktualno

            [ Ответить ]
      • Re: Кальциноз
        Отправитель: Попов Виктор, г.Караганда 07 Июль 2006, 11:52
        Уважаемый Никита! Отправляю статью по данному вопросу.

        Виктор.

        Кликните для загрузки файла 11111Документ Microsoft Word.doc
        59KB (60928 bytes)

        [ Ответить ]
        • Re: Кальциноз
          Отправитель: tigran 08 Июль 2006, 01:11
          prosto khochu dobavit
          kogda rabotal v AO Medicina
          popalsia mne odin uvazhaemiy chelovek kotorogo lechili 2 goda gipsami i longetami ot tendinita piatochnogo sukhozhiliya - opukhalo, bolelo, krasnelo v proekcii sukhozhiliya

          ia ego napravil na biokhimiyu...i podtverdil diagnos Podagri..bolshe orthopedicheskogo lecheniia nwe potrebovalos

          khotia esali nuzhni dengi na institut detiam (kak v anekdote) mozhno i ...... :)

          [ Ответить ]

     

    ( Ответить )

    Powered by Zope  Squishdot Powered MedLink
    Посетитель: 0000116
      "По форме правильно, а по существу - издевательство" В.И.Ленин
    ©2001-2019Orthoforum Coordinator.
    [ Главная | Отправить сообщение | Поиск | Админ ]