ВХОД ДЛЯ ПАЦИЕНТОВ
вверх
поиск
админ
главная
|
Исход лечения низкоэнергетического перелома голени. |
 |
 |
 |
Прислано Никита Заднепровский 09 Июль 2006, 13:15
из
Здравствуйте, коллеги.
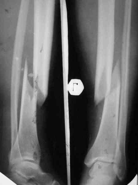
На неделе встретилась пациентка, которой выполнил около 1,5 лет назад остеосинтез голени по поводу закрытого винтообразного перелома н/3 б/берцовой кости и в/3 м/берцовой кости со смещением.
По ряду причин пришлось применить следующий метод (см. вложение).
В приватной беседе с коллегой было высказано мнение, что данный подход к лечению таких переломов дискредитирует как методику остеосинтеза по Илизарову, так и погружной остеосинтез по АО. Дискуссия дошла до того, что я к концу уже почти уверовал, что перелом сросся не благодаря, а вопреки лечению. Такой же остеосинтез с открытой репозицией, фиксацией позиционным винтом и шинированием в аппарате Илизарова было выполнено еще одной пациентке. Исход - аналогичный.
Коллеги, имеет ли такой метод "право на жизнь"? Есть ли материалы по подобной методике?
С уважением, Заднепровский Никита Николаевич
Обратите внимание: Поля с жирными названиями обязательны.
Старайтесь отвечать в рамках обсуждаемой темы, а не начинать новые обсуждения.
Указывайте адекватную тему сообщения, чтобы было ясно, о чем оно.
Не послайте сообщений не по теме (оффтопик), раздраженных, грубых или обидных комментариев. Здесь это неуместно.
|