Ответить
|
Re: возможно ли безоперационное лечение
Alexander Rykov 12 Июль 2006, 10:38
|
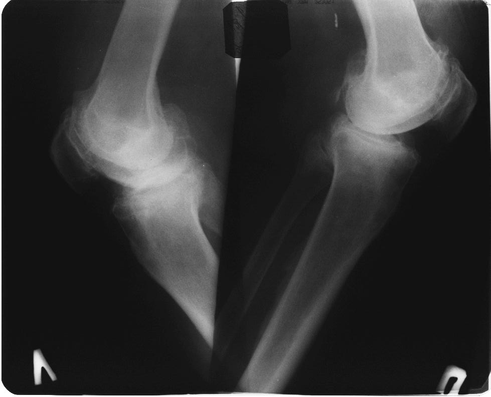
Лечение возможно до последнего вздоха пациента, без всяких хирургических агрессий. Не факт, что поможет. Если есть противопоказания к хирургии
вообще, то в комплекс симптопатической терапии входят всякие медикаменты + ИСЖ (гиалуронаты) + гормоны при "мокром" суставе + физиолечение + грязи + солнце - воздух и вода + доброе слово и участие доктора и все это.... не удел ортопеда -хирурга. Это ближе к терапии. Чуть агрессивнее различные артроскопические санации и манипуляции - временно помогает + ИСЖ + фиксаторы + ортезы + аппараты + трость и костыли + коляска. Однако судя по рентгенограммам - суставы приговорены к эндопротезированию.
С ув. А Рыков. Хабаровск.
|
[
Ответить ]
|
Re: возможно ли безоперационное лечение
Попов Виктор, г.Караганда 12 Июль 2006, 10:48
|
Господин Корчаков Д.А.
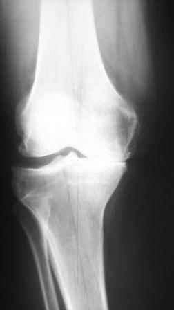
Глядя на снимки, кроме оперативного лечения в голову ничего не приходит. Хотя бы корригирующая кортикотомия б/б кости с минимальной внешней фиксацией. Высылаю пример.

На последнем фото внешний вид больной на завершающем этапе лечения (30 сутки) с трансформацией АВФ из гибридного в стержневой. Боль уходит сразу после операции. При данной Р-картине консервативно показано применение только обезболивающих препаратов - трамадол до 3 мес. по 100-200 мг в сутки, возможно внутрисуставное введение морфина 1,0 мл. При скрыто протекающем синовиите добавляются НПВС. Кроме того, должна помочь остеорефлексотерапия - в/костной иглой пункция проксимального метафиза б/б кости с введением 1,0-0,5 мл. физ.р-ра или новокаина. Возможе и вариант расширенного вмешательства по Беку: узким долотом через кожный разрез в 3-4 мм делается «прокол» кортикального слоя и маятникообразными движениями разрушается костный мозг. Боль проходит практически всегда и надолго.
Начнешь лечить подобного больного как он того хочет, т.е. консервативно, в дальнейшем могут возникнуть вопросы – зачем взялся лечить если знал, что не поможет?
С уважением Виктор
|
[
Ответить ]
|
внутрисуставное введение морфинаinteresno! ne znal
Отправитель: tigran 12 Июль 2006, 22:27
|
внутрисуставное введение морфина
interesno?zdorovo , ne znal stizhus' -
vot kakue-to stat'i nashel...sm.nizhe
a oficialno problem ne bivaet - kak administraciia reagiruet na takoe neobichnie ispolzovanie narkotikov?
http://www.painstudy.ru/matls/treat/bupivakain.htm
http://rheumatology.org.ua/?area_id=13&stuff_id=66&target=print_preview&
|
[
Ответить ]
|
Re: внутрисуставное введение морфинаinteresno! ne
Отправитель: Evgueny Tchekashkine 13 Июль 2006, 19:16
|
Тигран,
Спасибо за ссылки,
Евгений
|
[
Ответить ]
|
Re: внутрисуставное введение морфинаinteresno! ne
Отправитель: tigran 14 Июль 2006, 08:38
|
s udovolstviem, internet moguchaya sila!
|
[
Ответить ]
|
Re: внутрисуставное введение морфинаinteresno! ne
Отправитель: Alexander Chelnokov 14 Июль 2006, 13:39
|
Internet - это транспорт, а сила - это мы ;-)
|
[
Ответить ]
|
Re: возможно ли безоперационное лечение
Отправитель: Evgueny Tchekashkine 13 Июль 2006, 10:29
|
Уважаемый Виктор,
> Глядя на снимки, кроме оперативного лечения > в голову ничего не приходит. Хотя бы,
> корригирующая кортикотомия б/б кости
> с минимальной внешней фиксацией.
Хирургическая коррекция механической оси коленного сустава при интактном
латеральном отделе временно уменьшит боли в суставе, отдалив тотальное ЭП - выигрыш во времени.
Ваш пример тому демонстрация.
Так называемая *вычерпывающая декомпрессионная тибиальная кортикотомия* по моим наблюдениям, без коррекции мех. оси малоэффективное мероприятие,
поэтому я бы не рекомендовал её ни для себя , ни для пациентов. Внутрикостное введение новокаина - вариант внутрикостной анестезии, эффективность которой определяется продолжительностью действия анестетика. С таким же успехом в/с введение этого же анестетика снимает остроту боли на пару часов и после этого всё начинается сначала.
После хирургии на коленном суставе некоторые хирурги пользуются внутрисуставным введением местных анастетиков через специальный катетер,
установленный в полость сустава по окончании операции( сам больной *управляет* дозатором -контэйнером, содержащим анестетик, опиаты). В такой ситуации применение морфина понятно -сильные боли в ближайшем послеоп. периоде.
Насколько оправдано в/с введение опиатов при хроническом дегенеративном процессе?
Как часто вы пользуетесь этим и ваши впечатления?
Заранее спасибо за ответ,
Евгений Чекашкин
|
[
Ответить ]
|
|
Re: возможно ли безоперационное лечение
Найданов В.Ф. 12 Июль 2006, 22:53
|
Конечно же у большинства ортопедов сразу начинают чесаться руки от желания взяться за скальпель. Но существует огромное количество причин, по которым необходимо проведение консервативной терапии. К сожалению, ортопеды стали забывать как это делается, отчасти от нежелания вести длительно пациента, проводить с ним беседы, учить заниматься своим телом, отчасти от неполного и негарантированного эффекта лечения, отчасти от банального отсутствия "отдачи" в прямом и переносном смысле. Как хорошо: увидел, убедил, прооперировал, снял швы, забыл... А пациент имеет полное право на полноценное неинвазивное лечение! Терапевты и ревматологи - это хорошо, но подходы к лечению у них и нас очень разные... Или не так?...
Курсы лечения во всех стационарах разные и зависят от многих причин: возможностей учреждения, обеспечения лекарствами, школой ортопеда, личных пристрастий...
Если подходить к вопросу с очки зрения доступности, то тогда может пригодится следующая схема:
1. НПВП (Ксефокам, Нимулид, Аэртал, Мовалис и пр.) в стандартной дозировке (обязательно под прикрытием гастропротекторов) на весть курс лечения, а возможно и для постоянного применения.
2. Мидокалм, если выраженный болевой синдром и повышенный тонус мышц. При сочетании с контрактрурой, возможно применение Баклофена, но желательно не более 5 дней.
3. Витамины группы "В"
4. В/в трентал (пентоксифиллин) 5 - 7 дней.
5. Фастум - гель 4 р/день
6. Массаж спины (если нет противопоказаний)
7. Физиолечение без раздражающего эффекта
8. Максимально возможное отсутствие всяких видов фиксации суставов - желательно даже без эластичного бинтования.
9. Лечебная физкультура!!!!!!!!!!!!!! Этот вид лечения, к сожалению, забывают даже в очень приличных клиниках... А смысл лечения больного с остеоартрозом - помочь ему жить с максимально возможной активностью. А движение без мышц не бывает. Все движения только сидя и лежа, постепенно максимально активизировать изо дня в день и довести до 5 - 10 мин каждый час, и заниматься до утомления. Если Вы будете надеяться только на лекарственные препараты - Вы обречены заранее на неудачу.
10. Очень спорный вопрос - В/в блокады, от обычныых анестетиков в виде лидокаина до дипроспана, кеналога и днксаметазона. Я чаще ввожу дексаметазон с лидокаином в небольшой дозировке (4 мг), но ориентируюсь на психику пациента и выраженность болевого синдрома. Повторюсь, это очень спорный момент.
11. Хондропротекторы, например Терафлекс, Хондро. Принимают их длительно, возможно назначение после проведенного курса лечения. Но только имейте в виду: то на что действуют данные препараты (Хрящ), отсутствуют в данном суставе... Но определенную положительную роль могут сыграть.
12. Участие, доброжелательность врача...
Надеюсь, это немного Вам поможет.
А вообще данная тема очень достойна самого широкого обсуждения на форуме!
|
[
Ответить ]
|
Re: возможно ли безоперационное лечение
Отправитель: дмитрий бондарь 13 Июль 2006, 01:37
|
Здравствуйте,коллега!Хотелось бы задать Вам несколько вопросов.
1.Что значит"для постоянного применения"?Сколько?
2."Витамины группы "В"" в какой дозе?
3."В/в трентал (пентоксифиллин) 5 - 7 дней."почему именно столько?Может дольше?
4."Фастум - гель 4 р/день"(Использую фонофорез с ним же,вроде эффективно)
5."Лечебная физкультура"Нету ли у Вас методичек?
6." Хондропротекторы, например Терафлекс, Хондро"Особой эффективности не видел никогда!!!!!
7."Участие, доброжелательность врача..."Без этого никуда.
Вообще данную патологию (по личным наблюдениям) после 1 ст консерваиивно лечить практически бестолку(дай Бог ,чтоб я был неправ!!!)Рецидивы практически в 99%случаев.
Отправляю небольшой реферат(приложение)
С уважением Д.Б.
Конспект врача.doc
178KB (182272 bytes)
|
[
Ответить ]
|
Re: возможно ли безоперационное лечение
Отправитель: Вадим Найданов 13 Июль 2006, 23:10
|
В Вашем конспекте врача всего 1 страница, особенно понравился филогенез...
"Что значит"для постоянного применения"?Сколько?"
- Пожизненного, но в поддерживающей, обычно половинной дозировке или только при обострении боевого синдрома.
"Витамины группы "В"" в какой дозе?"
- В1 - 1 мл в/м чередуется с В6 1 р/д № 10.
"В/в трентал (пентоксифиллин) 5 - 7 дней."почему именно столько?Может дольше?"
- У нас это стандартное назначение. Но окончательно зависит от соп. патологии.
"Фастум - гель 4 р/день"(Использую фонофорез с ним же,вроде эффективно)"
- Честно говоря, про фонофорез с фастумом услышал впервые, спасибо.
"Лечебная физкультура"Нету ли у Вас методичек?
- К сожалению нет... У нас очень грамотная методист по ЛФК и мы просто контролируем пациентов.
" Хондропротекторы, например Терафлекс, Хондро"Особой эффективности не видел никогда!!!!!"
- Я тоже.... Хотя попадались редкие пациенты, которые отмечали хорошую динамику после начала приема Терафлекса (но, как правило, это ОА I - II ст., не выше).
"Вообще данную патологию (по личным наблюдениям) после 1 ст консерваиивно лечить практически бестолку(дай Бог ,чтоб я был неправ!!!)Рецидивы практически в 99%случаев."
- Добиться ремиссии до 6 - 8 месяев у пациента с ОА III ст. вполне реально. А это уже победа. Оперировать всех невозможно - есть очень большая категория пациентов, которым эндопротезирование не показано (чаще по соп. патологии).
С уважением, Вадим Найданов.
|
[
Ответить ]
|
Re: возможно ли безоперационное лечение
Отправитель: Sereda andrey 14 Июль 2006, 00:05
|
Здравствуйте, подскажите пожалуйста в чем тут сила витаминов группы В? И зачем их чередовать ? Ну раз пять уже перечитывал РЛС и Видаль, но намека на недопустимость совместного применения не нашел. Но все кругом твердят- нельзя и все тут. Скоро с ума сойду. Никоим образом не хотел Вас обидеть.
|
[
Ответить ]
|
Re: возможно ли безоперационное лечение
Отправитель: Вадим Найданов 14 Июль 2006, 23:18
|
"Витамин В 1 вмешивается в обмен веществ и в нервно-рефлекторную регуляцию, они могут вызывать положительный эффект при разных патологических процессах и должны рассматриваться поэтому как фармакотерапевтические вещества в широком смысле." - Это выдержка из Машковского.
В отношении их назначения я тоже не смог найти ответа на Ваш вопрос. Получается, что это просто дань прошлому... как научили, так и делаем...
С ума не сходите, вы еще пригодитесь в больничке ортопедического профиля. :-)
|
[
Ответить ]
|
Re: возможно ли безоперационное лечение
Отправитель: Alexander Chelnokov 14 Июль 2006, 00:27
|
> - В1 - 1 мл в/м чередуется с В6 1 р/д ¦ 10.
>>"В/в трентал (пентоксифиллин) 5 - 7 дней."почему именно столько? Может дольше?"
> - У нас это стандартное назначение. Но окончательно зависит от соп. патологии.
Насколько авторитетен источник, в котором рекомендуется назначение тех или иных витаминов или вот пентоксифиллина при артрозах вообще, и конкретно при тяжелых? На основании каких исследований, испытаний это стало "стандартным назначением"? Подвтерждается ли успешность такого подхода международной практикой?
> - Добиться ремиссии до 6 - 8 месяев у пациента с ОА III ст. вполне
> реально. А это уже победа.
Если до и после курса по шкале WOMAC или Harris оценить статус пациента, интересно, велика ли разница будет? При протезировании типично, если до операции была оценка, например, 50, а стала 95. А насколько с 50 улучшится она после витаминов, пентоксифиллина и прочего?
> Оперировать всех невозможно - есть очень большая категория
> пациентов, которым эндопротезирование не показано (чаще по соп. патологии).
Сочетание тяжелого артроза с тяжелой сердечной или дыхательной недостаточностью, кахексией или еще какими-то столь же серьезными соматическими проблемами на "очень большую категорию" вряд ли тянет. Если уж у человека хватило здоровья, чтобы о его существовании узнал не реаниматолог или патологанатом, а ортопед, значит, он операбелен как правило.
|
[
Ответить ]
|
Re: возможно ли безоперационное лечение
Отправитель: Вадим Найданов 14 Июль 2006, 23:43
|
Пентоксифиллин (трентал) улучшает микроциркуляцию и реологические свойства крови, оказывает сосудорасширяющее действие и улучшает снабжение тканей кислородом, что достаточно важно при дегенеративном процессе.
Собственные исследования на этот счет мы не проводили, доказать нечем. А начали его применять после небольшой отечественной статейки лет 7 - 8 назад, и на мой взгляд, положительный эффект данного препарата в комплесе с другими есть.
В международной литературе мне про это ничего не встречалось.
WOMAC или Harris хорошие шкалы. Но тестировать всех больных в условиях муниципальной больницы нет возможности. А в личные научные интересы данная проблема не входит.
"Сочетание тяжелого артроза с тяжелой сердечной или дыхательной недостаточностью, кахексией или еще какими-то столь же серьезными соматическими проблемами на "очень большую категорию" вряд ли тянет. Если уж у человека хватило здоровья, чтобы о его существовании узнал не реаниматолог или патологанатом, а ортопед, значит, он операбелен как правило."
А как насчет более-менее крепеньких старушек без родственников, денег, инвалидности. Курс лечения по ОМС будет оплачен в сумме 5600 руб. вне зависимости от оперативного или консервативного лечения. Больница болжна выступить спонсором?
Ну есть инвалидность, а денег нет. Ставим протез да счет ФСС. А фраксипарин, кровь, антибиотики и прочее? А больнице оплатят только 5600... А количество пациентов с трофическими нарушениями, язвами на голенях и стопах? А просто "дураков"?, которым не надо делать умных операций?. Вы забыли социальную причину невозможности оперативного вмешательства... :-( Я искренне надеюсь, что у Вас другая, более оптимистичная ситуация.
С уважением, Вадим Найданов.
|
[
Ответить ]
|
Re: возможно ли безоперационное лечение
Отправитель: Alexander Chelnokov 15 Июль 2006, 19:11
|
> Пентоксифиллин (трентал) улучшает микроциркуляцию и реологические
[...]
> что достаточно важно при дегенеративном процессе.
То есть имеется гипотеза, что пентоксифиллин возможно полезен в такой ситуации. Очевидно, что проверить это предположение на основе текущей практики невозможно - невозможно исключить воздействие множества других факторов. В том числе разгрузки, анальгетиков.
> Собственные исследования на этот счет мы не проводили, доказать нечем.
> А начали его применять после небольшой отечественной статейки лет 7 -
> 8 назад,
Возможно, стоило бы почитать про этот препарат побольше? Может, он только почечный или там мозговой кровоток улучшает?
> и на мой взгляд, положительный эффект данного препарата в
> комплесе с другими есть.
Очевидно, что любое обострение всегда сменяется ремиссией. Что если давать пациенту нестероидные противовоспалительные (для которых положительный эффект как раз доказан многочисленными испытаниями) и разгрузить сустав - пациенту станет лучше, хоть немного. На этом фоне и трентал, и рибоксин, и церебролизин, и витамин B2 и т.п. будут создавать впечатление, что "положительый эффект в комплексе с другими есть". Насколько этому впечатлению следует доверять?
> В международной литературе мне про это ничего не встречалось.
Вроде достаточно, чтобы не применять воздействие, для которого нет серьезных доказательств пользы?
> WOMAC или Harris хорошие шкалы. Но тестировать всех больных в условиях
> муниципальной больницы нет возможности.
В больнице биомеханическое исследование или МРТ каждому не сделаешь. А эти шкалы как раз требуют минимум затрат времени и сил, особенно WOMAC, совсем не требуют денег. То есть они ориентированы как раз для массового применения.
> А в личные научные интересы данная проблема не входит.
В "ненаучной" работе не надо оценивать изменения в статусе пациента?
К науке, как добыче нового знания, применение этих шкал отношение имеет не более, чем текущий сбор жалоб, осмотр или рентгенография. А врачебная работа вроде даже требует постоянного анализа текущей практики...
> А как насчет более-менее крепеньких старушек без родственников, денег,
> инвалидности. Курс лечения по ОМС будет оплачен в сумме 5600 руб. вне
Вот это как раз реальная проблема. Не надо только их путать и дезориентировать пациента и себя. Решения появляются и в виде региональных программ, и ФСС чего-то активизируется, и прочие "нацпроекты" на слуху.
Интересно, на протезы для скольких старушек хватило бы потраченного за годы на маловразумительный трентал и прочую квази-терапию? :-)
> Ну есть инвалидность, а денег нет. Ставим протез да счет ФСС. А
> фраксипарин, кровь, антибиотики и прочее?
Надо думать над минимизацией расходов. Вместо дорогих низкомолекулярных гепаринов можно брать обычный, или вообще аспирином в некоторых больницах ограничиваются. Антибиотики - а что за расходы на них? Цефалоспорин 1 г в вену за полчаса до разреза однократно - вроде и не дорого. Кровь - заготавливать ауто.
|
[
Ответить ]
|
Re: возможно ли безоперационное лечение
Отправитель: Evgueny Tchekashkine 13 Июль 2006, 10:00
|
Уважаемый Коллега Найданов В.Ф.,
Откровенно говоря, прочитав ваше суждение по теме о возможности неоперативного лечения двустороннего гонартроза, варусной деформации,сильно
удивился.
На мой взгляд, не стоит характеризовать ортопедов как людей с кожным зудом в руках и желанием подержать скальпель.... уж очень примитивный взгляд и далеко необоснованный.
Терапевты, ревматологи и ортопеды - все делают одно дело, напрвленное на улучшение жизни пациента и никто не лишает права пациента на консервативное
лечение.
Думаю, что вы согласитесь , что хирургия планируется и выполняется только при определенных показаниях , а не от незнания ортопедами как вести больного консервативно.
Каждому методу свое время и место. у обсуждаемого пациента очевидна перегрузка медиальных отделов суставов с разрушенными суставными поверхностями, каким образом, вы представляете себе облегчить боли НПВП (разнообразие которых столь велико, что больному не хватит жизни и здоровья, чтобы все перепробовать, но идля *участливого* доктора всегда есть путь к отступлению - не помогает один, давайте попробуем другой - бесконечный,
бесперспективный союз больной -врач). Лечение контрактур ОА баклофеном и мидокалмом курсми по 5 дней:-(( не хочу казаться нигилистом, но пациентам со здоровыми суставами и спастическими моно-,пара -, тетрапарезами начинал титровать с 5 мг до 25 мг 4 раза в сутки- выше фармацевты не разрешают,
клинически значимого мышечного расслабления не наблюдал. Может мне и наблюдаемым пациентам просто не повезло......
Психотерапия - великая вещь и дать шанс больному обрести безболевую мобильность и вселить надежду на улучшение. Воплощение в жизнь всех упомянутых рекомендаций займет немало времени и сохранит надежду на улучшение у самого больного, а надежда умирает последней....
В дополнение к вашим рекомендациям , под номером 13 я бы добавил гипноз для укрепления надежды, что улучшение состояния разрушенного сустава ещё
впереди...
Прошу быть понятым правильно: консервативная терапия при начальных стадиях ОА не затрагивалась, моя точка зрения применительна только к представленной на форум пациентке.
Наверное, стоит упомянуть и финансовую сторону длительного консервативного лечения с временным эффектам и повторными курсами, в конечном счёте
приблизиться к затратам на коленную артропластику.
Давайте жить дружно с терапевтами и ревматологами и делать одно дело, что бы не получилось как в старой басне про лебедя, рака и щуку....
Всего Доброго,
Евгений Чекашкин
|
[
Ответить ]
|
Re: возможно ли безоперационное лечение
Отправитель: Вадим Найданов 14 Июль 2006, 00:19
|
Извините, Коллега, если я Вас обидел. И конечно же не хотел обидеть коллег терапевтов и ревматологов - мы с ними стараемся работать в сцепке.
Я говорю о тенденции к инвазивности лечения за последние годы. В ортопедических отделениях оперативная активность растет из года в год. Пациентов на консервативное лечение отправляют к ревматологам, если полиостеоартроз, если моно - в поликлинику, конечно, если пациент отказался от операции или велик риск ее совершения. В конечном итоге больной становится ?мячом" в игре людей с самой гуманной профессией, пока не ляжет на дно в своей квартире с наложенными капустными листами на коленки: Здорово, если в Вашем городе не так!
Я всячески поддерживаю тактику оперативного вмешательства. Но просто тема консервативного лечения, надеюсь Вы согласитесь, на форуме обсуждается КРАЙНЕ РЕДКО И НЕОХОТНО. А применительно к выложенным R-граммам, конечно, показано Эндопротезирование, но только заголовок обращения сразу расставляет приоритеты в пользу консервативных методик. Причины тому могут быть самые разнообразные, нам о них не сообщили. Так зачем же предлагать коллегам то, чего они делать не будут?
А в отношении мидакалма и баклофена, считаю, что толк от них есть. Опыта со спастикой у меня мало, возможно эти препараты и бессильны. Наибольший эффект данных препаратов виден во время лечения пациентов с Адгезивным капсулитом плеча в I и II стадиях. В отношении гонартроза можно утверждать, что эти препараты потенцируют действие НПВП.
С Уважением, Вадим Найданов.
|
[
Ответить ]
|
Re: возможно ли безоперационное лечение
Отправитель: Anatoly Borzunov 14 Июль 2006, 00:34
|
> 8. Максимально возможное отсутствие всяких видов фиксации суставов -
> желательно даже без эластичного бинтования.
Если не трудно, объясните в чем логика Вашей позиции.
Я считаю, что при лечении обострения остеоартроза на первом месте необходимо поставить покой сустава (Костыли, трость, гипсовая шина, ортез, эл. бинт), на втором НПВ препараты.
|
[
Ответить ]
|
Re: возможно ли безоперационное лечение
Отправитель: Вадим Найданов 14 Июль 2006, 23:06
|
"Я считаю, что при лечении обострения остеоартроза на первом месте необходимо поставить покой сустава (Костыли, трость, гипсовая шина, ортез, эл. бинт), на втором НПВ препараты."
Необходим не покой, а разгрузка. Костыли - пожалуйста, даже замечательно! Но параллельно - ЛФК. Различные виды фиксаторов нужны только при нестабильном суставе, умеренных и выраженных варусах и вальгусах. Любая фиксация ведет к гипотрофии мышц, что в свою очередь усиливает нестабильность и как следствие болевой синдром. Возникает порочный круг, из которого вывести пациента сложнее.
|
[
Ответить ]
|
|
Re: возможно ли безоперационное лечение
дмитрий бондарь 13 Июль 2006, 00:59
|
Тигран!Огромное СПАСИБО!!! за найденный ресурс.
Д.Б.
|
[
Ответить ]
|
Re: возможно ли безоперационное лечение
Отправитель: tigran 13 Июль 2006, 10:56
|
da deystvitelno interesnaya informatsiia! pozhaluista
|
[
Ответить ]
|
Re: возможно ли безоперационное лечение
Отправитель: Попов Виктор, г.Караганда, Казахстан 13 Июль 2006, 16:28
|
*** Хирургическая коррекция механической оси коленного сустава при интактном
латеральном отделе временно уменьшит боли в суставе, отдалив тотальное ЭП - выигрыш во времени. Ваш пример тому демонстрация.
Моим примером, я хотел продемонстрировать малотравматичный вариант коррекции механической оси голени, который дает достаточно длительный положительный эффект и является, насколько я знаю, альтернативой ЭП.
*** Внутрикостное введение новокаина - вариант внутрикостной анестезии, эффективность которой определяется продолжительностью действия анестетика. С таким же успехом в/с введение этого же анестетика снимает остроту боли на пару часов и после этого всё начинается сначала.
Сустав реагирует внутрисуставными, внесуставными и внутрикостными структурами на патологический дегенеративно-дистрофический процесс, что приводит, в том числе, и к повышению внутрикостного давления и перераздражению внутрикостных рецепторов (ВКР) с появлением внутрикостных триггерных точек. Повышенная афферентация от ВКР «способствует облегчению проведения других афферентных потоков, усилению моторных реакций и уменьшению кортикофугальных влияний на соответствующем сегментарном уровне, что приводит к формированию на этом уровне типовых клинических проявлений: болевому, мышечно-тоническому, ангиоспастическому и гипотрофическому синдромам». Г.Я.Янковским (1982) описана методика остеорефлексотерапии, разработанная в Латвийском институте экспериментальной и клинической медицины МЗ Латвийской ССР. Раздражение остеорецептивных полей оказывает мощное воздействие на организм. «Под влиянием остеорефлексотерапии отмечено:
• снижение повышенного мышечного тонуса,
• исчезновение болевых и сосудистых синдромов,
• стабилизация вегетативных реакций».
Насколько я знаю, на остеорефлексотерапии держаться некоторые санатории в Прибалтике. Вариант остеорефлексотерапии, который использую я - воздействую на остеорецепторы барорецептивным раздражителем - в/костно 1 -2 мл 2%-ного раствора новокаина или физиологического раствора. Отмечается обязательно изменение АД, пульса. Метод не так прост. Это не в/костная анестезия. Применение физиологического раствора более эффективно, но крайне болезненно.
*** Так называемая *вычерпывающая декомпрессионная тибиальная кортикотомия* по моим наблюдениям, без коррекции мех. оси малоэффективное мероприятие,
поэтому я бы не рекомендовал её ни для себя , ни для пациентов.
Мы это в операционных протоколах называем «субхондральная миелоэндостотомия» и завершаем ею артроскопическое оперативное вмешательство при ДОА. Оперировано около 120 больных с ДОА. Там где применялась субхондральная миелоэндостотомия боль «уходила» сразу же после операции и период ремиссии дольше - у 75-80% более 2 лет.
***Насколько оправдано в/с введение опиатов при хроническом дегенеративном процессе? Как часто вы пользуетесь этим и ваши впечатления?
При введение в сустав морфина 1,0 - 0,5 мл вызывается активация внутрисуставных опиоидных рецепторов, боль проходит через 20-30 мин. Трехкратное введение с интервалом в неделю приводила к ремиссии в течение нескольких месяцев. Есть иные схемы лечения опиоидами. Занимаюсь этим лечением около 2-х лет. Сдерживающий фактор - трудность получения наркотиков. Впечатления - помогает. Как вариант можно рассмотреть в/суставное введение трамадола. На странице имеются ссылки «от Тиграна» проливающие свет на данный метод лечения.
Хотелось бы добавить, что боль при ДОА исходящая из околосуставных и накостных триггерных точек хорошо снимается их дезактивацией - новокаин с 1,0 мл дипроспана - использую 9 точек, мануальной терапией - 2 раза в неделю около месяца, начинать следует с поясницы. Важно понять, откуда исходит боль при ДОА – «научиться читать палитру боли».
К сожалению, компьютер не стал «видеть» жесткий диск, где вся литература по консервативному лечению ДОА. Отремонтирую, сброшу, если кого это интересует.
Очень рад за конструктивный диалог по этому вопросу, наболело. С наилучшими пожеланиями. Виктор Попов, г.Караганда.
|
[
Ответить ]
|
Re: возможно ли безоперационное лечение
Отправитель: Соков Е.Л. 30 Март 2016, 19:53
|
«способствует облегчению проведения других афферентных потоков, усилению моторных реакций и уменьшению кортикофугальных влияний на соответствующем сегментарном уровне, что приводит к формированию на этом уровне типовых клинических проявлений: болевому, мышечно-тоническому, ангиоспастическому и гипотрофическому синдромам».
Эта цитата не из "Г.Я.Янковским (1982)" а из Докторской диссертации Сокова Е.Л. 1996 г.
|
[
Ответить ]
|
|
Re: возможно ли безоперационное лечение
дмитрий бондарь 14 Июль 2006, 01:57
|
Коллеги,извините ради Бога!Произошла какая то непонятка с таблицами-страницами (как мне объяснили программисты)пробую отправить исправленный вариант(см.приложение)
PLS!сообщите прошло ли.
С уважением Д.Б.
Конспект врача.doc
165KB (169472 bytes)
|
[
Ответить ]
|
Re: возможно ли безоперационное лечение
Отправитель: Alexander Chelnokov 14 Июль 2006, 02:51
|
дб> исправленный вариант(см.приложение)
дб> PLS!сообщите прошло ли.
Прошло. Проше было дать линк на эту статью в Медгазете 2000 г.
Там хотя бы авторы указаны.
Ну и кроме того, время летит быстро, и статья эта отражает не самые актуальные на сегодня представления в мире. Из текста не видно, что в xUSSR в 2000 г. уже было известно, что такое рандомизированные контролируемые испытания, и какие рекомендации заслуживают доверия врачей...
Многие упоминающиеся препараты типа артепарона-румалона уже на свалке истории. Польза при артозе электросна-ГБО-электрофореза и т.п. никому в мире неизвестна, кроме новаторов из xUSSR... В общем, это скорее исторический очерк о мифах и верованиях во постсоветской врачебной среде в 80-90-е годы прошлого века, а не руководство к действию врачам сегодня.
|
[
Ответить ]
|
|
Re: возможно ли безоперационное лечение
дмитрий бондарь 14 Июль 2006, 02:13
|
кстати вот может будет кому то интересно,но тииихо (авторское право дело святое)
osteoartroz.pdf  1,2Mb
См.приложение
Удачи Д.Б.
|
[
Ответить ]
|
Re: возможно ли безоперационное лечение
Алексей Минервин 16 Июль 2006, 01:25
|
ЛФК при артрозе: http://dona.rotta.ru/school/recommendations/what/
Алексей.
|
[
Ответить ]
|
Re: возможно ли безоперационное лечение
Re: возможно ли безоперационное лечение 17 Июль 2006, 19:03
|
ПРИ ПРОТИВОПОКАЗАНИЯХ (МЕДИЦИНСКАЯ, СОЦИАЛЬНАЯ И Т. Д. И Т. П.) К ХИРУРГИЧЕСКОМУ ЛЕЧЕНИЮ ГОНАРТОЗОВ 3 СТЕПЕНИ, КОНСЕРВАТИВНОЕ ЛЕЧЕНИЕ ПЛАНИРУЕТСЯ УЧЕТОМ ВОЗРАСТА, ОСТЕОПОРОЗА.
МОЖНО С УСПЕХОМ ИСПОЛЬЗОВАТЬ ВНУТРИСУСТАВНОЕ ВВЕДЕНИЕ КИСЛОРОДА. КУРС ЛЕЧЕНИЯ ОТ 3 ДО 5, ИНТЕРВАЛОМ 4-5 ДНЕЙ. НЕОБХОДИМО УЛУЧШИТЬ ЛУБРИКАЦИОННЫЕ СВОЙСТВА СУСТАВА. ЭТО - СИНВИСК № 3.
ПРОТИВ ОСТЕОПРОЗА ХОРОШО СЕБЕ ЗАРЕКОМЕНДОВАЛ МИАКАЛЬЦИК 1,0 В/М №30-60.
МОЖНО ТАКЖЕ НЕСТЕРОИДНЫЕ ПРОТИВОВОСПАЛИТЕЛЬНЫЕ ПРЕПАРАТЫ (ВОЛЬТАРЕН И ДР.)
|
[
Ответить ]
|
Re: возможно ли безоперационное лечение
Дмитрий Алексеев 19 Июль 2006, 19:17
|
Согласен, что больномй показано эндопротезирование. Но ведь невозможно всем поставить эндопротезы за один день. Некоторые эндопротезирования ждут по 3 года и главная ошибка врачей на приемах - фактически отказ лечить пациента до эндопротезирования. Фразы "вы стоите в очереди на эндопротез, вот и ждите" не так уж редки. И согласен, сопереживание проблеммы вместе с пациентом, когда он видит заботу, оказывает значительное положительное действие.
|
[
Ответить ]
|
( Ответить )
|
|