AOTRAUMA.ORG Центр Илизарова  

Ортопедия и травматология Общие вопросы/General questions Help Информационные технологии в медицине
 вверх
 отправить
 поиск
 админ
 главная
 Предыдущее
 Весь тред


Re: Acetabular Fx Surgical Approach
Alexander Chelnokov 21 Июль 2006, 11:51
Dear Chip,

CR> We№ll assume that everyone knows the safe zone for a medullary
CR> ramus screw.


Always there is someone who shirked this lesson in school. I am awfully sorry to request something else after the great presentations you have done. Bur can you pls add some details about the ramus screws? Maybe a photo of the screw in the moment of insertion through the skin is available? THX a lot!
  • Сообщения о Ортопедия и травматология
  • Также Alexander Chelnokov
  • Связаться с автором
  • Ответить

    Re: Acetabular Fx Surgical Approach
    Chip Routt 21 Июль 2006, 12:06
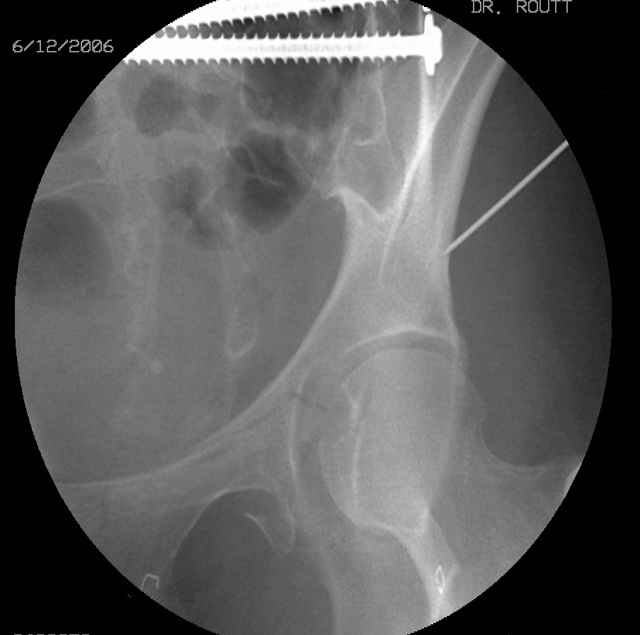
    We seek the starting site (after reduction) with a thin wire guided by fluoroscopic imaging as the obturator-outlet combination image and also the inlet image...engage the wire tip into bone, incise around the wire, apply a soft tissue protection sleeve of known length over the wire, remove the wire, exchange thru the sleeve with an appropriate diameter drill (I use a 3.5mm most often), drill the glide pathway above and behind the joint to the fracture, exchange for a calibrated appropriate diameter drill, oscillate within the ramus to the pubis, measure depth using the calibrated drill and known sleeve length, do the math, remove the drill and insert screw, tighten, squirt the hole, close, stress the fixation, supplement if needed.




    I'll take pictures sometimes but it's just a 1cm incision in the flank... I'm not really sure why you need to see a screw being inserted into the
    buttock/flank...it's just a screw being inserted thru the skin.

    Chip
    [ Ответить ]


    ( Ответить )

    Powered by Zope  Squishdot Powered MedLink
    Посетитель: 0213400
      "По форме правильно, а по существу - издевательство" В.И.Ленин
    ©2001-2019Orthoforum Coordinator.
    [ Главная | Отправить сообщение | Поиск | Админ ]