Ответить
|
Re: олекраналгия
Савранский Александр 20 Июль 2006, 01:28
|
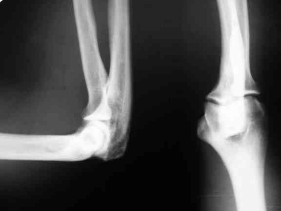
Попробуйте сделать компьютерную томографию-это сориентирует с дальнейшей тактикой.Уточните у пациента анамнез-сталкивался со случаями застарелых частичных надрывов сухожилия трицепса с подобной симптоматикой.Вы пишите,что болят обе руки,а приводите снимки одной.На противоположной стороне есть разрежение?
|
[
Ответить ]
|
Re: олекраналгия
Дмитирий Алексеев 20 Июль 2006, 16:43
|
Извиняюсь, что не уточнил. На рентгенограммах второй руки абсолютно идентичная картина.
Не подскажете, что искать на томографе?
|
[
Ответить ]
|
Re: олекраналгия
Отправитель: Савранский Александр 21 Июль 2006, 22:46
|
Здравствуйте,Дмитрий!
Компьютер поможет сориентироваться все-таки есть разрежение или нет.
Для более полных рекомендаций мало информации.
Возможно стоит пациента предметно обследовать-ОАК,ФГ и т.д.
В том случае,если достоверно исключить возможность септических,ревматических изменений неплохо попробовать блокаду с дипроспаном.У метода есть сильные и слабые стороны,но при осторожном применении результаты отличные.
|
[
Ответить ]
|
|
Re: олекраналгия
Петр Ромчук 24 Июль 2006, 03:42
|
А где анамнез? Были ли моменты физической перегрузки конечностей на протяжении последних трех-четырех недель (спортзалы,переноска тяжелых предметов и т.д)? Локальный остеопороз в месте прикрепления сухожилий часто неспецифичен и просто отражает наличие воспаления. Предварительный диагноз - синдром перегрузки трицепса (инсерционит, тендинит, тендинопатия... - choose yourself). Если анамнез подтверждается, то мой выбор - двухсторонняя блокада стероидом+анестетик, эластическое бинтование (локоть 90 гр.), а при односторонних поражениях 10-дневная гипсовая иммобилизация; физпроцедуры, в подостром периоде ЛФК на макс.пассивное сгибание в локтевом с-ве. Если через два дня не будет улучшения, можно сделать КТ, хотя я сомневаюсь в его информативности для этой зоны.
Петр Ромчук
|
[
Ответить ]
|
Re: олекраналгия
Дмитрий Алексеев 24 Июль 2006, 04:21
|
спасибо
|
[
Ответить ]
|
Re: олекраналгия
Сергей В Савченко 28 Июль 2006, 01:55
|
Уважаемый Дмитрий!
рекомендую найти 2-х томник "Миофасциальные боли" Он выходил в Издательстве Медицина в конце 80-х. Авторы англичане. Если заинтересует найду конкретные выходные данные. Там много интересного по триггерам и иррадиирующим болям верхнего пояса,
грудной клетки. Я в этом убедился за 15 лет.
С Уважением СВ
|
[
Ответить ]
|
Re: олекраналгия
Отправитель: Дмитрий Алексеев 28 Июль 2006, 22:41
|
Сергей, благодарю вас за наводку. По данной тематике у меня есть отличная книга питерских неврологов. Но клиника не характерна для миофасциальных болей. Соглашусь с предыдущим коллегой - это скорее всего тендинит. Вот только я не понял с каких двух точек имелось ввиду введение препарата и какого.
|
[
Ответить ]
|
|
Re: олекраналгия
Сергей В Савченко 29 Июль 2006, 12:12
|
Уважаемый Дмитрий!
Все таки попытаюсь Вас переправить к Дж. Г.Тревелл и Д.Г.Симонс
"Миофасциальная Боль", это классика и первоисточник. Год издания 1989.
стр. 365 Глава 32: Трехглавая мышца плеча - локтевая мышца (ТРЕХГЛАВЫЙ МОНСТР).
У нее 5 ТТ (тригерных точек). В описаной вами ситуации я бы блокировал три ТТ (1 - в длинной головке, ТТ3 в латеральной головке, ТТ4 в
дистальном конце медиальной головки - глубоко).
Применяю КЕНАЛОГ 40 + Новокаин 0,5% - 5-10,0. - 2р.неделю 4-5 инъекций. Массаж + ФТО.
Локализацию ТТ прилагаю.

Если не трудно сбросьте ссылку на Вашу книгу.
К сожалению с этого компьютера не могу прикрепить сканирование схемы ТТ1-5, но сброшу ВАМ его в личку.
Сергей В Савченко.
|
[
Ответить ]
|
Re: олекраналгия
Сергей В Савченко 30 Июль 2006, 00:16
|
Согласен с вышесказанным. Скорее всего этиология в профпринадлежности пациента (врачи, строители, програмисты, машинистки) т.е. те, чья работа связана с постоянными тоническими нагрузками на мышцы верхнего пояса, монотонными и ритмичными, приводящими к перегрузке мышц, нарушению трофики плечевого сплетения и как следствию дисбалансу обмена в дистальных отделах. А в первую очередь как правило страдает надкостница и сухожильная ткань. Отсюда и двусторонний остеопороз. Это мне кажется из той же серии, что и "тенисный локоть".
Поэтому и лечение надо направить на улучшение трофики, снятие воспалительных явлений, восстановлении биокинетики мышц. С уважением СВ
|
[
Ответить ]
|
Re: олекраналгия
Дмитрий Алексеев 31 Июль 2006, 11:17
|
Книга, которую я имел ввиду, "Остеохондроз" автор питерский профессор Жулев Н.М. Издательство "Лань" 2001 год. В ней очень здорово прописаны туннельные синдромы и методы их лечения, включая даже гимнастику и мануальную терапию. За отсыл на первоисточник спасибо, если есть что-то в электронном варианте просьба скинуть на dr-di@mail.ru
|
[
Ответить ]
|
Re: олекраналгия
Edlinaem 07 Август 2006, 11:46
|
Уважаемый коллега! Это заболевание из группы т.н.энтезопатий - по типу "теннисного локтя", отличные результаты лечения дает метод ударно-волновой терапии аппаратом "DORNIE EPOS-ULTRA" производства Германии. Как лучевой диагност, КТ проводить не советую, т.к. уточнять здесь нечего, пустая трата денег. По рентгенограммам даже обызвествлений в обл. локтевого отростка не определяется. С уваж. Е.М.(инкогнито)
|
[
Ответить ]
|
( Ответить )
|