Ответить
|
Re: Несращение бедра
Alexander Chelnokov 22 Июль 2006, 20:57
|
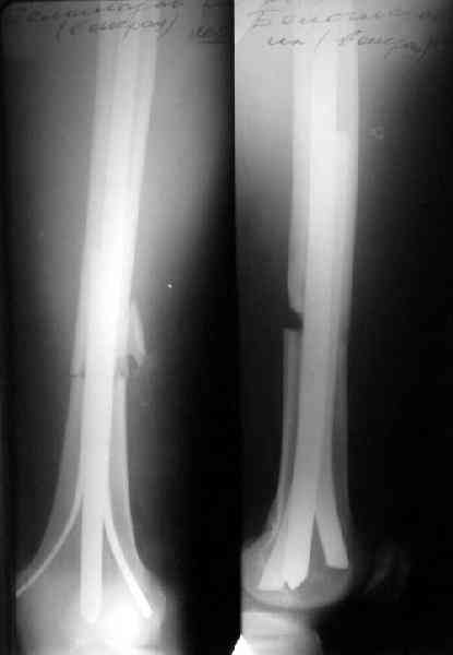
> Поступил больной 29 лет,леченный 7 мес назад в очень серьезной
> больничке.
Разве в серьезных больницах диафизарные переломы бедра пластинами давно не перестали лечить? ;-)
> бедро... на снимках видно, что пошло рассасывание медиал-кортикала.Нога
> прямая, г\стоп в эквине. ЧТО ДЕЛАТЬ?
А в чем причина отсутствия движений?
> Какою кто может посоветовать решение данной проблемы? К моему
> глубокому сожалению БИОС выполнить В окружности 500 км невозможно
Может, отправить пациента за 600 км или далее? На самом деле, все остальные варианты (другая пластина, стержень открыто или аппарат) настолько менее предпочтительны, чем закрытое удаление пластинки и закрытый ИМ остеосинтез с блокированием, что лучше бы приложить старания и все-таки организовать этот вариант. Но начать бы надо с попытки восстановления движений. Сращение менее важно.
|
[
Ответить ]
|
Re: Несращение бедра
Отправитель: Никита Заднепровский 22 Июль 2006, 23:17
|
AC> закрытое удаление пластинки
Ничего подобного нигде и никогда не встречал. Александр Николаевич, просветите pls.
При удалении пластин обычно в свободные отверстия прорастает регенерат, и сдвинуть пластинку вдоль
кости мне кажется очень сложным занятием. Только если "приподнять" и снять с образовавшегося "пенька". В данном случае, на дистальном конце plate есть компрессирующее отверстие которое не заполнено и, возможно, оно будет служить своеобразным "якорем".
С уважением, Заднепровский Никита Николаевич
|
[
Ответить ]
|
Re: Несращение бедра
Отправитель: Alexander Chelnokov 22 Июль 2006, 23:20
|
> Ничего подобного нигде и никогда не встречал. Александр Николаевич,
> просветите pls.
Винты удаляются через проколы (один на 2-3 винта), а пластинка через разрез 3-4 см у ее конца. Для винтов удобнее не отвертка, а инструмент для скругленного шестигранника (мы брали в "Деосте"). Пример в приложении. Понятно, что это довольно условно "закрытое" удаление. Сейчас зачастую убираем винты, штифтуем, потом выдергиваем пластинку.

> При удалении пластин, обычно, в свободные отверстия прорастает
> регенерат, и сдвинуть пластинку вдоль кости мне кажется очень
> сложным занятием. Только если "приподнять" и снять с образовавшегося
> "пенька".
Все равно приподнять ее надо, чтобы в кожную рану вывести.
Конечно, если пластинка долго была на месте и сильно замурована, а также если винты не с шестигранным шлицем, приходится ее обнажать всю.
|
[
Ответить ]
|
Re: Несращение бедра
Отправитель: Попов Виктор 23 Июль 2006, 07:37
|
Уважаемый Александр!
Удаляю пластины подобным «закрытым» способом. Только разрез для удаления пластины делаю поперечным, пластину поднимаю узким долотом. Каких либо проблем не было. Возможно потому, что удаляю пластины, которые ставил сам, удаляю через год.
С уважением Виктор.
|
[
Ответить ]
|
Re: Несращение бедра
Отправитель: Alexander Chelnokov 23 Июль 2006, 19:07
|
ПВ> для удаления пластины делаю поперечным,
Разрез для удаления самой пластины обычно получается продлением разрезика, через который убирали винты из крайних отверстий. И чтобы
новых рубцов не делать, то идешь с иссечением фрагмента прежнего рубца. А мышцы расслаивать как-то вроде вдоль сподручнее...
ПВ> пластину поднимаю узким долотом.
Или распатором.
ПВ> Каких либо проблем не было. Возможно потому, что
ПВ> удаляю пластины, которые ставил сам, удаляю через год.
Основные трудозатраты - когда несколько винтов сломано, и когда есть винты не тоько в пластине.
А если все срослось, и фиксатор бессимптомный - зачем его убирать?
|
[
Ответить ]
|
Re: Несращение бедра
Отправитель: tigran 23 Июль 2006, 00:55
|
AC>Разве в серьезных больницах диафизарные переломы бедра пластинами давно не перестали лечить? ;-)
a v ser'eznikh bolnitsakh kak raz po ser'ieznomu raskruchivaiut :)
kazhdaya dopolnitelnaya zhelezka oplachivaetsia otdel'no - eto zhe namnogo solidnee i vigodnee vipendreshnuiu plastinu s "20" shurupami i dirochkami priladit' chem kakoy-to banal'niy sterzhen' zasadit' :)))
nu ne mog uderzhatsia....
|
[
Ответить ]
|
|
Re: Несращение бедра
Maxim Agalakov 22 Июль 2006, 20:59
|
И вам доброго времени суток.
Классики жанра (накостного остеосинтеза) рекомендовали в подобных случаях костную аутопластику, например из гребня подвздошной кости, в условиях имеющегося фиксатора.
С уважением Максим Агалаков, УНИИТО. Е-бург.
|
[
Ответить ]
|
Re: Несращение бедра
дмитрий бондарь 23 Июль 2006, 02:14
|
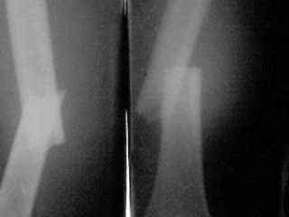
Причина отсутствия движений-больным никто не занимался :((.Сейчас сг\стопом разобрался, движения практически в норме.Добился сгибания в к\с до 140*(физиотерапия).нагрузка 50%безболезненна(до этого 7 мес.ходил без нагрузки)
БИОС клиент не потянет никак(материально),инв.2 гр с "помощью" в 20у.е.:(((.Я склоняюсь больше к варианту декортикации с костной пластикой.Пластину менять?оставлять?АВФ?Не знаю!!!Может кто подскажет ,pls.
С уважением Д.Б.
|
[
Ответить ]
|
Re: Несращение бедра
Отправитель: Alexander Chelnokov 23 Июль 2006, 19:17
|
дб> к\с до 140*(физиотерапия). нагрузка 50% безболезненна (до этого 7
дб> мес.ходил без нагрузки) БИОС клиент не потянет
дб> никак (материально), инв. 2 гр с "помощью" в 20у.е.:(((.
М-да. Сам-то фиксатор может стоить $50-100 или типа того. А первые операции мы вообще делали обычными 4-гранниками, просверлив отверстия в них, и запирали обычными кортикальными винтами.
дб> Я склоняюсь больше к варианту декортикации с костной пластикой.
дб> Пластину менять? оставлять? АВФ? Не знаю!!!
Да можно и так, и этак. В любом случае, если планировать открытое вмешательство (пластика, замена пластинки), и того пуще аппарат,
движения в колене перед этим надо бы довести хоть до прямого угла. А так - можно сделать реосинтез пластиной, можно с пластикой, можно и без. Не иссекая межотломковые ткани, пластиной дать компрессию.
|
[
Ответить ]
|
Re: Несращение бедра
Отправитель: Ильин Вадим 23 Июль 2006, 23:10
|
Не оперируйте. Дайте постепенную нарастающюю нагрузку на конечность в комплексе с ЛФК для коленного сустава. Контрольные рентгенограммы 1 раз в четыре недели.Ортез при возможности.Не понятно по какому поводу инвалидность.
|
[
Ответить ]
|
Re: Несращение бедра
Отправитель: Alexander Chelnokov 25 Июль 2006, 00:45
|
Не раз бывало, что приходили откуда-то пациенты с подобной картиной, и мы выбирали такую именно тактику. Проходило 2-3 мес., и на очередной осмотр пациент приходил уже патологической подвижностью, с разрушением фиксатора. В этот момент принятие решения, конечно, резко упрощается. Но целую пластинку и винты удалять несравненно быстрее и комфортнее, менее травматично. Поэтому сейчас мы больше не ждем "грубой и зримой" несостоятельности фиксации.
|
[
Ответить ]
|
|
Re: Несращение бедра
дмитрий бондарь 24 Июль 2006, 20:04
|
Здравствуйте,коллеги!Хочу ответить на вопросы и задать свои.
1.Неврологической патологии нет.Просто больным никто не занимался 7 мес.
2.даже если просверлить штифт,то все равно нет ЭОП
3.Как быть с нагрузкуй? Если увеличивать,не сломается ли пластина?
4.Может стоит в подобных случаях ложить спонгиозные трансплантаты по внутренней поверхности бедра первично?
5.Винт Из зоны перелома безусловно уберу.
6.компрессировать Стяжным устройством или просто пластиной?
7.В Донецке видел такой финт:обычный ИМ штифт, а в вертельную зону и в мыщелки бедра по стержню от АВФ,Соединенных планкой.(pls , прокоментируйте)
С уважением Д.Б.
|
[
Ответить ]
|
Re: Несращение бедра
Отправитель: Maxim Agalakov 24 Июль 2006, 21:53
|
>Может стоит в подобных случаях ложить спонгиозные трансплантаты по внутренней поверхности бедра первично?
В "эру пластин" при оскольчатых и поперечных переломах в АО руководствах были такие рекомендации(не обязательно для внутренней поверхности бедра, конечно).
Максим Агалаков
|
[
Ответить ]
|
Re: Несращение бедра
Отправитель: Alexaander Chelnokov 24 Июль 2006, 21:56
|
> 1.Неврологической патологии нет. Просто больным никто не занимался 7
> мес.
Это особенно грустно оттого, что знакомо.
> 2.даже если просверлить штифт, то все равно нет ЭОП
В принципе, тут можно обойтись только дистальными винтами, а их ввести без ЭОП можно, сделав разрезик и трепанацию кости спередни над ними.
Была на эту тему статейка греческих авторов.
> 3.Как быть с нагрузкой? Если увеличивать, не сломается ли пластина?
Если сращения нет, куда она денется, сломается обязательно. Либо срежутся винты.
> 4.Может стоит в подобных случаях ложить спонгиозные трансплантаты по
> внутренней поверхности бедра первично?
Наоборот, не надо циркулярно кость скелетировать. Только ложе пластинки нужно.
> 5.Винт Из зоны перелома безусловно уберу.
Вряд ли это поможет, если остальное останется в прежнем положении.
> 6.компрессировать Стяжным устройством или просто пластиной?
Надо получше снимки поглядеть, сколько там возможно сдавить. И какую пластину возьмете - сколько там компрессирующих отверстий будет. Может быть, и так, и так сделать.
> 7.В Донецке видел такой финт:обычный ИМ штифт, а в вертельную зону и
> в мыщелки бедра по стержню от АВФ,Соединенных планкой.(pls ,
Возможный вариант. Надо только избегать контакта стержней аппарата и гвоздя - без ЭОП это может быть непросто. Ну и понятно, движениям это
не способствует.
Еще вариант - ввести традиционный 4-гранный, кюнчеровский, или какой есть гвоздь помощнее (можно и антеградно, но хоть даже и открыто ретроградно, традиционно со стороны перелома), а со стороны надмыщелков заклинить его одним или двумя плоскими стержнями. Пример в приложении.

|
[
Ответить ]
|
Re: Несращение бедра
Отправитель: Попов В. 25 Июль 2006, 08:56
|
>Донецке видел такой финт: обычный ИМ штифт, а в вертельную зону и
в мыщелки бедра по стержню от АВФ, соединенных планкой.
>Возможный вариант. Надо только избегать контакта стержней аппарата и гвоздя - без ЭОП это может быть непросто.
>Еще вариант - ввести традиционный 4-гранный, кюнчеровский, или какой есть гвоздь помощнее (можно и антеградно, но хоть даже и открыто ретроградно, традиционно со стороны перелома), а со стороны надмыщелков заклинить его одним или двумя плоскими стержнями. Пример в приложении.
Уважаемый Александр! Объясните, чем опасен контакт стержней аппарата и гвоздя? Ведь клинение плоскими стержнями подобно. Или я что-то недопонимаю? Разъясните пожалуйста.
С уважением Виктор Попов.
|
[
Ответить ]
|
Re: Несращение бедра
Отправитель: Alexander Chelnokov 25 Июль 2006, 10:47
|
В течение нескольких недель неизбежно происходит бактериальная колонизация каналов спиц и стержней аппарата. Воспаление тканей вокруг спицы/стержня больших проблем не создает, а для интрамедуллярного гвоздя это может более дорого обойтись. Опыт такой у нас был. А заклинивающие плоские стержни наружу не выстоят.
|
[
Ответить ]
|
Re: Несращение бедра
Отправитель: Каминский Андрей 24 Июль 2006, 22:04
|
Дмитрий, приветствую Вас.
Думаю следует продолжать занятия ЛФК. Работать и работать с коленом. Физио, парафин, работа с гамаками и отяжелителями. Массаж. Очень хорошо если бы кто-то владел приемами постизометрической релаксации мышц и занимался с пациентом после парафина - процесс разработки пошел бы очень быстро. На фоне столь интенсивных нагрузок уже через месяц будет видна динамика в зоне "расасывания" (или окрепнет или совсем сдохнет). Ну а при окончательном рассасывании я бы открылся, адаптировал и в аппарат.
Прав Александр, к моменту операции амплитуда в колене не менее 90, лучше больше.
Традиционная хитрость (это касается любого спицевого апарата на бедре) колено при проведении спиц должно быть СОГНУТО. Функция в сустава потом очень не плоха, а разгибательная контрактура вообще дикая редкость.
|
[
Ответить ]
|
|
Re: Несращение бедра
дмитрий бондарь 25 Июль 2006, 19:46
|
Спасибо,коллеги!Попытаюсь обучить методиста ЛФК приемам ПИМР(Вроде бы это есть в монографии по остеоартрозам).Разработку сустава продолжу с умеренной (порядка 40-50%)осевой нагрузкой.Возникла идея на фоне пластины добавить простейший внешний стержневой или гибридный фиксатор и провести закрытую остеоперфорацию и "дедовскую"аутогемотерапию.Вопрос:
Стоит ли это делть сейчас?Вроде стоит,ведь голень тоже сломана и в АВФ,а усилив фиксацию бедра получим возможность нагрузки,что есть гуд,но ДВИЖЕНИЯ????
Прокомментируйте PLS!
С уважением Д.Б.
|
[
Ответить ]
|
Re: Несращение бедра
Отправитель: Попов Виктор г.Караганда 26 Июль 2006, 14:16
|
Нашел резюме "РЕЗУЛЬТАТЫ АУТОТРАНСПЛАНТАЦИИ КОСТНОГО МОЗГА ПРИ ЛЕЧЕНИИ НЕСРОСШИХСЯ ПЕРЕЛОМОВ И ЛОЖНЫХ СУСТАВАХ КОСТЕЙ КОНЕЧНОСТЕЙ", возможно интересно.
Лечение является хирургическим, которое направлено на:
• обеспечение стабильной фиксации костных отломков,
• стимуляция остеогенеза.
На кафедре травматологии, ортопедии и военно-полевой хирургии МГМСУ в 1999 году профессором Зоря В.И разработан способ, направленный на ускорение репаративной костной регенерации путем трансплантации в патологический очаг аутологичного костного мозга в сочетании с протеолитическим ферментом химотрипсином.
Экспериментальными исследованиями отечественных и зарубежных авторов доказано:
• высокая остеогенная потенция клеток-предшественников костного мозга, которые ответственны за все фазы остеогенеза
• ускорение процессов костной регенерации под воздействием химотрипсина и костного мозга.
Методика аутотрансплантации костного мозга включает в себя три этапа:
1. Первый - забор костного мозга с крыла подвздошной кости с помощью внутрикостной иглы Кассирского в объеме 3.0-5.0 куб.см.;
2. Второй - полученную взвесь смешивают с 20-30 мг кристаллического химотрипсина;
3. Третий - полученную смесь под электронно-оптическим преобразователем вводят в область несросшегося перелома, ложного сустава или дефекта трубчатой кости.
Виктор
|
[
Ответить ]
|
|
Re: Несращение бедра
Попов Виктор, г.Караганда 26 Июль 2006, 14:29
|
> Стоит ли это делать сейчас? Вроде стоит, ведь голень тоже сломана и в АВФ, а усилив фиксацию бедра получим возможность нагрузки, что есть гуд, но ДВИЖЕНИЯ????
Если решите усилить фиксацию бедра АВФ, то применив гвозди Штеймана, проведенные через мыщелки бедра и б/б кости и соединив базы на бедре и голени можно через шарниры скомпоновать что-то похоже на аппарат Волкова-Оганесяна, которым дозировано можно устранить контрактуру коленного сустава. Делал, получалось.
С уважением Виктор.
|
[
Ответить ]
|
Re: Несращение бедра
Anatoly Lazarev 26 Июль 2006, 20:24
|
Дорогой Дмитрий, все не так уж плохо. Лизис возможно произошел из-за сврх стабильного остеосинтеза в условиях отсутствия нагрузки и локальной остеопении, т.к. не было пускового механического раздражения для диференцировки клеток предшественников на фоне поражения надкостницы и эндоста гребенкой винтов.
Что можно сделать: обеспечить дозированную циклическую нагрузку на область перелома - нагрузка на конечность. улучшить микроциркуляцию - за счет мышц, движений или медикаментозно. Локально - конечно костная пластика с декортикацией - лепестковой костно-надкостничной по свободной поверхности (по Шелудко или в модификациях).
Обязательная деконцентрация нагрузки в зоне перелома - а именно удаляете межотломковый винт и прилегающие к нему в обоих отломках - переводтите стабильный остеосинтез в мостовтдный или биорлогичный (рациональный). Меньше нагрузка на пластину и раздражающая микроподвижность в зоне пластики.
стимуляция регенерации местно - обогащенная тромбоцитарная масса - это делают на центрифуге, смесь с аутокрошкой (которую возьмете нарошкой от э/протеза из гебня подвздошной кости, с хлористым кальцием из ампулы, можно добавить коллапан с а/биотиками или просто а/биотики и эту пасту нанесете на кость и плстический материал.
не збудьте тунелизацию концов отломков и костномозгового канала провести толстыми гибкими спицами. пластину желательно оставить - cкорее она стабильна. пр исомнениях введете по два стержня выше и ниже ластины на двух паралелльных планках.
Вот пожалуй и все и это из мини досьтупа. Успехов. ЛАФ.
|
[
Ответить ]
|
Re: Несращение бедра
Отправитель: Alexaander Chelnokov 26 Июль 2006, 21:11
|
AL> Обязательная деконцентрация нагрузки в зоне перелома - а именно
AL> удаляете межотломковый винт и прилегающие к нему в обоих отломках -
AL> переводтите стабильный остеосинтез в мостовтдный или биорлогичный
Это интересный ход конем! В развитие этой идеи - а что, если поверх наложить аппарат, убрать из одного отломка вообще все винты, в другом оставить 3 крайних. Аппаратом сдавить по оси. И снова ввести в пустую часть пластины 3 винта в крайние отверстия, как А.Ф. Лазарев предложил. Аппарат тогда можно и не оставлять, использовать лишь как временный компрессор.
|
[
Ответить ]
|
Re: Несращение бедра
Отправитель: Anatoly F. Lazarev 27 Июль 2006, 14:36
|
В Пркопьевске в дремучие времена видел своими глазами методику удлиннения бедра комбинированным способом: на отломки после остетомии накладывали пластину с пазом с одной стороны, паз размером предполагаемого замещения. Плюс аппарат на двух кольцевых опорах. После окончания дистракции - открывали место регенерата вводили оставшиеся винты в пластину. Разрешали нагрузку, затем снимали аппарат. Срок фиксации в аппарате значительно сокращался и т.д и т.п. ЛАФ.
|
[
Ответить ]
|
|
Re: Несращение бедра
Антон Андрианов 26 Июль 2006, 21:09
|
Прочел пост В.Попова и вспомнил, что в АО ДИАЛОГЕ была статья об аутотрансплантатции костного мозга из Англии. Только вводили взвесь пунктата из гребня по игле с аналгетиком без фермента. Приложены хорошие снимки. Если есть доступ, попробуйте коллапан, я им три года успешно работаю при дефектах, переломах и кистозных опухолях.
|
[
Ответить ]
|
Re: Несращение бедра
Отправитель: Alexaander Chelnokov 27 Июль 2006, 00:08
|
АА> хорошие снимки. Если есть доступ, попробуйте коллапан, я им три года
АА> успешно работаю при дефектах, переломах и кистозных опухолях.
Мы вот как-то при тех же хворях "успешно работаем" без коллапана... Сколько ни доводилось видеть докладов о его успешном применении, или других отечественных bone substitutes типа литара, от представленых клинических примеров остается стойкое ощущение, что аналогичные случаи примерно так же идут и без него. То есть нет убежденности, что коллапан и прочее подобное не балласт. Если успех определяется хирургическим решением проблемы, то любое другое воздействие в этот
период можно принять за эффективное.
Другое дело, substitutes типа Norian SRS или MIIG, которые имеют первичную прочность - тут достоинства более наглядны. Уже года 3-4 пишут, что после лечения, например, импрессионных переломов тибиального плато с использованием такого рода заместителей начинали нагрузку на ногу чуть ли не через 2-3 недели. Вот, например:
Lobenhoffer P, Gerich T, Witte F, Tscherne H. Use of an injectable calcium phosphate bone cement in the treatment of tibial plateau fractures: a prospective study of twenty-six cases with twenty-month mean follow-up. J Orthop Trauma, 2002;16: 143-9.
|
[
Ответить ]
|
|
Re: Несращение бедра
дмитрий бондарь 30 Июль 2006, 01:54
|
Здравствуйте,глубокоуважаемые коллеги!Спасибо всем за отклики.Решил последовать советам Александра Николаевича и Анатолий Федоровича.Операция назначена на 02.08.06.Результаты постараюсь представить на Форум.
Еще раз спасибо.
С уважением Д.Б.
|
[
Ответить ]
|
( Ответить )
|
|