AOTRAUMA.ORG Центр Илизарова  

Ортопедия и травматология Общие вопросы/General questions Help Информационные технологии в медицине
 вверх
 отправить
 поиск
 админ
 главная


Застарелый перелом таза
Ортопедия и травматология Отправлено Юрий Алексеевич Булахтин 25 Июль 2006, 16:57 Камчатский Военно-морской госпиталь
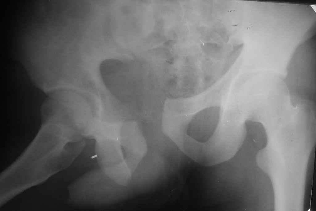
Уважаемые коллеги! Вчера оперировал больного с переломом таза месячной давности - разрыв симфиза, перелом обих ветвей лонной кости справа и трансфораминальный перелом крестца справа.
Картинки шлю отдельно. Отрепонировать полностью вертикальное смещение не удалось. Хотел-бы услышать Ваше мнение о допустимости (или недопустимости) подобного стояния отломков и рекомендации по дальнейшей тактике.

<  |  >

 

  • Сообщения о Ортопедия и травматология
  • Также Юрий Алексеевич Булахтин
  • Связаться с автором
  • Ответить

    Re: Застарелый перелом таза
    Alexander Chelnokov 26 Июль 2006, 08:34
    ЮАБ> симфиза, перелом обих ветвей лонной кости справа и трансфораминальный
    ЮАБ> перелом крестца справа.


    Виден разрыв правого крестцово-поздошного сочленения, разрыв симфиза.

    ЮАБ> Картинки шлю отдельно.

    Было пока только одно изображение - видимо, фас до операции.
    [ Ответить ]

    Re: Застарелый перелом таза
    Maxim Agalakov 26 Июль 2006, 09:10
    Хотелось бы , конечно, увидеть картинки. Многие авторы считают, что остаточное смещение в задних отеделах не должно превышать 10 мм.
    (Pohlemann T, Gänsslen A and Tscherne H. Fractures and dislocations of the pelvic ring. Editions Scientifiques et Médicales Elsevier SAS (Paris). Surgical Techniques in Orthopaedics and Traumatology, 55-410-A-10, 2000, 11 р)
    [ Ответить ]


    ( Ответить )

    Powered by Zope  Squishdot Powered MedLink
    Посетитель: 0177401
      "По форме правильно, а по существу - издевательство" В.И.Ленин
    ©2001-2019Orthoforum Coordinator.
    [ Главная | Отправить сообщение | Поиск | Админ ]