AOTRAUMA.ORG Центр Илизарова  

Ортопедия и травматология Общие вопросы/General questions Help Информационные технологии в медицине
 вверх
 отправить
 поиск
 админ
 главная


Вертельный + диафизарный переломы бедра - нагрузка?
Ортопедия и травматология Отправлено Никита Заднепровский 27 Июль 2006, 22:55
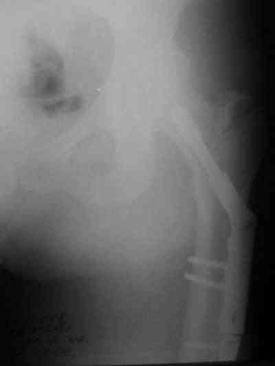
Около 10 дней назад выполнил остеосинтез бедренной кости LC-DCP и DHS по поводу фрагментарного оскольчатого перелома в средней трети и чрезвертельного перелома.
Пока больная только присаживается в кровати. Разрешать нагрузку не рискую. Но есть брейс фиксирующий одновременно тазовое кольцо и бедро соединенный посредством шарнира. Какой срок и режим нагрузки на оперированную конечность будет оптимальным в данном случае?

<  |  >

 

  • Сообщения о Ортопедия и травматология
  • Также Никита Заднепровский
  • Связаться с автором
  • Ответить

    Re: Вертельный + диафизарный переломы бедра - нагр
    Юрий Алексеевич Булахтин 27 Июль 2006, 23:09
    Уважаемый Никита!

    Покажите снимки. И еще - не переоценивайте DCS и DHS, я этим страдал когда они только появились - рано давал нагрузку без учета характера перелома, это обычные пластины, только специализированные "по месту".
    С уважением, Ю.А. Булахтин
    [ Ответить ]

    Re: Вертельный + диафизарный переломы бедра - нагр
    Никита Заднепровский 27 Июль 2006, 23:31


    Снимки в приложении.
    Конечно, при современном подходе, применение PFNa удленной версии со спиральным лезвием было бы адекватным решением. А также еще далеко до малоинвазивной техники, представленной А.Ю.Семенистым в издании Margo Anterior (МАТИС и AO/ASIF), где выполняется имплантация DHS через 4 сантиметровый разрез, снимаю шляпу перед этими мастерами, просто - высший класс, но ... какие наши годы!! ;-)
    В приложении и имеющийся в наличии брейс. Приношу извинения за низкое качество снимков.

    С уважением, Заднепровский Никита Николаевич

    [ Ответить ]

    • Re: Вертельный + диафизарный переломы бедра - нагр
      Отправитель: Alexander Chelnokov 27 Июль 2006, 23:34
      НЗ> Конечно, при современном подходе, применение PFNa удленной
      НЗ> версии со спиральным лезвием было бы адекватным решением.


      Для такого сочетания переломов, конечно, нужен фиксатор из группы проксимальных гвоздей. Сейчас опять в фаворе фиксаторы с одним шеечным элементом и антиротационным механизмом - Gamma, PFN-A (TFN). Сгодятся и просто PFN и его многочисленные клоны.

      НЗ> А также еще далеко до малоинвазивной техники, представленной
      НЗ> А.Ю.Семенистым в издании Margo Anterior (МАТИС и AO/ASIF), где


      Многоуважаемый Алексей Юрьевич ведь тоже участвует в форуме, так что, будем надеяться, не откажется помочь советом коллегам. Да и, наверно, можно договориться о приезде в их клинику на рабочее
      место на пару недель?

      НЗ> В приложении и имеющийся в наличии брейс. Приношу извинения

      Качество снимков приемлемое. С нагрузкой категорически не надо спешить - только при уверенных рентгенологических признаках сращения на обоих уровнях в данном случае. Т.е. не только на диафизе, но и в вертельной области. При безупречном синтезе DHS ранняя нагрузка в этой зоне была бы безопасна, все определялось бы сращением диафиза. А поскольку винт в DHS сделали ну о-очень короткий, то ойкнуть не успеете, как
      проксимальный отдел бедра в варус кувыркнется.


      [ Ответить ]
      • Re: Вертельный + диафизарный переломы бедра - нагр
        Отправитель: Алексей Семенистый 28 Июль 2006, 20:09
        > Многоуважаемый Алексей Юрьевич ведь тоже участвует в форуме, так что,
        > будем надеяться, не откажется помочь советом коллегам.
        > Да и, наверно, можно договориться о приезде в их клинику на рабочее
        > место на пару недель?


        WELCOME!

        > НЗ> В приложении и имеющийся в наличии брейс.

        Брейс тут конечно не поможет!

        [ Ответить ]
    Re: Вертельный + диафизарный переломы бедра - нагрузка?
    дмитрий бондарь 28 Июль 2006, 19:28
    Глубокоуважаемый Никита!На бедре стоило бы обязательно провести межфрагментарный стягивающий винт и предварительно надо бы слегка изогнуть пластину,ну и может быть трансплантат по внутренней поверхности.А параллельно большому винту DHS провести спонгиозный винт для ротационной стабильности.Так,что с нагрузкой не нада тараписся!
    С уважением Д.Б.
    [ Ответить ]

    Re: Вертельный + диафизарный переломы бедра - нагр
    Алексей Семенистый 28 Июль 2006, 20:08
    Уважаемый Никита, очень меня расстроило не качество снимков, а сам остеосинтез. Вертельный перелом, пожалуй, еще срастется. А диафиз может преподнести ожидаемое, предуготованное осложнение: несращение и перелом импланта, даже если это суперфмрменная пластина.:(
    [ Ответить ]

    Re: Вертельный + диафизарный переломы бедра - нагрузка?
    дмитрий бондарь 28 Июль 2006, 20:18
    Коллеги !дайте линк на статьи Margo Anterior pls.
    Мой где то потерялся
    Д.Б.
    [ Ответить ]

    Re: Вертельный + диафизарный переломы бедра - нагрузка?
    Владимир Бахарев 30 Июль 2006, 21:59
    А возможны варианты когда перелом диафиза бедра сделать ЗИМО с блокироавнием, а в/3 канюлированными винтами если нет проксимальных штифтов Страйкера,Синтеза?
    [ Ответить ]


    ( Ответить )

    Powered by Zope  Squishdot Powered MedLink
    Посетитель: 0395779
      "По форме правильно, а по существу - издевательство" В.И.Ленин
    ©2001-2019Orthoforum Coordinator.
    [ Главная | Отправить сообщение | Поиск | Админ ]