AOTRAUMA.ORG Центр Илизарова  

Ортопедия и травматология Общие вопросы/General questions Help Информационные технологии в медицине
 вверх
 отправить
 поиск
 админ
 главная


Вывих предплечья
Ортопедия и травматология Отправлено дмитрий бондарь 29 Июль 2006, 00:50
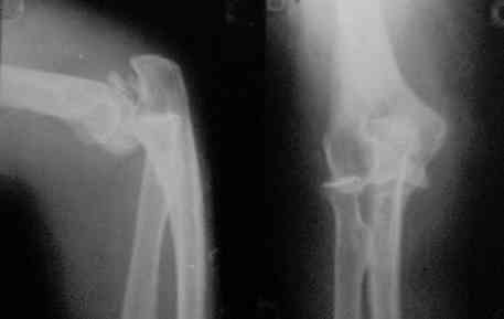
Доброго времени суток, коллеги! Поступила больная2 дня назад (см. снимки).
Вывих вправил, сделал КТ и... появился ряд вопросов: 1.Убирать или оставить отломки? Я думаю убирать2.Каким доступом идти?Что скажете про трасолекрональый?3.Кто какие видел результаты после подобного перелома?4.Что делать с венечным отвостком?5.Нужна ли дополнительная внешняя фиксация?С уважением Д.Б.

<  |  >

 

  • Сообщения о Ортопедия и травматология
  • Также дмитрий бондарь
  • Связаться с автором
  • Ответить

    Re: Вывих предплечья
    ерохин александр 30 Июль 2006, 00:12
    А сколько лет больной? Кем работает? Вы уже похоже решили оперировать, тогда, конечно, доступ с пересечением олекранона,Результаты-прогнозировать,тем более заочно,сложно. А что Вы подразумеваете под внешней фиксацией?Гипсовую повязку или аппарат?Лучшая фиксация,если ожидаются проблемы с развитием контрактуры,-аппарат с роликовыми регуляторами и демпфером.
    [ Ответить ]

    Re: Вывих предплечья
    дмитрий бондарь 30 Июль 2006, 23:05
    Больной 34 года,работает дефектоскопистом.Спасибо за совет по поводу АВФ
    С уважением Д.Б.
    [ Ответить ]


    ( Ответить )

    Powered by Zope  Squishdot Powered MedLink
    Посетитель: 0390174
      "По форме правильно, а по существу - издевательство" В.И.Ленин
    ©2001-2019Orthoforum Coordinator.
    [ Главная | Отправить сообщение | Поиск | Админ ]