вверх
отправить
поиск
админ
главная
Предыдущее
Весь тред
|
Re: В защиту коллапана
Антон Андрианов 10 Август 2006, 20:35
|
Александр Николаевич,
мне, старому провинциальному врачу, трудно с позиций доказательной медицины дискутировать с Вами, да и не это цель моей реплики.Хотелось лишь показать, что на сегодняшний у российских ортопедов есть доступный повсюду недорогй материал, о котором и не мечталось десяток лет назад. Пример, который я привел, иллюстрировал мои эмоции, которые я испытал, увидя снимки через 3 месяца- на месте пустоты выросла костная ткань. Насколько органотипична она судить не могу, но 4 года и десяток наблюдений с энхондромами на пальцах убедительны\для меня\ Антибиотик выделяется 3 недели, по данным разработчиков. Каждый делает выбор сам, но все же опыт коллег более достоверен, чем публикации в брошюрахх, полученных у стендов выставок.
|
|
|
Ответить
|
Re: В защиту коллапана
Alexander Chelnokov 11 Август 2006, 01:01
|
АА> лишь показать, что на сегодняшний у российских ортопедов есть
АА> доступный повсюду недорогй материал, о котором и не мечталось десяток
О существовании этого препарата общественность информирована, его применяют от провинциальных больниц до ЦИТО. И хотелось бы обратить внимание не на доступность, а на то, что обоснования его применения на современном уровне доказательности почему-то до сих пор нет.
АА> Пример, который я привел, иллюстрировал мои эмоции, которые
АА> я испытал, увидя снимки через 3 месяца- на месте пустоты выросла
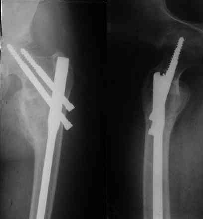
Под рукой нашелся повод для похожих эмоций. Патологический перелом на месте рецидива костной кисты у девочки 16 лет (обсуждали этот случай
года два назад). Ни коллапана, ни трансплантатов, ничего другого в очаг не вводили, кроме нержавеющей стали. Она, видимо, тоже остеоиндуктор - видно, что на месте пустоты через несколько месяцев кость.

АА> десяток наблюдений с энхондромами на пальцах убедительны \для меня\
Методология доказательной медицины оттого и появилась, что осознана недостоверность оценок лишь на основе текущей практики.
АА> Антибиотик выделяется 3 недели, по данным разработчиков.
Спасибо, примем к сведению.
АА> Каждый делает выбор сам,
Важно, на чем он основан.
АА> но все же опыт коллег более достоверен, чем публикации в
АА> брошюрахх, полученных у стендов выставок.
Поэтому надежнее руководствоваться не рекламными материалами и чьими-то личными впечатлениями, а независимыми данными контролируемых испытаний.
|
[
Ответить ]
|
Re: В защиту коллапана
Отправитель: Антон Андрианов 11 Август 2006, 20:49
|
Согласен на все сто с Вашей последней фразой. Не знаю как учат сейчас врачей в ВУЗАХ, но по-моему основы доказательной медицины познаются уже в процессе работы. А что касается Вашего примера, то давно известно, что кистозные опухоли у детей могут спонтанно регенерировать после перелома. Пример рецидива кисты после неадекватной пластики Вы видите на этой же странице. По поводу РФ не могу судить, но в Казахстане больше применяют стоматологи для подготовки к импланатации протезов при дефектах костей челюсти. Спасибо за обсуждение темы.
|
[
Ответить ]
|
|
( Ответить )
|
|