ВХОД ДЛЯ ПАЦИЕНТОВ
вверх
поиск
админ
главная
|
Нестабильность эндопротеза тазоберденного сустава. Ревизия |
 |
 |
 |
Прислано Савицкий Евгений 05 Август 2006, 22:02
из
Уважаемые коллеги.
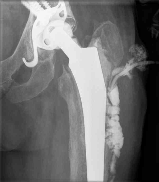
Подскажите, пожалуйста, варианты ревизии у пациентки 65 лет с нагноением эндопротеза т\б сустава.
В 2004 году установлен эндопротез с гладким п\о течением и заживлением раны. На протяжении всего времени больную беспокоили боли в области паха: бедра. Поступила с обстрением болевого синдрома и уже в отделении развился покожный абсцесс с формированием свища. Фистулография- в приложении.
Достаточно ли удалить протез и установить промывную систему или лучше спейсер? Если спейсер, тогда как дренировать костномозговой канал?
Спасибо.
Обратите внимание: Поля с жирными названиями обязательны.
Старайтесь отвечать в рамках обсуждаемой темы, а не начинать новые обсуждения.
Указывайте адекватную тему сообщения, чтобы было ясно, о чем оно.
Не послайте сообщений не по теме (оффтопик), раздраженных, грубых или обидных комментариев. Здесь это неуместно.
|