AOTRAUMA.ORG Центр Илизарова  

Ортопедия и травматология Общие вопросы/General questions Help Информационные технологии в медицине
 вверх
 отправить
 поиск
 админ
 главная


склерозирующий остеомиелит ?
Ортопедия и травматология Отправлено ерохин александр 10 Август 2006, 00:01
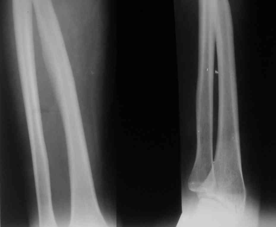
Уважаемые коллеги,помогите определиться с диагнозом и лечением.Ко мне обратилась знакомая 52 лет,с жалобами на интенсивные боли в левом предплечье.Больна около 5-6 лет.

За последний год боли стали более интенсивными,вынуждена носить руку на косынке, иногда не может уснуть из-за болей,практически не может работать. Боли ноюшие, изматывающие, продолжающиеся 5-8 дней, затем, после покоя, применения анальгетиков - стихают. Боль четко локализуется в проекции лучевой кости. Отека, признаков воспаления нет.
Пальпация безболезненная,пальпируется над лучевой костью еле заметная "впадина". В анамнезе - в детстве стояла на учете и лечилась у фтизиатора, с учета снята более 20 лет назад. В настоящее время осмотрена фтизиатром. Туберкулез исключается, Манту 13 мм. Анализы крови, мочи-без патологии. На рентгенограммах веретенообразное утолщение лучевой кости и истончение коркового слоя. Я склоняюсь к диагнозу склерозирующего остеомиелита Гарре. Склерозирующий остеомиелит ли это? Нужна ли биопсия? Какие есть современные схемы лечения? Заранее благодарен.

<  |  >

 

  • Сообщения о Ортопедия и травматология
  • Также ерохин александр
  • Связаться с автором
  • Ответить

    Re: склерозирующий остеомиелит ?
    Эйдлина Е.М. 10 Август 2006, 14:37
    Уважаемый коллега! Во-первых, рентгенограммы выполнены не стандартно. Необходимо сделать рентгенограммы предплечья в прямой и боковой проекции с захватом одного из прилежащих суставов, это общее правило. Во-вторых, по представленным рентгенограммам патологических костных изменений, в т.ч. склезирозирующего остеомиэлита не определяется. Утолщение в с\3 диафиза - физиологическая норма (место прикрепления межкостной мембраны). С уваж. Е.М.
    [ Ответить ]

    Re: склерозирующий остеомиелит ?
    Антон Андрианов 11 Август 2006, 20:54
    Коллега, если тут не скрыта какая-то неврология-корешковая симптоматика? Сделайте несколько косых снимков, не исключена остеоидная остеома. При подозрении на конкретный участок пошли больного на КТ.
    [ Ответить ]

    Re: склерозирующий остеомиелит ?
    дмитрий бондарь 14 Август 2006, 20:18
    Интенсивные боли часты при опухолях(имел подобный случай,лечил коксартроз)Ну и покажите неврологам
    Суважением Д.Б.
    [ Ответить ]


    ( Ответить )

    Powered by Zope  Squishdot Powered MedLink
    Посетитель: 0389972
      "По форме правильно, а по существу - издевательство" В.И.Ленин
    ©2001-2019Orthoforum Coordinator.
    [ Главная | Отправить сообщение | Поиск | Админ ]