Ответить
|
Re: Огнестрельный перелом плеча ( продолжение)
Alexander Chelnokov 11 Август 2006, 20:06
|
ММВ> наложен изначально правильно, реостеосинтез бы не делал в столь ранний
ММВ> п\операционный период.
В общем, лучше как раз раньше, чем меньше время в аппарате, тем меньше риск инфекции.
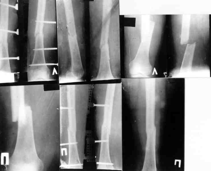
ММВ> выполнен закрытый блокируемый остеосинтез. Клинически результатом
ММВ> доволен. Рентгенологически - не вполне. нужно было погрузить стержень
В целом можно поздравить, очень неплохо. Рассверливали ли канал? Вверху вроде один винт, и в динамическом отверстии - лучше бы в статическое, а то стержень можт еще вылезти. А что за стерюень? Похоже на ChM. Из-за того, что выстоит, либо придется удалять рано или поздно. Либо через 2-3 мес. сделать ревизию - извлечь фиксатор, канал немного углубить и рассверлить, и тот же стержень ввести уже поглубже.
В дистальном отделе хватит и одного винта, лучше переднезаднего, чтобы поберечь лучевой нерв.
Что решили с антибиотиками?
ММВ> в суставах полный. Активные движения в плече и локте ограничены из за
ММВ> болевого синдрома и пассивности больного.
Надо пассивные поддерживать, в том числе и кисть.
ММВ> Думаю, со временем эта проблема решится. Кожная пластика
ММВ> планируется на 14.08. Надеюсь, что все будет нормально. Кажется
Дальнейших успехов!
|
[
Ответить ]
|
Re: Огнестрельный перелом плеча ( продолжение)
Отправитель: Марикин Михаил Викторович 11 Август 2006, 22:15
|
Канал не рассверливал. Стержень 7мм.ChM. В статическое отверстие не стал вводить винт, побоялся попасть в пустоту, а зря. Лучевой нерв видел,когда вводил дистальные винты. Антибиотики сменены, но складывается впечатление, что они не нужны.
|
[
Ответить ]
|
Re: Огнестрельный перелом плеча ( продолжение)
Отправитель: Alexaander Chelnokov 11 Август 2006, 22:56
|
> Канал не рассверливал. Стержень 7мм ChM. В статическое отверстие не
> стал вводить винт, побоялся попасть в пустоту, а зря.
Там есть выкол латеральной стенки, опасения понятны. В таком случае можно стержень повернуть на 90 градусов, чтобы проксимальные отверстия стали передне-задними. Тогда и дистальные винты через направитель можно вводить спереди назад (или сзади наперед).
> Лучевой нерв видел,когда вводил дистальные винты.
Да, при введении фронтальных винтов надо делать разрез побольше, либо нерв увидеть, либо аккуратно раздвинуть ткани прямо до кости. Еще и кость тут плоская, как лопата, сверло норовит соскользнуть. Так что если ЭОП есть, передне-заднее отверстие сверлить проще и безопаснее, можно через прокол кожи.
> Антибиотики сменены, но складывается впечатление, что они не нужны.
Если для профилактики, то больше суток не надо.
|
[
Ответить ]
|
Re: Огнестрельный перелом плеча ( продолжение)
Отправитель: Djoldas Kuldjanov 11 Август 2006, 22:24
|
При рассверливании дистального отдела плеча будьте
осторожны, чтобы не получилось, как у моего партнера, во время установки интрамедуллярного
штифта римером раскололи вдребезги дистальный суженный бесканальный отдел плеча, после фиксация уже в двух сегментах, вот уже несколько лет не может смотреть на интрамедуллярный штифт для плеча.
|
[
Ответить ]
|
|
Re: Огнестрельный перелом плеча ( продолжение)
Sergey Melashenko 15 Август 2006, 01:59
|
Ув. Михаил Викторович. Вы писали, что около 10 лет применяете стержневые аппараты, но они не обладают репозиционными возможностями. У нас был
разработан такой аппарат (авторы: Тауфик Амро, Сушко Геннадий Александрович (ученик Илизарова)). Манипулируя узлами данного аппарата возможно закрыто устранить любые смещения, за исключением ротационных.
Высылаю
видеофайл (несколько неудачный, но смысл понятный) - Аппата Амро широко применяется в Запорожье, Мелитополе, Приморске.
Изготовить его особого труда не составляет. У нас в Приморске своими силами мы изготовили 10 таких. Если Вас это заинтересует - вышлю чертежи, и др. информацию.
Sergey Melashenko
|
[
Ответить ]
|
Re: Огнестрельный перелом плеча ( продолжение)
Отправитель: Марикин Михаил Викторович 15 Август 2006, 12:20
|
Привет Сергей. Открыл почту и сразу Ваше послание. Видеофайл отличного качества. Мы применяем стержневые аппараты описаные в руководстве по внутреннему остеосинтезу Мюллера. Они российского производства и в них отсутствует ряд компонентов репозиционного свойства. В прошлом веке принимал участие в базовом цикле АО в Н.Тагиле, где нас учили в том числе применению стежневых аппаратов. Те аппараты были со всеми примочками и можно делать репозицию во всех плоскостях. Просто и здорово. Спасибо за информацию.
С уважением Марикин.
|
[
Ответить ]
|
|
Re: Огнестрельный перелом плеча ( продолжение)
Александр Нагога 16 Август 2006, 22:09
|
Уважаемый Михаил Викторович! У нас имеется небольшой опыт блокируемых остеосинтезов плечевой кости (20-30), однако был печальный случай (у пациента, в другой клинике, плечо было оперировано гвоздем Кюнчера!!! - произошло отвисание дист фрагмента) , Нами был ваполнен БИОС (проксимальное блокирование одним винтом), через месяц произошло прорезывание порозной кости и погружение винта под кортикал с образованием диастаза между фрагментами, пришлось найти и извлечь этот винт, немного выбить стержень (не
вскрывая место перелома и не убитрая дистальные блокирующие винты) и выполнить проксимальное блокирование двумя винтами.
Так. как вы планируете пациенту повторное вмешательство - может быть удалить прокс. блок. винт забить гвоздь на 10- мм. и сделать блокирование двумя винтами?
С уважением Нагога Александр (Самара)
|
[
Ответить ]
|
Re: Огнестрельный перелом плеча ( продолжение)
Отправитель: Alexaander Chelnokov 19 Август 2006, 13:18
|
Л> блокирование одним винтом) , через месяц произошло прорезывание порозной
Л> кости и погружение винта под кортикал с образованием диастаза между
А можно оснимки посмотреть - интересная ситуация.
Л> удалить прокс. блок. винт забить гвоздь на 10- мм. и сделать блокирование
Л> двумя винтами?
Второй винт если вводить стандартно, то он получится динамический, и для предотвращения прорезания не будет работать. Надо то есть его без кондуктора по нижнему краю отверчстия ввести. Но тут вроде кость нормальная, не должно прорезаться.
|
[
Ответить ]
|
|
Re: Огнестрельный перелом плеча ( продолжение)
Sergey Melashenko 19 Август 2006, 13:02
|
Вот еще информация, ознакамливайтесь pls/

С ув. Сергей Мелашенко,
Приморск, Запорожская обл.
Ukraine
|
[
Ответить ]
|
Re: Огнестрельный перелом плеча ( продолжение)
Отправитель: Maxim Agalakov 20 Август 2006, 22:15
|
Ув. коллега, а что такого нового или необычного в этих приложениях - стандартные методики. аппаратов внешней фиксации - море - этот просто один из них.
|
[
Ответить ]
|
Re: Огнестрельный перелом плеча ( продолжение)
Отправитель: Sergey Melashenko 20 Август 2006, 22:44
|
Автор просил выслать в net...
|
[
Ответить ]
|
|
( Ответить )
|
|