Ответить
|
Re: Перелом обеих лодыжек и з/края б/б кости с выв
Кучерявый Игорь 15 Август 2006, 21:41
|
Удалены спицы, а гипса не было? 3-х лодыжечный перелом фиксировать 4 недели недостаточно. Что и подтверждается на последнем снимке - есть тенденция к подвывиху кнаружи, кзади... Что будет дальше, когда пациент начнет давать полную нагрузку?
|
[
Ответить ]
|
Re: Перелом обеих лодыжек и з/края б/б кости с выв
Отправитель: Sergey Melashenko 16 Август 2006, 22:13
|
Иммобилизировал ортезом, коллеги из области подарили.
Я вижу, вы сторонник раннего оперативного лечения и стабильной фиксации при таких переломах. Согласен, однако нельзя забывать о возрасте
пациента, трудовой деятельности и желания. В данном случае (60 лет пациентке), я склоняюсь к мнению, что данная методика наиболее
приемлема. У более молодых предпочтительным считаем стабильную фиксацию (операция
выполняется в первые 3-5 часов после травмы, что позволяет избежать травматического отека и соответствующей отсрочки лечения на 2-2,5
недель)
Понаблюдаю за пациенткой 1-2 года, посмотрим.
С ув. Сергей Мелашенко
|
[
Ответить ]
|
Re: Перелом обеих лодыжек и з/края б/б кости с выв
Отправитель: Игорь Кучерявый 16 Август 2006, 22:15
|
Как раз здесь лучше собрать сразу, пациентке в 60 лет труднее переносить все эти проблемы. Да и чем она провинилась? А при данной методике необходимо все-таки гипсовать...
|
[
Ответить ]
|
|
Re: Перелом обеих лодыжек и з/края б/б кости с выв
Alexander Chelnokov 15 Август 2006, 22:16
|
СМ> На 4-й неделе убрал спицы, с 7-й недели начал ЛФК, дозированную
СМ> нагрузку, физиопроцедуры, массаж. Назначил хондропротекторы.
Интересно, в Европе и США при переломах лодыжек назначают ли те же физиопроцедуры, массаж и хондропротекторы?
СМ> Получилось вот что.
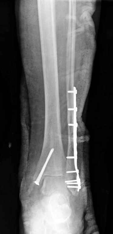
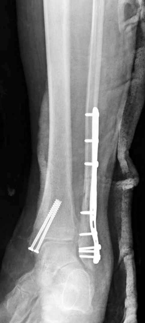
Малоберцовая выглядит коротковатой. Профиль как-то мутный. Вообще, неплохо было бы сделать снимки в сравнении со здоровой.
|
[
Ответить ]
|
Re: Перелом обеих лодыжек и з/края б/б кости с выв
Отправитель: Sergey Melashenko 16 Август 2006, 08:51
|
> Интересно, в Европе и США при переломах лодыжек назначают ли
> те же физиопроцедуры, массаж и хондропротекторы?
Хочеться восстановить функцию, а хондропротекторы (глюкозамин, хондроитин) назначил для профилактики артроза, хрящ все-таки пострадал от спиц...
> Малоберцовая выглядит коротковатой. Профиль как-то мутный. Вообще,
> неплохо было бы сделать снимки в сравнении со здоровой.
Попробую сделать
|
[
Ответить ]
|
Re: Перелом обеих лодыжек и з/края б/б кости с выв
Отправитель: Alexander Chelnokov 16 Август 2006, 08:52
|
СМ> Хочеться восстановить функцию, а хондропротекторы (глюкозамин
В Ваших добрых намерениях никто и не сомневается :-)
Вопрос лишь в том, есть ли реальная польза от этих мер в такой ситуации? Кто, когда и как ее подтвердил?
Мне кажется, хватило бы короткого курса разработки, да и попрощались бы.
|
[
Ответить ]
|
Re: Перелом обеих лодыжек и з/края б/б кости с выв
Отправитель: Djoldas Kuldjanov 16 Август 2006, 08:59
|
> Интересно, в Европе и США при переломах лодыжек назначают
> ли те же физиопроцедуры, массаж и хондропротекторы?
Мы не назначаем хондропротекторов после операции, честно говоря, я даже не знаю, что это.
Послеоперационно на пару недели брейс,
которую можно снять для ежедневной разработки сустава с увеличением амплитуды движения.
> Малоберцовая выглядит коротковатой. Профиль как-то мутный.
Конечно, малоберцовая укорочена, надо сделать косой - мортиз снимок, тогда будеть понятно, на сколько.
Стараемся делать операцию всем, потому что даже отличную репозицию не удержать, не дай бог какие то кожные осложнения в гипсе и т.д., теряется
зря время. Если большой отек, иногда поэтапно, сперва малоберцовую, затем, через пару дней
медиальную, задний край меньше 15% суставной поверхности оставляем в покое.

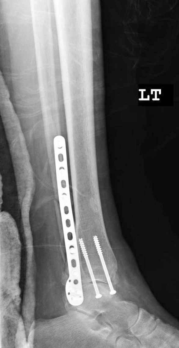
Здесь финальный снимок 73 летней с
сопутствующей шизофренией, латерально бридж
пластину (соединили дистальный конец с диафизом не трогая место перелома) и медиально перкутанно
двумя шурупами. В этам случае без гипса не
обойтись.
|
[
Ответить ]
|
Re: Перелом обеих лодыжек и з/края б/б кости с выв
Отправитель: Evgueny Tchekashkine 17 Август 2006, 11:26
|
Джолдас, Здравствуйте,
Красивые Рг-граммы! У меня нет опыта перкутанной фиксации внутренней лодыжки, поэтому интересно узнать, наблюдали ли вы несращения внутр.лодыжки
при такой технике фиксации?
В местных условиях практически все переломы лодыжек( нестабильные) оперируются открыто: 3.5 мм 1/3 пластина и спонгиозный винт со спицей или
два 4.5 мм спонгиозных винта. Почему я задаю вопрос, потому что во всех оперирируемых случаях наблюдал надкостничную интерпозицию в зоне перелома внутренней лодыжки, которая устраняется в процессе репозиции. Естественно, что при закрытой технике устранить интерпозицию евозможно/возможно? или сохраняющаяся межфрагментарная интерпозиция не кртитична для сращения перелома? Как вы прокомментируете это?
Заранее признателен,
Евгений
|
[
Ответить ]
|
Re: Перелом обеих лодыжек и з/края б/б кости с выв
Отправитель: Djoldas Kuldjanov 17 Август 2006, 13:21
|
Женя привет,
Точно, для идеальной репозиции надо открыть передний и задний углы медиальной лодыжки,
сделать ревизию сустава, очистить, убрать интерпозицию, потом только зафиксировать.
Как заметил, по рентгенограмме медиальная лодыжка не очень идеально репонирована. Больная кроме шизофрении страдала другими соматическими заболеваниями, и во время операции от анестезиолога получил рекомендацию поторопиться, поэтому решили закрыто, а так тенденция лечить
открытым методом.
Фиксацию предпочитаю шурупами 4.0 или 3.5мм для медиальной лодыжки, если размер фрагмента позволяет то малым antiglade plate. Шурупом в 4.5 мм не приходилось из-за опасности расколоть лодыжку и из-за большого размера головки. Многие
утверждают, что 4.0 мм канюлированный шуруп
механически лучше чем сплошной 4.5 мм. Встречал ложные суставы медиальной лодыжки и безсимптомные
(рентгенологические) тоже, возможно из-за частичной интерпозиции, еще и те, которые приходилось оперировать заново, даже с примененим
костной пластики.
|
[
Ответить ]
|
Re: Перелом обеих лодыжек и з/края б/б кости с выв
Отправитель: Игорь Кучерявый 18 Август 2006, 14:40
|
Но ведь некоторые такие переломы срастаются и без операции. Видимо даже при интерпозиции надкостницей, если остаётся достаточная площадь контакта отломков, медиальнее, то есть условия для сращения. Чем глубже залезает надкостница - тем меньше шансов для сращения.
P.S. Я иногда по дежурству, устав от потока пациентов, при свежем переломе просто загоняю винт во внутреннюю лодыжку, не выделяя место перелома и
просто отрепонировав его пальцами - срастается. Ни одного несросшегося не было.
|
[
Ответить ]
|
|
Re: Перелом обеих лодыжек и з/края б/б кости с выв
Maxim Agalakov 16 Август 2006, 09:52
|
Получился ожидаемый результат. Недостаточная длительность иммобилизации - подвывих, а жаль, первичная репозиция была замечательная, целесообразность назначения хондропротекторов, физиопроцедур вызывает сомнения.
С уважением,
Максим Агалаков
|
[
Ответить ]
|
( Ответить )
|
|