вверх
отправить
поиск
админ
главная
|
Латеральная нестабильность голеностопного сустава |
 |
 |
 |
Отправлено Sergey Melashenko 15 Август 2006, 21:45
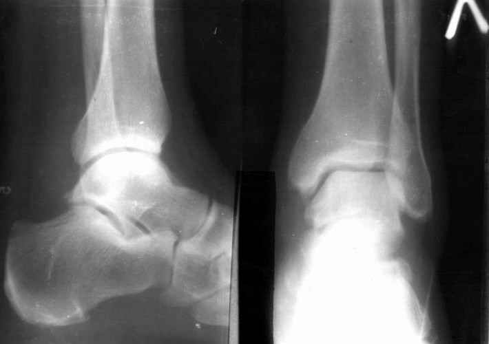
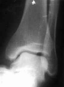
братился мужчина, 50 лет. Жалобы на боли в голеностопном суставе, периодическое подворачивание стопы вовнутрь. Получил травму 5 лет назад. При осмотре - признаки латеральной нестабильности, боли по ходу малоберцово-таранной, задней малоберцово-пяточной связки. Сделал стандартный Rg, и Rg с нагрузкой. В течение последнего года начали беспокоить боли в коленном, тазобедренном суставе. Как полагаю, это связано с нарушением биомеханики всей ноги. Если прооперировать и устранть нестабильность, пройдут ли эти боли (этот вопрос пациент задал сразу, как только услышал слово операция)? С ув. Сергей Мелашенко, Приморск, Запорожская обл. Ukraine
<
|
>
|
|
Ответить
|
Re: Латеральная нестабильность голеностопного суст
Evgueny Tchekashkine 16 Август 2006, 08:38
|
Cергей, здравствуйте,
Попробуйте сделать аналогичный стресс -снимок прямой проекции здорового сустава и сравнив его с ранее травмированной стороной определитесь есть
нестабильность или нет.
С практической т.зр. удобно делать стресс -проекции одновременно двух суставов на одной кассете, супинируя обе стопы вместе и тогда разница ширины суставной щели даст вам информацию о стабильности или нестабильности сустава.
Всего доброго,
Евгений
|
[
Ответить ]
|
Re: Латеральная нестабильность голеностопного суст
Alexaander Chelnokov 16 Август 2006, 22:11
|
В стремлении помочь пациенту не будем забывать афоризм неизвестного автора - "Нет такого состояния, которое нельзя было бы ухудшить операцией".
|
[
Ответить ]
|
Re: Латеральная нестабильность голеностопного суст
Отправитель: Рубан Алексей Анатольевич 16 Август 2006, 23:59
|
Полностью согласен с коллегой. Если УДАСТСЯ!!! устранить нестабильность, то причина болей не исчезнет. Я считаю, что нужно лечить остеоартроз. Проверьте его стопы на предмет плоскостопия, а на сустав - фиксатор голеностопа. Пожалуста уточните: что за травма была?
|
[
Ответить ]
|
|
Re: Латеральная нестабильность голеностопного сустава
зайцев 20 Август 2006, 22:18
|
присоединяюсь к мнению показать симметричные снимки
пока не кажется, что нестабильность очевидна.
собственно, где источник боли.
может быть хрящ?
связана ли боль с подворачиванием ноги?
|
[
Ответить ]
|
( Ответить )
|
|