AOTRAUMA.ORG Центр Илизарова  

Ортопедия и травматология Общие вопросы/General questions Help Информационные технологии в медицине
 вверх
 отправить
 поиск
 админ
 главная
 Предыдущее


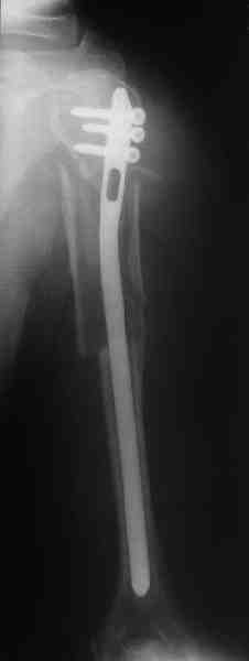
Re: Оскольчатый перелом плеча
Maxim Agalakov 20 Август 2006, 22:34
Уважаемые коллеги.
Прооперировали больную с переломом плеча все же гвоздем, Фото в приложении.



  • Сообщения о Ортопедия и травматология
  • Также Maxim Agalakov
  • Связаться с автором
  • Ответить

    Re: Оскольчатый перелом плеча
    Никита Заднепровский 20 Август 2006, 22:38
    Интересно, а канал рассверливали?
    Гвоздик похоже ЦИТОвский?
    Полагаю, бабушку можно поздравить с обретением
    независимости. Судя по снимкам, неврологических расстройств нет и такая пациентка выпишется после снятия швов.
    Какие рекомендации Вы дадите этой женщине на ближайшие 6 месяцев?

    С уважением, Заднепровский Никита Николаевич
    [ Ответить ]

    • Re: Оскольчатый перелом плеча
      Отправитель: Maxim Agalakov 20 Август 2006, 22:42
      > Интересно, а канал рассверливали?

      минимально

      > Гвоздик похоже ЦИТОвский?

      точно

      > Какие рекомендации Вы дадите этой женщине на ближайшие 6 месяцев?

      ЛФК, ну и гиревым спортом не заниматься:)


      [ Ответить ]
    • Re: Оскольчатый перелом плеча
      Отправитель: Alexaander Chelnokov 20 Август 2006, 23:36
      Немножко уточню ответы Максима.

      НЗ> Интересно, а канал рассверливали?

      Только сформировали канал в головке. Диафиз не рассверливали. Хотя при необходимости, конечно, рассверлили бы.

      НЗ> Гвоздик похоже ЦИТОвский?

      Гвоздь большеберцовый нашей модификации, действительно, их делает предпричятие "ЦИТО". Тут взят 9 мм, укорочен до 240 мм, сделано дополнительное отверстие самое проксимальное, ну и для дистального винта.

      НЗ> независимости. Судя по снимкам, неврологических расстройств
      НЗ> нет и такая пациентка выпишется после снятия швов.


      Неврологии нет, а выписать можно хоть на второй день, швы можно снять и в местной больнице.

      НЗ> Какие рекомендации Вы дадите этой женщине на ближайшие 6 месяцев?

      Почему так надолго? На ближэайшие недели - разработка движений, и все. Полагаю, что недель после 4 никаких рекомендаций не будет нужно, просто жить обычной жизнью сельской пенсионерки.

      [ Ответить ]

     

    ( Ответить )

    Powered by Zope  Squishdot Powered MedLink
    Посетитель: 0199264
      "По форме правильно, а по существу - издевательство" В.И.Ленин
    ©2001-2019Orthoforum Coordinator.
    [ Главная | Отправить сообщение | Поиск | Админ ]