вверх
отправить
поиск
админ
главная
|
Отправлено Alexander Chelnokov 23 Август 2006, 13:08
Глубокоуважаемые коллеги, Обратились за советом коллеги из соседней больницы. Мужчина 30 лет, в автоаварии ударился грудью об руль. После травмы 3 недели. Определяется отчетдивая подвижность на месте перелома. Снимок в приложении. Пока обсуждали варианты - LCP (какую?) или спицы. Открывать зону перелома или нет? Что посоветуете?
<
|
>
|
|
Ответить
|
Re: Перелом грудины
В.Машталов 23 Август 2006, 13:17
|
Не смотря на отсуствие приверженности к данным видам остесинтеза вообще, но в данном случае две скобы из никилида титана с память формы достаточно и
оптимально, даже при сохраненном смещении . можно и под м/а.Только бранши скобы мах не разгибать , может при восстановлении формы прорезаться и сверло использовать с ограничителем из пхв трубки. Успехов!
|
[
Ответить ]
|
Re: Перелом грудины
Evgueny Tchekashkine 23 Август 2006, 16:49
|
Александр, Приветствую,
Посоветую не трогать, межфрагм. подвижность после 3 нед не абсолютное показание для хирургии.
Евгений И Чекашкин
|
[
Ответить ]
|
Re: Перелом грудины
Александр Рыков 23 Август 2006, 20:25
|
Проблема не вс ращении - оно конечно же наступит. Проблема в смещении и изменении конфигурации переднего средостения. Я бы вмешался и устранил
смещение - это не сложно технически. Чем фиксировать - то чем удобно у Вас.
Кардиохирурги при доступе шьют проволокой на неудаление или аппаратом или нитками. С приветом. Интересно - никто не ответил про эластические бинты при профилактике ТЭО и фибриновый клей - неужто никто не клеит.
А Рыков. Хабаровск.
|
[
Ответить ]
|
Re: Перелом грудины
Отправитель: Evgueny Tchekashkine 23 Август 2006, 20:33
|
>Проблема в смещении и изменении конфигурации переднего средостения.
Не предполагал/не знал, что самоё неустранённое смещение фрагментов грудины критично.
Просветите на этот счет, какие проблемы возникают при этом состоянии, был бы признателен за литературные ссылки по теме.
Изначально не было упомянуто, что у пациента наблюдаеются какие-либо проблемы, связанные с изменением конфигурации/объёма средостения.
Известны осложнения тупой травмы груди по типу нарушения сердечного ритма, гемоперикардиума....
Заранее признателен,
Евгений И.Чекашкин
|
[
Ответить ]
|
|
Re: Перелом грудины
Djoldas Kuldjanov 24 Август 2006, 09:16
|
>Изначально не было упомянуто, что у пациента наблюдаеются какие-либо
>проблемы, связанные с изменением конфигурации/объёма средостения.
>Известны осложнения тупой травмы груди по типу нарушения сердечного
>ритма, гемоперикардиума....
Может, имелись ввиду нарушения, связанные с изменением конфигурации средостения после эстетических операции на грудной клетки при врожденных: килевидных и воронкообразных деформациях, но в данном случае, кроме болевого синдрома, не думаю, что несросшиеся перелом грудины окажет серьёзное влияние на кардио-респираторные функции.
Пару лет назад коллега из грудной хирургии направил больного с хроническими жалобами на боли по поводу ложного сустава грудины.
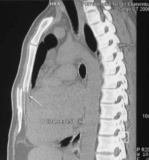
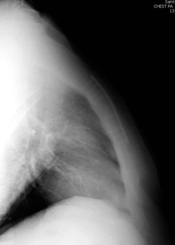
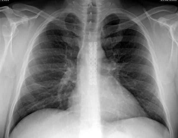
Оперировали вместе с грудным хирургом и в нашем случае главной причиной была болезненность. Во время операции приняли все меры предосторожности недопущения прокола средостения (см. на 4 снимке близкий контур сердца!!)
Ложный сустав зафиксирован двумя пластинами 2.4 мм (locking plate) позаимствованными из челюстно-лицевой хирургии, с костной пластикой, все остальные пластины мне показались слишком толстыми, грубые для грудины или отсутсвовали возможности создания угловой стабильности.

Рентген снимки во время операции и последние сделаны на днях.
Если все таки решили сделать операцию, то можно заглянуть ещё раз в книгу Jeff Mast ”Planning and Reduction Technique in Fracture Surgery”, где детально описаны методы репозизиции плоских костей в главе “Tricks”, хотя уверен, что у каждого хирурга имеются свои “трюки”.
Djoldas Kuldjanov, MD
Department of Orthopedic Surgery
St. Louis University Medical Center
|
[
Ответить ]
|
Re: Перелом грудины
A.Mironov 24 Август 2006, 11:42
|
При переломах грудины со смещением как правило оперируем. В качестве фиксатора используем рекон. LCP, доступ простой, с репозицией проблем не возникало. Для сверла, что бы не провалиться в средостение, используем ограничитель.
1.jpg
33KB (34321 bytes)
|
[
Ответить ]
|
( Ответить )
|
|