ВХОД ДЛЯ ПАЦИЕНТОВ
вверх
поиск
админ
главная
|
коррекция оси перед эндопротезированием? |
 |
 |
 |
Прислано Михаил Н. Полляк 30 Август 2006, 12:30
из
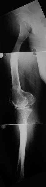
Обратилась дама 57 лет с намерением протезировать коленный сустав. Имется грубая осевая деформация (см. рентгенограммы).
Встает вопрос насчет улучшения оси конечности. Даже с мобилизацией на пртяжении при таком вальгусе малоберцовому нерву может не поздоровиться. Уважаемые коллеги, как лучше провести коррекцию? Какой сегмент, на каком уровне, на какую величину? Что бы Вы исправили до протезирования, что можно оставить и сделать вместе с замещением сустава?
Обратите внимание: Поля с жирными названиями обязательны.
Старайтесь отвечать в рамках обсуждаемой темы, а не начинать новые обсуждения.
Указывайте адекватную тему сообщения, чтобы было ясно, о чем оно.
Не послайте сообщений не по теме (оффтопик), раздраженных, грубых или обидных комментариев. Здесь это неуместно.
|