ВХОД ДЛЯ ПАЦИЕНТОВ
вверх
поиск
админ
главная
|
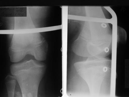
Переломы голени у подростка |
 |
 |
 |
Прислано Ларионов Н.М. 05 Сентябрь 2006, 05:03
из
Поступил мальчик 12 лет с переломами диафиза костей обеих голеней.
В связи с этим поставлен вопрос, который уже поднимался в узких кругах, но к однозначному решению это не привело. Можно ли в данном случае применить ЗИО с блокированием? Если использовать классическую точку входа над бугристостью и избежать блокирования в зонах роста повлияет ли это рост кости? Как с этим обстоят дела у иностранных колег?
Обратите внимание: Поля с жирными названиями обязательны.
Старайтесь отвечать в рамках обсуждаемой темы, а не начинать новые обсуждения.
Указывайте адекватную тему сообщения, чтобы было ясно, о чем оно.
Не послайте сообщений не по теме (оффтопик), раздраженных, грубых или обидных комментариев. Здесь это неуместно.
|