вверх
отправить
поиск
админ
главная
|
Опыт применения и-медуллярного остеосинтеза |
 |
 |
 |
Отправлено Накоренок Илья 11 Сентябрь 2006, 00:44
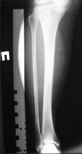
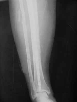
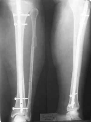
Здравствуйте уважаемые коллеги. Позвольте поделиться опытом применения интрамедуллярного остеосинтеза большеберцовой кости имплантатами компании ?Остеомед" с запатентованной прицельно-навигационной системой для дистального блокирования ?Интерлок". Для определения длинны и диаметра стержня использовали линейку-шаблон, позволяющей с легкостью рассчитать длину и диаметр стержня с проекцинно искаженными размерами, как конечности, так и линейки-шаблона.Дистракцию производили с помощью спицевого дистрактора с последующей закрытой репозицией отломков винтами Шанца. Все основные этапы производили по методике АО, гарантированное дистальное блокирование достигается за счет центрирования отверстий, путем контролирования смещения стержня в костномозговом канале в сагиттальной плоскости. Клинический пример:Больная Я. 45 лет, пострадала в результате случайного падения на улице 19.12.2005., имеет место открытый 1 степени перелом обеих костей левой голени со смещением отломков.произведена закрытая репозиция перелома с последующим введением стержня (на данном этапе производился рентген-контроль)Убедившись в достаточной репозиции перелома, произведено дистальное и проксимальное блокирование интрамедуллярного стержня.Общее время затраченное на оперативное вмешательство составило 45 минут.
<
|
>
|
|
Ответить
|
Re: Опыт применения и-медуллярного остеосинтеза
Alexander Chelnokov 12 Сентябрь 2006, 08:22
|
НИ> поделиться опытом применения интрамедуллярного остеосинтеза
НИ> большеберцовой кости имплантатами компании “Остеомед” с
НИ> запатентованной прицельно-навигационной системой для дистального
Поздравляем врачей и пациента с успехом!
НИ> рассчитать длину и диаметр стержня с проекцинно искаженными размерами,
НИ> как конечности, так и линейки-шаблона.
Правильнее все-таки делать два снимка с центрацией на суставные концы.
НИ> Дистракцию производили с помощью спицевого дистрактора с
НИ> последующей закрытой репозицией отломков винтами Шанца.
можно на фото взглянуть?
Мы давно как-то пытались таким джойстиками пользоваться на бедре, сломали стержень со всеми вытекающими, так что давно не пользуемся и как-то нет в этом нужды.
НИ> Все основные этапы производили по методике АО,
Это в смысле как?
НИ> гарантированное дистальное блокирование достигается за счет
НИ> центрирования отверстий, путем контролирования смещения стержня в
НИ> костномозговом канале в сагиттальной плоскости.
Да, опора на переднюю поверхность стержня - единственный путь для более-менее надежного дистального нацеливающего приспособления.
НИ> Больная Я. 45 лет, пострадала в результате случайного падения на улице
НИ> 19.12.2005.,
Это ж почти год назад??? И что побудило сейчас этот случай представить?
НИ> с последующим введением стержня (на данном этапе производился
НИ> рентген-контроль)
То есть делали без усилителя рентгеновского изображения?
НИ> Общее время затраченное на оперативное вмешательство составило 45
НИ> минут.
Ну и наверно уже результаты есть, с декабря прошлого года-то?
|
[
Ответить ]
|
Re: Опыт применения и-медуллярного остеосинтеза
андрей 13 Декабрь 2007, 18:39
|
скорость постановк просто супер,учитывая что проводилось ето без ЕОПа,насколько я понимаю.
|
[
Ответить ]
|
( Ответить )
|
|