AOTRAUMA.ORG Центр Илизарова  

Ортопедия и травматология Общие вопросы/General questions Help Информационные технологии в медицине
 вверх
 отправить
 поиск
 админ
 главная


Есть сомнения
Ортопедия и травматология Отправлено Владимир Бахарев 14 Сентябрь 2006, 12:32
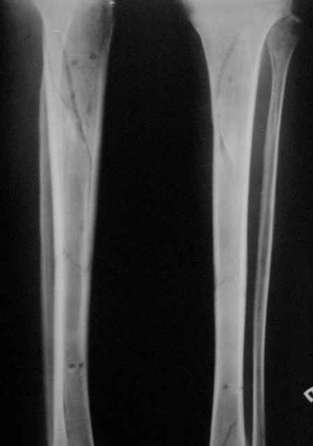
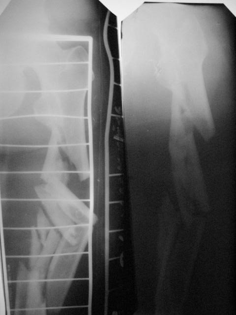
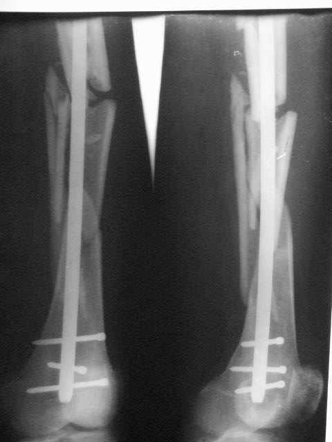
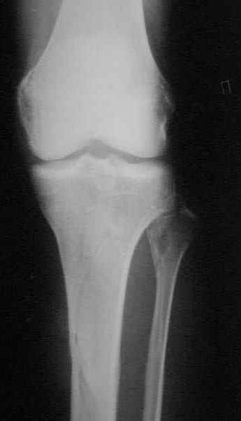
Здравствуйте коллеги!10.07.2006 года поступил молодой человек 26 лет с Диагнозом:
Открытый (2 В Каплан) многооскольчатый перелом левого бедра. Перелом межмыщелкового возвышения большеберцовой кости без смещения слева. Открытый (1 А Каплан) перелом с/3 -н/3 костей правой голени, перелом пяточной кости справа.На седьмые сутки выполнены операции:1. ЗИМО (статически, Chm-CHARFIX) левого бедра. 2. Остеосинтез стержневым аппаратом костей правой голени и пяточной кости. См. r-gr.На сегодня аппарат демонтирован, больной ходит с ограниченной нагрузкой.Смущает стояние отломков в верхней трети бедра (как то не задумались при планировании операции о реконструктивном или гамме штифте ) хватит ли этих двух винтов для стабильности?С Уважением Владимир Бахарев.

<  |  >

 

  • Сообщения о Ортопедия и травматология
  • Также Владимир Бахарев
  • Связаться с автором
  • Ответить

    Re: Есть сомнения
    Alexaander Chelnokov 14 Сентябрь 2006, 23:37
    ВБ> костей правой голени, перелом пяточной кости справа. На седьмые сутки выполнены
    ВБ> операции:1. ЗИМО (статически, Chm-CHARFIX) левого бедра.


    Красивый случай. Удалось решить непростые задачи и довольно рано паицента активизировать, поздравляю!
    Хотя такие многооскольчатые переломы штифтовать - одно удовольствие: рассверливать ничего не надо, с репозицией трудностей нет ;-)

    ВБ> Смущает стояние отломков в верхней трети бедра (как то не задумались
    ВБ> при планировании операции о реконструктивном или гамме штифте ) хватит
    ВБ> ли этих двух винтов для стабильности?


    Длина проксимального отломка тут достаточна для использования любого диафизарного гвоздя, так что в этом отношении как раз все в порядке. Запас прочности, однако, тут для ранней полной нагрузки недостаточен, и даже с реконструкционным было бы немногим больше - дистальные винты те же 4,5 мм, а они у гвоздей ChM довольно хлипкие. Так что с нагрузкой тут лучше не спешить до уверенных признаков пластики на снимках.

    Видна заметная наружная ротация центрального отломка. Если это не случайно сделали снимок, не выведя колено в нейтральное положение, то это типичное смещение, если делать синтез на тракционном столе с тазовой подставкой и промежностным упором. Стоило бы сделать снимок обоих тазобедренных суставов при одинаково уложенных коленных. Для этой же цели можно сделать и снимок в сгибании 90 градусов коленых и тазобедренных суставов, будет прямо видно
    антеверсию шеек. Спасибо за презентацию непростого пациента.
    [ Ответить ]

    Re: Есть сомнения
    Владимир Бахарев 15 Сентябрь 2006, 07:29
    Спасибо Вам Александр Николаквич.
    Тракционным столом при ЗИМО на голень и бедро давно не пользуемся (опять же Вам Спаибо!)
    [ Ответить ]


    ( Ответить )

    Powered by Zope  Squishdot Powered MedLink
    Посетитель: 0389985
      "По форме правильно, а по существу - издевательство" В.И.Ленин
    ©2001-2019Orthoforum Coordinator.
    [ Главная | Отправить сообщение | Поиск | Админ ]