вверх
отправить
поиск
админ
главная
|
Отправлено Ренжин Алексей 18 Сентябрь 2006, 14:58 МУЗ ГБ №1 Асбест
Здравствуйте коллеги! Прошу помочь с лечением больного. Мужчина в полном расцвете сил в апреле 2004 года получил травму - открытый оскольчатый перелом голени. Через 2 дня произведён МОС большеберцовой кости пластиной АО и винтами. Послеоперационный период осложнился остеомиелитом. Через 3.5 месяца пластина удалена. В марте 2005 года оперативное лечение в г. Екатеринбурге - санирование очага, некрэктомия. В июне 2006 года в ОКБ произведена секвестрэктомия, через неделю некрэктомия. Неоднократно получал антибактериальную терапию, в результате чего сформировалась сенсибилизация ко многим антибактериальным препаратам. В данный получает перевязки. Локально сохраняется кратерообразная гнойная рана, размерами до 4 х 3 см. Хотелось бы узнать Ваши мнения по поводу дальнейшего ведения данного пациента.
<
|
>
|
|
Ответить
|
Re: Остеомиелит.
Леонид Пак 18 Сентябрь 2006, 17:59
|
рентгенограммы хотелось бы увидеть
|
[
Ответить ]
|
Re: Остеомиелит.
Отправитель: Ренжин Алексей 19 Сентябрь 2006, 09:17
|
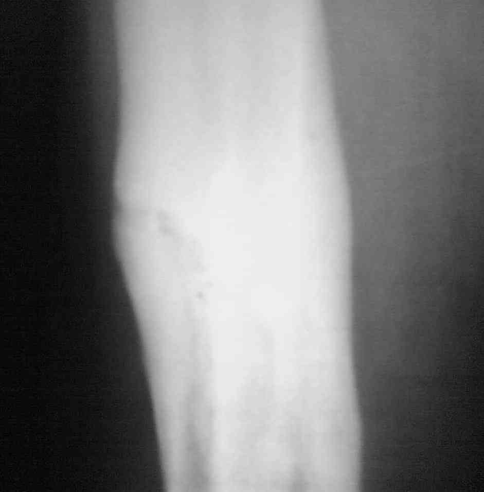
Да, конечно. Я ещё не до конца разобрался как посылатьсразу много снимков. Это последняя RG - грамма.
Фото(038)а.jpg
27KB (28500 bytes)
|
[
Ответить ]
|
Re: Остеомиелит.
Отправитель: Alexander Chelnokov 19 Сентябрь 2006, 09:39
|
Можно или сфотографировать сразу обе проекции, либо посылать по одному файлу в каждом сообщении. Голень лучше снять на пленке 15х40 см, или положив кассету 30х40 см по диагнали,т.е. на протяжении, 2 проекции. А чем Вы снимки фотографируете?
|
[
Ответить ]
|
|
Re: Остеомиелит.
Ренжин Алексей 20 Сентябрь 2006, 00:20
|
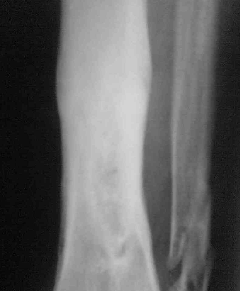
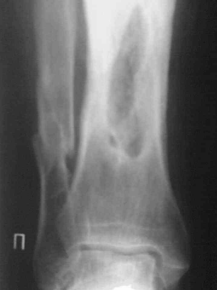
Выкладываю снимки в хронологическом порядке. Снмки все какие есть у больного.

|
[
Ответить ]
|
Re: Остеомиелит.
Отправитель: Alexaander Chelnokov 24 Сентябрь 2006, 01:50
|
Алексей,
Количество не заменяет качества, поэтому не стоит выкладывать весь хлам, какой удастся найти у пациента. Лучше сделать 1)свежие 2)хорошего качества рентгенограммы, чтобы оценивать ситуацию по ним, а не по мутным огрызкам.
Пока в любом случае надо выполнять туалет и перевязки несколько раз в сутки, лаваж любой водой, можно водным хлоргексидином. Делать повторные обработки, некрэктомии. Наверно, ферменты будут полезны. Надо в любом случае тут добиваться сначала санации раны. Смотреть на дефект и думать, что делать, будем потом.
Даже если недоступны более современные варианты типа vacuum assisted closure или спейсеров из костного цемента с антибиотиками, вид раны не вызывает паники, доступные хирургические методы должны обеспечить санацию.
|
[
Ответить ]
|
Re: Остеомиелит.
Отправитель: Ренжин Алексей. 26 Сентябрь 2006, 16:43
|
Благодарю Вас Александр Николаевич! Конечно, хорошо иметь цифровой фотоаппарат в отделении, но пока нам это недоступно. Обязательно сделаю снимки и выложу их на эту же страничку. Пациент лечится у себя в посёлке и приезжает в славный город Асбест на перевязки 3 раза в неделю. Как я понимаю этого мало. Вы советуете ферменты местно - какие именно? и в каких количествах? Более современные варианты типа vacuum assisted closure или спейсеров из костного цемента с антибиотиками нам также не доступны.
|
[
Ответить ]
|
|
( Ответить )
|
|