вверх
отправить
поиск
админ
главная
|
Несращение бедренной кости |
 |
 |
 |
Отправлено Александр Ситник 22 Сентябрь 2006, 03:23
Уважаемые коллеги! Прошу совета по лечению пациентки 43 лет.
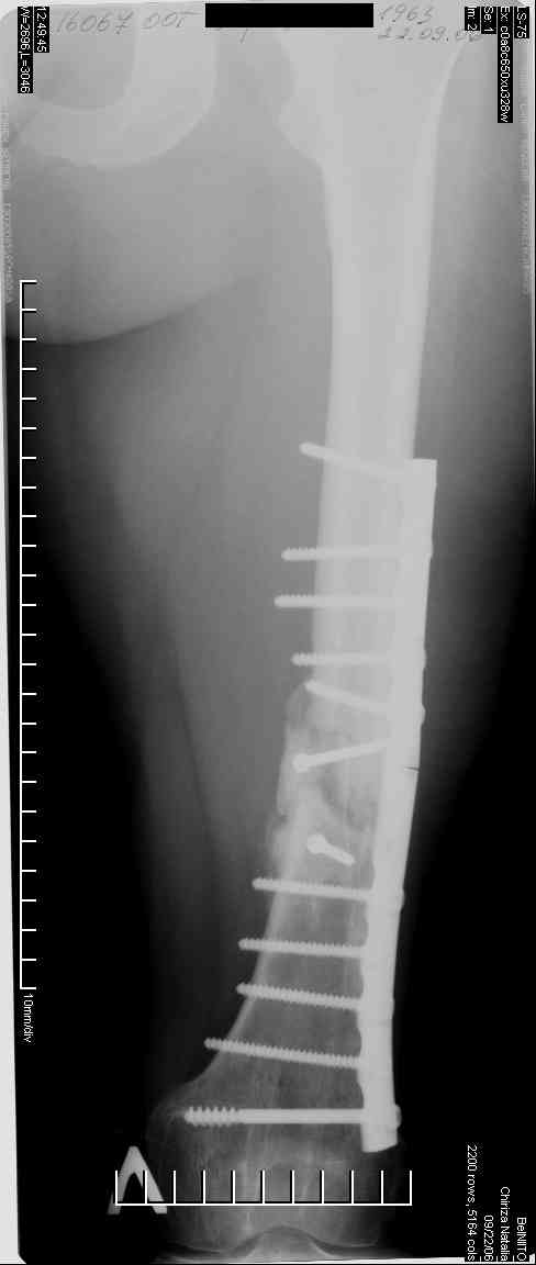
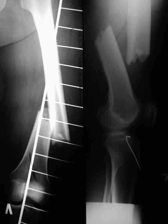
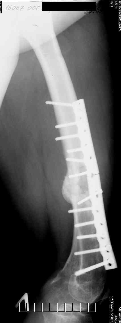
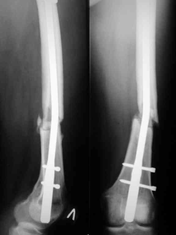
 Соматически здорова. В ноябре 2004 года падение с высоты 12 м, перелом правой вертлужной впадины со смещением, неврит седалищного нерва, откр. перелом дистального отдела большеберцовой кости справа и закрытый перелом с/н/3 левого бедра. К нам поступила через 3 недели после травмы, был выполнен в 2 сессии сначала интрамедуллярный ретроградный остеосинтез бедра слева, затем остеосинтез вертлужной впадины и голеностопа справа. При остеосинтезе бедра пришлось немного приоткрыться в зоне перелома для репозиции и вообще операция затянулась часа на 2.5-3 (это один из наших первых интрамедуллярных синтезов). Через 4 месяца при нагрузке весом около 50 кг постепенно развилась варусная деформация бедра с искривлением стержня. Закрыто выпрямили под наркозом, динамизация гвоздя,но в сентябре 2005 г. согнулось бедро снова. Гвоздь удалили, остеосинтез пластиной, декортикация, пластика спонгиозой из метафиза б/берцовой кости. Динамика заживления вялая, но конструкция стояла неплохо (без признаков расшатывания), постепенно дали нагрузку - в марте 2006 года - перелом пластины - реостеосинтез пластиной, пластика гребнем подвздошной кости. На контролях (за август, т.е. 4 мес. после операции - прилагаю) динамика положительная, разрешена нагрузка до 50 кг. В начале этой недели без падения вновь появились боли в бедре - на Р-граммах - перелом пластины (снимки прилагаю). Фоном ко всему этому то, что и перелом вертлужки и дистального отдела б/б кости тоже не срастаются, хотя на голени уже дважды выполнялась костная пластика, на впадине - вторичное смещение, перелом части металлоконструкций. Исследовали гормональный фон - парат-гормон и прочие щитовидные в норме, месячные регулярно.Прошу совета по тактике дальнейшего лечения и выяснения причины тотального несращения всего сломанного.
<
|
>
|
|
Ответить
|
Re: Несращение бедренной кости
Марикин МВ 23 Сентябрь 2006, 13:38
|
Уважаемый Александр. Случай достаточно интересный, поскольку за 2 года,почему то ничего не срастается и все ломается. Жаль нет рентгенограмм таза и голени.Основными причинами несращения переломов бывает 1.не правильно выбранная тактика лечения, в том числе тактика оперативного лечения ( к примеру - не тот фиксатор, не того размера, неправильно установлен и т.д.)2.Девитализация костных отломков, а судя по рентгенограммам старались вы на совесть, когда открывали область перелома при интрамедуллярном остеосинтезе. Кстати, если это был не блокируемый остеосинтез, а обычный, то понятно почему стержень согнулся и нет сращения. На представленных рентгенограммах отдельные винты расположены даже с внутренней стороны, т.е. открылись вы качественно. 3.не правильно выбранная тактика лечения в п.операционном периоде или не выполнения больным данных рекомендаций. По бедру - мы бы убрали пластину и выполнили ретроградный блокируемый остеосинтез с рассверливанием. Если нет возможности, есть аппарат Илизарова. Но мороки и для вас и для больного много.
|
[
Ответить ]
|
Re: Несращение бедренной кости
Отправитель: А Ситник 24 Сентябрь 2006, 11:00
|
1. Рентгенограммы обязательно дошлю.
2. "судя по рентгенограммам старались вы на совесть, когда открывали область перелома при интрамедуллярном остеосинтезе"
? - но как это можно определить по снимкам, да еще и выполненным через 20 месяцев после первичной операции)
При первичном интрамедуллярном остеосинтезе применялся блокируемый гвоздь диаметром 9 мм ретроградно. У пациентки узкий костномозговой канал, поэтому были сложности (рассверливали долговато). Что касается разреза то его длина была 3-4 см не более. Т.е. насчет девитализации я согласен, но именно за счет рассверливания.
Винты с внутренней стороны кости фиксируют трансплантат, взятый из гребня подвздошной кости. Он довольно массивный и был уложен в дефект по передне-медиальной поверхности кости. тут уж пришлось действительно открываться на совесть.
Винить больную в несоблюдении режима не могу, женщина весьма ответственная и в своем выздоровнении заинтересованная.
Вариант интрамедуллярного остеоснтеза мы рассматриваем. Обсуждается еще одно предложение - удаление сломанной пластины и аппарат (стержневой) на компрессию.
Спасибо за комментарий
А.Ситник

В приложении рентгенограмма бедра за авгутст 2005 с согнутым гвоздем и первичные.
|
[
Ответить ]
|
Re: Несращение бедренной кости
Отправитель: Alexaander Chelnokov 24 Сентябрь 2006, 21:38
|
> когда открывали область перелома при интрамедуллярном остеосинтезе" ? - но как это можно
> определить по снимкам, да еще и выполненным через 20 месяцев после первичной операции)
Отсутствие сращения косвенно говорит об этом. Хотя, судя по снимкам со стержнем, вероятны и другие проблемы. Раз есть диастаз - надо динамизировать стержень практически сразу, недели в 2-4 после остеосинтеза, а раз уж сращения в динамике не выявляется, зачем было с динамизацией ждать больше 2 мес.?
> При первичном интрамедуллярном остеосинтезе применялся блокируемый
> гвоздь диаметром 9 мм ретроградно. У пациентки узкий костномозговой
> канал, поэтому были сложности (рассверливали долговато).
Мы перестали последние годы применять столь тонкие бедренные гвозди, т.е. встречаемость проблем с ними выше. 10 мм минимум, только в основном у молодежи, остальным потолще. "Рассверливали долговато" - что за трудности подразумеваются?
> Что касается разреза то его длина была 3-4 см не более. Т.е. насчет
> девитализации я согласен, но именно за счет рассверливания.
Чтобы рассверливание обусловило несращение, надо сверлить невесть чем и как, чтобы вызвать термический некроз на всю толщину кости. Так что в рассверливании искать источник бед я бы не стал. Проблемы обычно бывают от скелетирования кости. Плюс оставлен диастаз (мальротация?). Да и функция/нагрузка конечности были долго ограничены, что тоже неполезно.
> гребня подвздошной кости. Он довольно массивный и был уложен в
> дефект по передне-медиальной поверхности кости. тут уж пришлось
> действительно открываться на совесть.
Обычно достаточно закрыто перештифтовать стержнем большего диаметра, рассверлив канал. Зачем перешли на пластину?
> Винить больную в несоблюдении режима не могу, женщина весьма
Состоятельный остеосинтез при диафизарных переломах не должен бы требовать какого-то специального режима, разве что движения в колене восстанавливать поскорее. Если не обеспечивается ходьба без ограничения нагрузки - "фтопку" такой остеосинтез.
> Вариант интрамедуллярного остеоснтеза мы рассматриваем. Обсуждается
> еще одно предложение - удаление сломанной пластины и аппарат
Вариант с аппаратом вполне рабочий, даже пластину можно не удалять, но - все известные минусы аппаратного лечения, плюс иной раз рефрактуры после снятия. Так что IMHO думать тут особо не о чем. Раз нет инфекции, то мы бы малоинвазивно убрали пластину и винты, да и заштифтовали бы с рассверливанием, динамически сразу. Раз уже делали через колено - то новй канал тогда и не делать.
Успехов!
|
[
Ответить ]
|
Re: Несращение бедренной кости
Отправитель: Александр Артемьев 24 Сентябрь 2006, 22:10
|
Много всего наговорили...
Усложнили Вы всё с пластиками, переходом одного остеосинтеза на другой и пр...
Надо выйти из этой ситуации с наименьшими усилиями.
Вижу несколько вариантов.
1. Запретить нагрузки, перейти на костыли, возможно - наложить лонгету. Через 2-3 мес - всё срастется.
2. Самый простой внешний остеосинтез - монолатеральный по наружной поврехности. Два винта сверху, два снизу - соедините планкой от аппарата. Результат в те же сроки.
3. Интрамедуллярный остоеосинтез - если ещё не наигрались...
Начните с простого, честное слово...
С уважением Александр Артемьев
|
[
Ответить ]
|
Re: Несращение бедренной кости
Отправитель: Alexaander Chelnokov 25 Сентябрь 2006, 00:37
|
> Усложнили Вы всё с пластиками, переходом одного остеосинтеза на другой и пр...
Эт точно.
> Надо выйти из этой ситуации с наименьшими усилиями.
Это если главное сейчас видеть в том, чтобы не перегреться от усилий.
Если же основная задача видится в том, чтобы максимально быстро обеспечить независимость пациента с опороспособной и функционально пригодной конечностью, причем без риска рефрактур, то предпочтения в выборе тактики могут поменяться.
> 1. Запретить нагрузки, перейти на костыли, возможно - наложить
[...]
> аппарата. Результат в те же сроки.
Оба этих пути как минимум отсрочивают нормальное использование конечности и независимость пациента на месяцы, а то и желаемый результат опять могут не обеспечить, плюс создать проблемы с движениями в колене.
> 3. Интрамедуллярный остоеосинтез - если ещё не наигрались...
Саша, у нас на сегодня более 60 интрамедуллярных остеосинтезов после неудач накостного - люди не просто ходят, а выходят на работу через 6-8 недель после реостеосинтеза.
> Начните с простого, честное слово...
Если пациент готов "лечиться, лечиться и лечиться", то выжидательная тактика оправдана.
|
[
Ответить ]
|
|
Re: Несращение бедренной кости
kostya 23 Сентябрь 2006, 17:27
|
Remove plate; reaming with wide enoupgh nail will be the best option.
|
[
Ответить ]
|
Re: Несращение бедренной кости
дмитрий бондарь 25 Сентябрь 2006, 00:46
|
Здравствуйте,коллеги!Был отлучен от Сети,потому и не мог отвечать.У меня была подобная проблема(правда без перелома пластины),писал на форум,около 2 мес назад,получил массу советов.Пластину убрал ,НО...нарвался на два осумкованных гнойника около 3-5 мл гноя в каждом возле проксимального и дистального концов пластины,а клиники(болей ,температуры,СОЭ, и т.д.)небыло вообще.Поставил АВФ(гибрид).Клиент пока ходит.Вопрос:а если убирать из мини-доступа,можно ли решить подобные проблемы?
С уважением Д.Б.
|
[
Ответить ]
|
Re: Несращение бедренной кости
Отправитель: Alexaander Chelnokov 25 Сентябрь 2006, 02:22
|
> НО... нарвался на два осумкованных гнойника около 3-5 мл гноя в каждом
> возле проксимального и дистального концов пластины, а клиники(болей,
> температуры, СОЭ, и т.д.) не было вообще. Поставил АВФ(гибрид). Клиент
Если продолжения истории с гноем нет, то можно и штифтовать уже.
> Вопрос:а если убирать из мини-доступа,можно ли решить подобные проблемы?
Делается несколько разрезов по 0,5 см для отвинчивания винтов, то есть пунктируется область по длине пастины. Плюс при удалении делается разрез побольше (или даже два, если пластина сломана), так что все жидкое, что было около пластины, вытекает.
Вообще, вопрос касается интересной проблемы. Последнее время даже при отсуствии клиники воспаления мы берем посевы с удаляемых иплантатов, и в половине случаев что-то сеется, Обычно штифтуем тут же, т.е. результаты узнаешь через 5-7 дней. Вздрагиваешь, прочитав, но обычно уже к этому сроку все благополучно заживает. Сложнее, когда после удаления пластины приходится накладывать аппарат на пару недель для восстановления оси-длины. И через неделю получаешь эту бумажку с культурой. Решиться на внутреннюю фиксацию бывает моральнно труднее. Но ориентируемся все же на клинику, а не на анализы.
Недавно при удалении пластинки из проксимального отдела бедра высеяли аж Cl.perfringens. Причем, увидев, давжды посев повторил в последующие дни, ткнув до кости через рану - все то же. Рана (полноразмерная на этот раз, уж больно корявая пластина, и винты под крест) зажила спокойно. Со страху провели с неделю антибиотикотерапию по чувствительности. Коррекция шла 2 мес., а в аппарате пациент был 3 мес. Все-таки потом заштифтовали как обычно, т.е. одномоментно.
Антибиотики - на 3 суток абактал в/в, тоже по тем посевам. Посевы из глубины ран сделали, пришли стерильные. Прошло больше 2 мес., пока все тихо, тmфу x 3.
|
[
Ответить ]
|
|
( Ответить )
|
|