Ответить
|
Re: APC III pelvis advice
Adam Starr 27 Сентябрь 2006, 08:24
|
Hi Jeff,
I'm not sure I'd call it an APC 3. But whatever you call it, you still need to fix it, right?
I'd agree with the symphysis plate. That's what I'd do, too.
For the iliac wing, you could do the iliac fossa approach you described. I think there are a couple good articles on ORIF of "crescent" fractures - one by Joe Borelli and another by Chip Routt.
Plate fixation seems to yield predictable, good results.
At our place we would try to reduce it and fix it percutaneously, but this one would be a hard one to start off on. Bad place for you to
begin your learning curve.
-Adam
|
[
Ответить ]
|
Re: APC III pelvis advice
Отправитель: Jeff Brooks 27 Сентябрь 2006, 08:28
|
Thanks Adam - I agree it's not a pure APC (is there really such thing as a pure force vector strictly in the x,y or z plane?). I stand corrected. Maybe a hybrid APC (ext rot of L hemipelvis, symphysis disruption, ext rot of R anterior innominate) plus vertical shear as well with 3 or-so cm of cephalad migration of the R ilium. Maybe just "C-type".....
I agree the perc methods described by you and others would be tough to learn on this guy. maybe later, or on cadaver first!
My current plan is supine, ORIF symphysis with as close to AFT reduction as possible, then fix the R ilium via lat window Ilioing.
approach with lags in the solid crest bone, 2 plates (one along pelvic brim and one up on the inside of the crest), then, if I have good posterior reduction and can get a good view of the ICD on my lat sacral view with image, L side perc SI screw, if not then anterior L SI approach and 2 anterior plates.
Jeff
|
[
Ответить ]
|
|
Re: APC III pelvis advice
Bruce Ziran 27 Сентябрь 2006, 08:26
|
It almost looks to me like an extra-articular both column fx, in addition to the pelvic component. It has the typical triangular fragment and the OO view has a hint of the spur. You may be able to get it all with plates. I would consider fixing the crest first, then a long plate for both symph and iliac portion. SI may close with reduction of symphisis. Looks like the inferior portions are intact. I like your plan as well. You will probably solicit lots of opinion. Good luck. Look forward to post op view.
Bruce H. Ziran, M.D.
Director of Orthopaedic Trauma
St. Elizabeth Health Center
Associate Professor of Orthopaedic Surgery
Northeast Ohio Universities College of Medicine
|
[
Ответить ]
|
Re: APC III pelvis advice
Jeff Richmond 27 Сентябрь 2006, 08:31
|
One piece of advice-
I wouldn't "fix" the symphysis first- sometimes if the rotation is off you may have trouble anatomically reducing the remaineder. In this extra-articular fracture, it may not be so critical but don't make things harder than they are. I'd expose and clamp the symphysis as temporary fixation, leaving you the easy freedom to release the symphysis to move the anterior segment if need be.
Also- Adam's perc results are gorgeous (I've seen the pictures) but are very difficult to achieve and you need an awesome fluoro tech. You may be able to expose just the iliac fossa and anatomically reduce the wing and fix with
lag screws/plates at the level of the crest, and then what Adam would call the "LC-II screw"- a screw from the region of the AIIS into the posterior crest where you would put a supra-acetabular ex-fix....not a particularly
hard screw to shoot percutaneously-alternate between an obturator oblique to get the starting point and an iliac oblique to stay just above the
acetabulum.
Good Luck
|
[
Ответить ]
|
Re: APC III pelvis advice
Jeff Brooks 28 Сентябрь 2006, 20:10
|
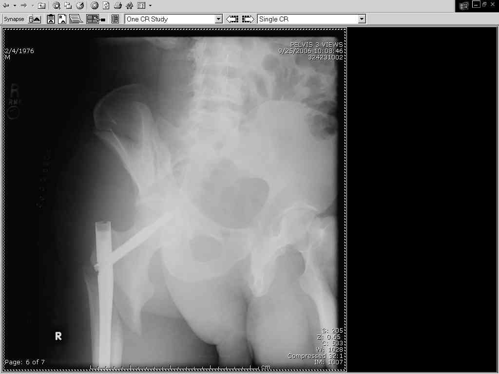
Here are the postop fluoros.

First exposed symphysis & clamped w/Faraboeuf as close to anatomic as possible.
Then extended to R ilioinguinal,really just the lateral window.
Reduced the triangular wedge piece of iliac wing to posterior intact ilium (crescent), held w/k-wire, then used 3-hole push plate to keep from moving, lagged from lat-med w 3.5 screw.
Then 6-hole plate along brim with 1 screw in R sacral ala. Then lagged 2 screws along crest A --> P. finally 10-hole plate along inner aspect of crest. R posterior ilium still a bit stepped off.
Symphysis then 'fine-tuned' & reduced as close as possible to anatomic (but, still with forward rotation of R hemipelvis - or, is it extension?) Accepted that amount of deformity and plated symph
with 4-hole symphyseal plate.
Fluoroed L SI joint and it seemed stable, but wide. So, applied c-clamp to try to squeeze down L SI joint (and note, on the last slide attached, that it's still wide), and got it closer. Single perc Iliosacral screw 40mm thread.
Applied second plate anteriorly on symphysis as I wasn't confident L SI was as stable as it could be and wanted to protect it better.
Thoughts? Thanks for the advice, it's appreciated.
Jeff
|
[
Ответить ]
|
Re: APC III pelvis advice
Отправитель: Sam Agnew 29 Сентябрь 2006, 08:03
|
Jeff
Thanks for posting this case and generating the thought processes therein, could you please explain the rationale behind dual plating of the symphysis? is this per your routine-if so why, and if not why did you feel it was necessary?
The mal-alignment that you indicated by the arrow in your photo of the ilium, do you have some idea as to how that occurred? was the crescent component locked in such a manner that it could not be moved?
I would recc. immediate revision of the subtroch mal-reduction, was there a reason for not doing that at the same setting and save the patient the now 3rd operation?
Thanks again
SGA
|
[
Ответить ]
|
Re: APC III pelvis advice
Отправитель: Jeff Brooks 29 Сентябрь 2006, 08:08
|
Sam -- great questions.
I'll address the question about 1 vs 2 symphyseal plates first, as it relates directly to the other question about the ilium. I'd love to hear Chip's thoughts on this since he's studied this quite a bit in his lab.
I know folks like MacAvoy et.al. studied 1 v 2 symph plates in cadaveric single-limb stance and couldn't detect a difference in stability between 1 v 2 plates (JOT 1997 11(8): 590-3). I think they
used a curved 6 hole sup vs same plus anterior 4 hole. Chip & Dr.
Simonian evaluated the "box plate" (2 4.5 2-hole interlocked) and showed that no other combo of 1 or 2 plates was as rigid, and amongst the 1 vs 2 plate constructs none was superior (1 vs 2 plates). (J Orthop Trauma. 1994 Dec;8(6):483-9.) They also subsequently looked at several new plates including Zimmer's (then) new biplanar plate and (in an APC model) couldn't show a significant advantage of dual plating (J Trauma. 1996 Sep;41(3):498-502. ) ........
But there is some evidence that I know of (although not as much) that maybe 2 plates is more stable - Hearn et.al. studied 12 combos of
fixation with SI dislocation and symphyseal disruption (Tile, Helfet & Kellam p 123 describes this non-medline-listed study), and the combo of 2 plates with any form of posterior fixation gave the greatest ring stiffness but only significant when compared with transiliac bars, not SI screws. (I think Schied & Kellam also found supportive evidence for dual-plating around 10-15 yrs ago, but I don't have that ref)
So, there I was with the aforementioned info on my mind, and my R iliac wing was a little malreduced. I think it's in residual extension and some external rotation, explaining the 5-6mm gap/step
on the posterior R iliac wing. (When I loooked at the inlet fluoro, the L obturator foramen was more visible than the R obt foramen, as was the R ischial spine) so it's not as stable as if it were
anatomic, despite all the metal. This came from hesitance to take down all the posterior paraspinals to really see the R posterior crest (where the malreduction is best seen on the iliac oblique view), and I could see the entire iliac fossa and most of the crest anyway.
Finally, the L SI joint seemed wide, even after closing it with c-clamp and iliosacral screw, so I added the extra 4 hole symphyseal plate anteriorly (even though to my knowledge unproven). That was the thinking and sequence of events that lead to the 2 symph plates shown. Note that the 4 hole recon is a locking plate (non-locked in medial 2 holes before locked screws in holes 1 & 4) -- fertile ground for debate on that I'm sure!
I'd love to hear others' comments on that sequence of events and decisions.
1) If the R ilium was a little malreduced, why not take off the plates and redo it anatomically, then the malreduction/rotation isn't transmitted around to the L SI joint, right?
a. --What about balancing the risks of the above of (longer surgery, more blood loss, higher infection rate, etc) that such revision would
have necessitated? (as it was the skin-to-skin time was long enough at~6hrs)
2) Is a wide L SI joint enough to open & plate, or struggle with longer for perc reduction?
3) Maybe I should have reduced & fixed the L SI joint before any of the rest so as not to be the late victim of crescent malrediuction?
4) After all, isn't the L SI the reduction of the three that is most critical to be anatomic?
a. -- Isn't the pt at risk of SI joint/low back pain necessitating SI fusion if SI joint is off?
Thanks to all who have commented/suggested/questioned.
Jeff
PS - as for the femur -- I had an idea about the malreduction in flexion, varus & ext rotation after seeing my colleague's postop fluoros from the nailing. I first recognized the actual magnitude of the malrotation after transferring the pt to the OR table for ORIF of his pelvis, and did not have consent for revision, among other
issues. I've since spoken with the first surgeon (who did the femur nailing) and we will address that, probably together, ASAP, but before the pt leaves the hospital.
|
[
Ответить ]
|
Re: APC III pelvis advice
Отправитель: Sam Agnew 01 Октябрь 2006, 19:55
|
Jeff
You certainly had a lot of confusing-confounding information to deal with while trying to devise this surgical tactic. I have almost always found it more logical and anatomically easier to perform the reduction beginning with the exit point of the injury-in this case the force started in the R ilium and progressed to and thru the (L) SI-to my assessment from the available history and radiographs, therefore empirically I would have reduced and stabilized the (L) side first and proceed to the point of impact (R) side in a sequential manner.
I am still confused by your logic espousing dual plating as you offer more evidence to the contrary then in support of it. Can you comment on the surgical dissection required to place two orthogonal plates and the gestalt as to how this could be good?
thanks again for the case
Samuel G. Agnew MD FACS
Orthopaedic Trauma
|
[
Ответить ]
|
Re: APC III pelvis advice
Отправитель: Jeff Brooks 01 Октябрь 2006, 20:23
|
Thank you Sam, for your comments. I'm grateful for this forum and exchange of ideas. What did people do before the internet, digital x rays, and email?!?
Interesting point about order of fixation. Thought-provoking.
Indeed there seems to be more evidence to the contrary re-dual plating, but in my opinion the limited anterior dissection isn't that much more (if at all), as I had already placed the pelvic reduction clamp anteriorly on 2 screws, and just placed the plate in those screw holes then added 1 more screw on either side. And, to my knowledge (which I admit is limited as I'm not as experienced as many who take care of these injuries), there is little or no harm to adding a second plate anteriorly.
Jeff
|
[
Ответить ]
|
Re: APC III pelvis advice
Отправитель: Chip Routt 01 Октябрь 2006, 10:56
|
Reduction sequencing can be complicated. It looked like on a few views that his left sided SI joint was actually completed disrupted but not so badly
displaced...on a few other views, it looked not so bad...usually the worst look is the reality.
Double plating of symphyseal injuries was initially advocated at a time when operative treatment of pelvic ring disruptions was quite difficult. There were no malleable plates designed to fit the pelvis but rather large fragment implants (and later some small fragment implants) were used. One early symphyseal operative recommendation was a 2 holed narrow DCP attached using 6.5mm cancellous screws. Remember, intraoperative C-arm imaging was primitive as were most surgeons' operative pelvic experiences. The posterior ring was something to be avoided and most described high complication rates with open posterior fixations.
Orthoganol (biplanar, "double") symphyseal plating was devised/advocated as a treatment method to "overpower" the symphysis in order to avoid posterior pelvic operative techniques. The anatomy was difficult, the experiences were minimal, the implants didn't fit, the published results of operative posterior fixation were frightening, intraoperative imaging was poor quality, correlating the pelvic osteology with intraoperative imaging was undescribed, and so on.
At the time, some experts recommended to just make the symphysis more rigid and the posterior ring injury could then be nursed along without surgery.
Mechanical testing of double symphyseal plating then was performed and found to have superior results to single plating...and the legend was born.
Some sustain it.
Here's the hook...the mechanical testing was performed with wide implant separation which applied a superior implant and a separate caudal, anterior implant. In clinical practice, the amount of soft tissue stripping needed to apply such a caudal, anterior plate (similar to the mechanical testing model) is quite extensive and impractical. What results are 2 so-called orthoganol implants which are placed without much distance between
them... the surgeon adds more fixation sites but loses the mechanical power achieved in the lab tests by implant separation.
Next came improved fluoroscopic imaging, more surgical experiences, osteology correlations which people understood and descibed, implants designed to fit the pelvis, mechanical and clinical data indicating the superiority of anterior and posterior ring injury site fixations, percutaneous techniques, cannulated implants, and on and on.
"Double" plating is what it is... at this point in time for most routine symphyseal injuries with associated posterior ring injuries, surgeons recognize that a single 6-8 holed 3.5mm pelvic reconstruction plate applied to the bone with well oriented screws and combined with stable posterior
ring fixation will yield clinically sufficient stability.
People worry though because they don't do it very often, they've seen some lecture somewhere that shows failures, they don't make the disconnect
between lab data/implant location and clinical data/reality of implant locations, among 400 other reasons... so most of us do what we know how to
do.
We've all had symphyseal failures using one plate, two plates, custom plates, etc...the symphysis is hard to hold and anterior fixations need a buddy in the back to help.
We tested many injuries and fixation constructs in our lab...Peter Simonian and Allan Tencer drove this research... but even our own info is clouded by the fact that cadaveric pelvic research is quite difficult because of the donor age/bone quality, modeling/simulating loading, etc.
So we're back to anecdote as always.
Here's what I know...
1. I've done one double plating in my life.
2. Early symphyseal failures very rarely occur, especially when the posterior injury is supported with some form of fixation.
3. Later symphyseal implant failures are not uncommon, are typically asymptomatic, and are usually unknown by the patient until they see the
follow up film... no great surprise, the symphysis has normal motion... implants fatigue.
4. Pelvic reduction sequencing is a complicated and multi-factoral process.
5. Pelvic surgery is hard but successful if performed early, if the reduction is very accurate, when the fixation is stable and durable, and when complications are avoided.
There's plenty more to discuss about your patient and what was done... if he heals without fixation failure or other complication, then it¹ll be fine-
Chip
|
[
Ответить ]
|
|
( Ответить )
|
|