вверх
отправить
поиск
админ
главная
|
Перелом таза - Рункову и всем-всем |
 |
 |
 |
Отправлено Александр Артемьев 27 Сентябрь 2006, 23:45 свои
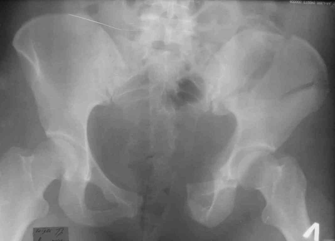
Женщина окло 30 лет, упитанная. Сочетанная травма 3 недели назад - сотрясение, ушиб груди (плюс пенвмония), мыщелок б/б (ерунда), самое тяжелое - таз.
<
|
>
|
|
Ответить
|
Re: Перелом таза - Рункову и всем-всем
Zubok 29 Сентябрь 2006, 14:10
|
ja by snachala sdelal fixateur extern kak pervichnuju stabilisaziju., potom CT - posmotret' chto tam s iliosdakral'nymi sustavami. Dalee - plastinu na Symphis i, vozmojno, arthodes Iliosakral'nogo sustava so spongiosoj iz Spina iliaca.
Udachi.
|
[
Ответить ]
|
Re: Перелом таза - Рункову и всем-всем
Cергей Ушаков 16 Сентябрь 2007, 17:24
|
для определения тактики лечения сделал бы КТ таза. В каком состоянии мочевыделительная система: нет ли повреждения уретры? использование АВФ мне кажется проблематичным т.к. имеется оскольчатый перелом крыла подвздошной кости слева(стержни в гребень вводить проблематично, в тело подвздошной кости- пациентка полная, имеет большой массв мягких тканей, по той же причине кольцевой аппарат будет причинять большие неудобства)предпочел бы открытую репозицию и фиксацию пластинами через подвздошный и надлобковый доступ.
|
[
Ответить ]
|
( Ответить )
|
|