ВХОД ДЛЯ ПАЦИЕНТОВ
вверх
поиск
админ
главная
|
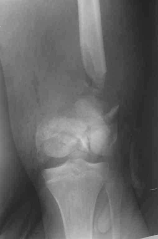
Внутрисуставной перелом бедренной кости |
 |
 |
 |
Прислано Ekaterina A. Ozerova 18 Октябрь 2006, 21:32
из
Уважаемые коллеги! Хотелось бы услышать ваше мнение по тактике лечения перелома бедра.
Пациент 17 лет. Травма 07.10.2006 - попал под грузовик. Рана на бедре зажила первичным натяжением. Мы рассматриваем следующие варианты: открытая репозиция + 1)остеосинтез аппаратом внешней фиксации; или 2)фиксация пластиной LCP. Ваши предложения? Как бы вы поступили с имеющимся дефектом бедренной кости?
Екатерина Анатольевна Озерова
Обратите внимание: Поля с жирными названиями обязательны.
Старайтесь отвечать в рамках обсуждаемой темы, а не начинать новые обсуждения.
Указывайте адекватную тему сообщения, чтобы было ясно, о чем оно.
Не послайте сообщений не по теме (оффтопик), раздраженных, грубых или обидных комментариев. Здесь это неуместно.
|