Ответить
|
Re: Перелом диафиза и мыщелка бедра
Alexander Chelnokov 26 Октябрь 2006, 23:39
|
То есть оперировать уже можно. Какие планы обсуждаются на месте? Что именно вызывает разногласия? Что доступно в Ваших условиях?
Лучше бы уточнить характер повреждения наружного мыщелка бедра, есть ли его фронтальное раскалывание. Мы бы сделали репозицию мыщелка (если получится, то закрыто) с фиксацией спонгиозными винтами.
Не получится закрыто - наружный парапателлярный доступ, открытая репозиция, винты. И сделали бы закрытый интрамедуллярный остеосинтез бедра антгерадно. Если есть возможность, лучше использовать гвоздь, который позволит провести винты через мыщелок, т.е. очень близко к
дистальному концу.
Вполне возможен и ретроградный остеосинтез бедра, особенно если все-таки придется открывать сустав.
|
[
Ответить ]
|
Re: Перелом диафиза и мыщелка бедра
В.Машталов 27 Октябрь 2006, 18:56
|
Привет Александр,
Мышелок бедра репонировать открыто (степень открытости по ситуации) ввести гвоздь ретроградно, мышелок зафиксировать блокирующими винтами плюс дополнительно метафизарными при установленном гвозде.
Если надо подкину инструмент по Дфн "Остеомед"
звони.
В. Машталов
|
[
Ответить ]
|
Re: Перелом диафиза и мыщелка бедра
Inspector 28 Октябрь 2006, 01:08
|
После окончательного заживления раны снять аппарат наложить вытяжение дней на 5-7, посмотреть как ведут себя раны от стержней. Одномоментное снятие аппрата с забиванием гвоздя чревато, сколько, кстати он уже стоит?
Выждав, немного, сделал бы антеградный интрамедуллярный остеосинтез. Насчет того, чтобы винты, фиксирующие мыщелок являлись одновременно блокирующими не согласен - далековато гвоздь забивать придется. Хотя не уверен на 100%
|
[
Ответить ]
|
Re: Перелом диафиза и мыщелка бедра
Отправитель: Alexaander Chelnokov 28 Октябрь 2006, 12:42
|
I> После окончательного заживления раны снять аппарат наложить вытяжение
I> дней на 5-7, посмотреть как ведут себя раны от стержней. Одномоментное
I> снятие аппрата с забиванием гвоздя чревато,
Это интуитивные опасения, или есть конкретный клинический материал, который показал высокий уровень осложнений при одномоментной смене наружного фиксатора на стержень?
I> сколько, кстати он уже стоит?
Если гноя у спиц-стержней нет даже при сроке в аппарате 6-12 мес., смена по крайней мере на бесканальный титановый штифт относительно
безопасна, глубокая инфекция по нашим данным (~150 таких операций) около 4%.
I> Насчет того, чтобы винты, фиксирующие мыщелок являлись одновременно
I> блокирующими не согласен - далековато гвоздь забивать придется.
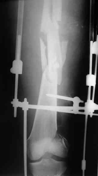
А в чем проблемы? Пример в приложении.

|
[
Ответить ]
|
Re: Перелом диафиза и мыщелка бедра
Отправитель: Inspector 28 Октябрь 2006, 20:07
|
Конкретного клинического материала, который показал высокий уровень осложнений при одномоментной смене наружного фиксатора на стержень нет, потому что мы так никогда не делаем. Я не так давно работаю, но пока что эта тактика оправдывает себя. В обзорах тоже этого не нашел (что касается бедра, про голень-то много говорят).
К чему гонка? 5-7 дней можно выждать. Если человек попадет в эти 4%, заплатив за гвоздь, как ему объяснить потом развитие остеомиелита с последующими последствиями?
Насчет снимка Вами представленного - смотрится оч красиво, еще бы на функцию узнать...
|
[
Ответить ]
|
Re: Перелом диафиза и мыщелка бедра
Отправитель: Alexaander Chelnokov 28 Октябрь 2006, 22:43
|
I> нет, потому что мы так никогда не делаем. Я не так давно работаю, но
I> пока что эта тактика оправдывает себя.
"Если других туфель не видел, так и наши ничего" (c)Жванецкий. :-) Не обижайтесь, ради бога. Ситуация понятная, это очень распространенная точка зрения не только в xUSSR.
I> К чему гонка? 5-7 дней можно выждать.
В аппарате человек мог ходить без костылей, себя обслуживать. А снимем аппарат - госпитализировать и держать на вытяжении? А на нем можно так длину потерять, что потом в операционной одномоментно вспотеешь восстанавливать. Если даже ткани неспокойны, мы предпочитаем удалить подозрительные, и ввести новые стержни и спицы, но оставить пациенту если не полностью достигнутый уровень активности, то хоть чтоб передвигался.
I> Если человек попадет в эти 4%, заплатив за гвоздь,
Если пользоваться отечественными, которые как раз титановые и сплошные, то у нас, например, их администрация закупает, и даже если пациенту платить придется, то не $1000, а раз в 10 поменьше.
I> как ему объяснить потом развитие остеомиелита
После отсроченного остеосинтеза у нас было больше проблем с инфекцией, ~15%. Возможно, материал не очень однородный, будем дальше анализировать и набирать.
I> Насчет снимка Вами представленного - смотрится оч красиво, еще бы на
I> функцию узнать...
В приложении функциональные снимки в 3 мес. и в 1 год.

|
[
Ответить ]
|
|
Re: Перелом диафиза и мыщелка бедра
Максимов Сергей 29 Октябрь 2006, 04:13
|
Уважаемый Александр, если есть возможность, для уменьшения хирургической агрессии, первым этапом проведите артроскопию коленного сустава, оцените состояние опорной поверхности мыщелка бедра. По результатам артроскопии решите вопрос о необходимости артротомии и открытой репозиции. Артроскопию лучше проводить "на аппарате", возможно дополнительное расширение щели для лучшего осмотра. Возможности закрытой коррекции перелома мыщелка за счет лигаментатаксиса маловероятны (сроки), но не исключены (под контролем артроскопа и ЭОПа). Кроме того артроскопия позволить оценить состояние КСА сустава, хряща, менисков (профилактика неожиданностей в будущем), санация сустава - плюс для реабилитации.
Если планируется ретроградное введение штифта, то лучше использовать для осмотра центальный "скандинавский" порт.
Удачи! Сергей.
|
[
Ответить ]
|
Re: Перелом диафиза и мыщелка бедра
Отправитель: Alexaander Chelnokov 29 Октябрь 2006, 11:12
|
МС> осмотра. Возможности закрытой коррекции перелома мыщелка за счет
МС> лигаментатаксиса маловероятны (сроки), но не исключены (под контролем
МС> артроскопа и ЭОПа).
Не обязательно ограничиваться лигаментотаксисом, вполне можно навводить "джойстиков" (спиц и/или стержней) в мыщелок, и манипулировать под контролем ЭОП и артроскопа, а может, и через сустав манипулятором чего-то поддавить можно. Единственое "но" - все эти технические достижения доступны далеко не во всех даже крупных учреждениях.
МС> Если планируется ретроградное введение штифта, то лучше использовать
МС> для осмотра центальный "скандинавский" порт.
Это где такой? И почему именно он?
|
[
Ответить ]
|
|
Re: Перелом диафиза и мыщелка бедра
Максимов Сергей 29 Октябрь 2006, 23:59
|
Насколько я знаю, в КККБ есть артроскопия (?). Проблема, как правило, не отсутствие техники или технологии, а в согласование действий. Слишком "узкие" иногда специалисты даже в пределах одной специальности.
Центральный порт - артроскопический доступ через собственную связку надколенника.
С уважением, Сергей.
|
[
Ответить ]
|
( Ответить )
|
|