AOTRAUMA.ORG Центр Илизарова  

Ортопедия и травматология Общие вопросы/General questions Help Информационные технологии в медицине
 ВХОД ДЛЯ ПАЦИЕНТОВ
 вверх
 поиск
 админ
 главная


Гексаподный аппарат Илизарова/ Hexapod Iliazrov external fixator
Ортопедия и травматология Прислано Яков Одесский 06 Ноябрь 2006, 15:04
из
Уважаемые коллеги ! Позвольте представить Вам "Гексаподный аппарат Илизарова"
Dear colleges! I would like to present an Ilizarov Hexapod Apparatus.
Гексапод представляет собой кинематический механизм, реализующий движения в 3-х мерном пространстве с помощью изменения длины 6-и стержней, закрепленных к 2-м платформам. Этот механизм хорошо известен в технике и применяется для имитации полётов, к примеру.
The Hexapod represents the kinematic mechanism that realizes the three dimensional movements by different lengths of the six distractors connected to the two platforms. It's well known in technique and uses for imitation of flying and other machines.


Эта система была впервые представлена в Гамбурге 11 лет назад и разработана доктором Сейде и профессором Волтером.
The system has been developed in Germany and first presented at the Ilizarov meeting in Hamburg in 1995 by Dr. K. Seide and prof. Wolter.


Гексапод сет для аппарата Илизарова состоит из 6-и телескопических стержней с переменной длиной от 105 до 240 мм, 6-и У-образных адапторов, измерительной линейки и компьютерной программы.
The Hexapos set for Ilizarov apparatus consists of six telescopic distraction rods of varying length from 105-240 mm, 6 Y-adaptors, a measuring stick and the software.


6 telescopic distraction rods


6 Y - adaptors

Software

Measuring stick
Y-sобразные адапторы подходят для всех размеров и типов колец аппарата Илизарова и свободно распределяются по кольцам. Шаровидное соединение адапторов с телескопическими стержнями придает прочность системе.
The Y- adaptors can be utilized with all types of the Ilizarov rings. It is possible to place the adaptors freely along the rings as necessary. The connection between the Y-adaptors and the distraction rods is through a universal ball and socket joint.


Программа очень проста и не требует подключения к интернету. Базовые данные включают размеры колец, положение У-адапторов на кольцах и размеры дистракционных стержней. После введения в компьютер этих данных, программа выдает положение проксимального кольца относительно дистального.
The software is very simple to use and does not need any connection to the Internet. The base data needed includes the diameter of the upper and lower rings, the positions of the Y adaptors on each ring and the length of the distraction rods. After the input of this data into the computer, the program shows the initial position of center of the upper ring in relation to the lower.


Середина дистального кольца является центром отсчёта,
From this point, all adjustments are made with specific reference to the central point of the lower ring, since this ring remains in a static position.


относительно этой точки вводится в программу место расположения оси исправления деформации или репозиции и их величины последовательно во всех плоскостях относительно 3-х осей в 6-и степенях свободы.
All adjustments can be in three planes. The CORA is entered in relation to the center of the distal ring and the desired correction entered into the computer. The software then makes the appropriate adjustments for deformity correction consistently for each plane according to the plan developed on the basis of the malalignment test along three axes with six degrees of freedom.


После соответствующей обработки, компьютер выдаёт программу, дающую возможность с точностью до 1 градуса и 1 мм. производить закрытые манипуляции с фрагментами!!! Коррекционный план включает время коррекции, её частоту в соответствии с выбором хирурга. Каждая цифра на плане означает количество кликов на соответствующем дистракционном стержне, каждый клик составляет 0,1 мм.
The software displays a plan for correction detailing the steps according to the surgeons input of the number of days and steps desired. The numbers on the slide enumerates the number of clicks on each specific distractor necessary to obtain the desired correction. Each click is a 0.1mm length of distractor.


Кроме того, компьютер выдаёт окончательную длину стержней и изменения между кольцами, так что можно следить за процессом коррекции без дополнительных рентгеновских снимков, только по измерению длины стержней.
Beyond this, the software determines the final length of the distractors and the changes between the rings so that the progress and changes can be monitored to assure that the changes have occurred appropriately along the scheduled plan.

Нет необходимости накладывать Гексаподный сет на операционном столе. Его установка и снятие занимает около 15 минут, безболезненное.
There is no necessity to establish Hexapod in operation room, it application and removal is quick, taking only about fifteen minutes for each procedure, and is pain-free.

После окончания коррекции сет можно снять и установить другому пациенту. Так, к примеру, имея только 2 сета в течение первого года, мною проведены 21 коррекция.
After removal, it is possible to put it to the following patient, thus, having 3-4 Hexapod sets it is possible to treat consistently big number of patients. I, for example for a year having 2 sets, have applied them 21 times.

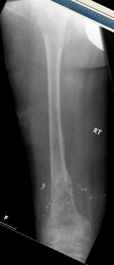
Выше приведены рентгенограммы 13-летнего подростка, страдающего от огнестрельного многооскольчатого перелома дистальной трети бедра. AO наружный фиксатор наложенный в день травмы не дал приемлемой редукции. Через три недели после перелома аппарат Илизарова был наложен без попытки одномоментной репозиции на операционном столе.
There are X-Rays of a thirteen year old boy with a comminuted distal femur fracture secondary to a gunshot wound, initially treated with an AO external fixator. The alignment was unacceptable and an Ilizarov external fixator was applied three weeks after the injury. No attempt of definitive reduction was made during the surgery.


Гексаподная приставки наложена на 10 дней и приемлемая редукция была получена.
The Hexapod set was applied for ten days and acceptable reduction was received.

По окончанию редукции Гексаподный сет был снят и дальнейшее ведение больного проходило в стандартном режиме аппарата Илизарова. Хороший анатомо-функциональный результат был получен.
When reduction was finished, the Hexapod set was removed and further management has been continued by standard Ilizarov regime. Good anatomic and functional results were achieved.


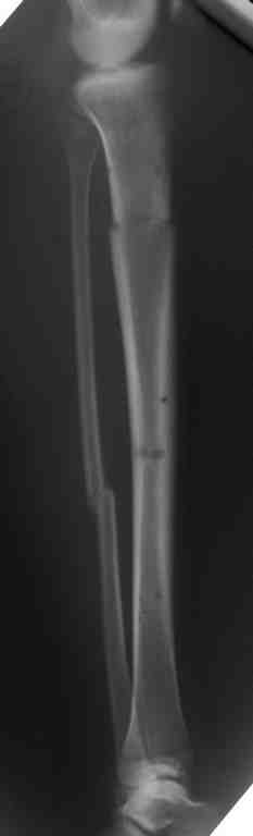
Выше представлены рентгенограммы открытого оскольчатого перелома нижней трети голени
X-rays of Compound Comminuted # Distal/3 Lt Tibia


Операционные снимки перед и после наложения аппарата Илизарова
In operation room before and after Ilizarov apparatus has been applied


Послеоперационные рентгенограммы
Postoperative X-rays


В нижнем ряду представлены рентгенограммы после окончательной репозиции.
And final reduction after Hexapod program has been finished

Одновременное и точное исправление многоплоскостной деформации является очень важным моментом, который трудно даётся при применении аппарата Илизарова, особенно при сочетании с ротационной деформацией. В этом случае гексаподный аппарат Илизарова незаменим.
Simultaneous and exact correction of multilane deformities combined with rotation is very important and difficult to accept at application of Ilizarov apparatus. In these cases Ilizarov hexapod apparatus is irreplaceable.

Представлены фотографии и рентгенограммы 21летней девушки, страдающей от bilateral leg malalignment syndrome.
The next figure shows pictures and x-rays of 21 y.o. female with bilateral leg malalignment syndrome


Перед лечением.
Before treatment


После деротации левого бедра и голени.
After derotation osteotomy of lt femur and tibia


Результат
The final result after derotation osteotomies of rt femur and tibia.


В верхнем ряду показаны рентгенограммы до, после коррекции и после снятия аппарата Илизарова.
On the upper row the X-rays of lt leg before correction, after correction and after apparatus removal have been showed.



В нижнем ряду представлены два снимка после коррекции деформации правой голени. Видно, что качество коррекции не зависит от квалификационного наложения аппарата Илизарова, что было специально произведено для проверки работы программы.
Lower two X-rays – rt leg after deformity correction. As you can see the quality of correction does not depend of placement of Ilizarov Apparatus

Добавление Гексаподной приставки к аппарату Илизарова сохраняет его независимость и универсальность, позволяя достигнуть более точной и аккуратной коррекции деформации посредством компьютерного обеспечения. Этот метод простой, лёгкий и экономически эффективный. Я настоятельно рекомендую его к широкому применению!!!

The addition of the Hexapod set to standard Ilizarov fixator preserves the independence and universality of the original system while enabling precision accurate corrections of deformity through its software support. It is simple, easy and economically effective. And I recommend it for use very much.

Послать ответ

Имя
Email
Уведомление Сообщить мне по e-mail об ответах на это сообщение
Название
Комментарий
(Проверьте URL! Не забудьте написать http://!)
Кодировка
Если не знаете, что выбрать, выберите "Просто текст"!
Приложение
Можно приложить к сообщению файл c изображением, который затем будет доступен увидевшим сообщение.
Подготовка иллюстраций:
  • Рентгенограммы: черно-белые полутоновые изображения в формате JPEG (8 bit, greyscale) с разрешением от 300х200 до 1024х768 пикселов;
  • Клинические фотографии: полноцветные изображения в формате JPEG (24 bit, truecolor) с разрешением от 300х200 до 1024х768 пикселов;
  • Схемы и рисунки: черно-белые (2 bit) штриховые (line-art) изображения в формате GIF или compressed TIFF
  • Подберите степень сжатия файла JPEG и размер изображения таким образом, чтобы необходимые детали были различимы, но размер файла не превышал 75 кб.
  • Учтите, что текущая версия программного обеспечения Форума позволяет приложить к одному сообщению лишь один файл-вложение. Поэтому, если необходимо отправить несколько изображений, можно либо послать каждое как отдельное сообщение, либо в графическом редакторе объединить изображения в одно (сделать коллаж).
  • Если при подготовке изображений встречаются трудности, не стесняйтесь обратиться к координатору Форума.

  • Введите видимые символы в обратном порядке. Enter the above characters in reverse order (*Обязательно)
    В тексте сообщения можно использовать теги HTML <B> <I> <P> <A> <LI> <OL> <UL> <EM> <BR> <TT> <HR> <STRONG> <BLOCKQUOTE> <DIV .*> <DIV> <P .*>
  • Обратите внимание: Поля с жирными названиями обязательны.
  • Старайтесь отвечать в рамках обсуждаемой темы, а не начинать новые обсуждения.
  • Указывайте адекватную тему сообщения, чтобы было ясно, о чем оно.
  • Не послайте сообщений не по теме (оффтопик), раздраженных, грубых или обидных комментариев. Здесь это неуместно.
  • Powered by Zope  Squishdot Powered MedLink
    Посетитель: 0000028
      "По форме правильно, а по существу - издевательство" В.И.Ленин
    ©2001-2019Orthoforum Coordinator.
    [ Главная | Отправить сообщение | Поиск | Админ ]