Ответить
|
Re: WRIST FLEXION CONTRACTURE
Sudhir Warrier 19 Ноябрь 2006, 14:12
|
Dear Cherian,
Please dont go about excising bone to get a correction in this case! He is only 11 years old!
Distraction is ideally suited for such instances. The UMEX fixator is perfect. Light and yet strong. Erected on smooth pins and with differential distraction and gradual angular (manual) correction, the wrist and the finger deformities will most certainly correct to a great extent. ((A computer modified model picture of the frame is attached)

The synostotic bridge must be excised (along with preventive measures to try and prevent a recurrence) at the time of the application of the frame.
Reassess the situation at the time of the frame removal. Maintain the correction in a plaster (not a removable splint, which most certainly will be removed! resulting in inevitable "recurrence") and finally long term splinting and mobilization will be needed.
I usually release the volar skin and subcut tissues until I reach tendon/nerve/vascular sheaths, which are not tampered with. Split skin grafts can cover the raw areas created from this release. This reduced the strain on the fixator, reduces distraction period and allows distraction to act on tissues trying to bridge a gap (much in the same way as the Ilizarov lengthenings where as nature tries to bridge two yearning bone ends, the surgeons teasingly pulls them further apart making nature work harder to achieve the objective!)
The corrections achieved are always more supple than excision and fusion and flaps etc.
Functional enhancement may require further procedures (including "touch ups" as Dr BB Joshi would call the further corrections of incompletely corrected deformities or the procedures for the stubborn ankylosed joints that dont yield to distraction).
Well, finally the statutory warning: If you are not familiar with distraction deformity correction, please call in someone experienced. These are the most difficult ones needing complex frames and frequent minor modifications as correction proceeds.
Not the same age and not the same etiology, I understand, but all the same,
A case in point:

Etiology: Post burns contractures of the hands and the wrists Time elapsed since episode: 9 months In frame time: 7 weeks follow up after 4 years (his son had a compound supracondylar femoral fracture and he brought him to us for treatment from approximately 1600 kms away!)
Sudhir Warrier
Hand and Reconstructive Orthopedic Surgeon
Laud Clinic . Lilavati . Jaslok . LH Hiranandani . Shushrusha . Sir HN Hospitals
|
[
Ответить ]
|
Re: WRIST FLEXION CONTRACTURE
Alexander Chelnokov 19 Ноябрь 2006, 14:27
|
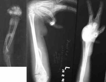
> 11 yr old boy. Post traumatic wrist flexion contracture of 90
> degrees and stfiif little and ring finges but other fingers mobile. Poor dorsal skin.
> What can be done?
Just remember the recent ASAMI meeting in Kyoto you attended ;-)
and it may provide you enough motivation to apply a circular frame with hinges, and perform gradual correction of the hand position. For this step i can't see any reason to touch the dorsal skin - tissue tension will be happened at the palmar side. Maybe later if there is a skin-tendon scar.
> a radioulnar synostosis is present middle third tibia
8-[ ]
|
[
Ответить ]
|
Re: WRIST FLEXION CONTRACTURE
Odessky Jacob M.D. 20 Ноябрь 2006, 03:25
|
Dear Cherian. Before to begin treatment it is necessary to be convinced, that sensitivity is kept.
It▓s an ideal case for the closed correction with Ilizarov Hexapod Apparatus or Taylor Spatial Frame!!! Both of these devices have the virtual hinge and allow precision correction from position of palmar flexion. Classical Ilizarov apparatus as can be applied. The problem that Wrist joint has two axes, therefore installation of the one hinge can occur a subluxation. To avoid, it is necessary to do x-rays every 10 degrees of correction. As to the techniques shown by dear doctor Sudhir Warrier, in his interesting presentation, I▓d like to notice, that correction at the given device is not possible according to an axis of a joint since attitudes between the device and an axis of a joint vary after the beginning of correction.
The special attention should be given to function of the fingers, probably in the end you have to make operation on lengthening of flexors tendons by tendon graft.
Yours faithfully!
Уважаемый Cherian. Прежде, чем начинать лечение надо убедиться, что чувствительность сохранена
Это идеальный случай для закрытого выведения с помощию Гексаподного аппарата Илизарова или аппарата Тейлора!!! Оба эти аппарата имеют виртуальный шарнир и позволяют при правильной его установке точно вывести кисть из положения пальмарной флексии. Классический аппарат Илизарова так же может быть применён, проблема в том, что кистевой сустав не имеет одной оси, их две, поэтому при установке одного шарнира может произойти подвывих. Чтобы этого избежать, необходимо делать снимки каждые 10 градусов коррекции.
Что же касается техники, показанной уважаемым доктором Sudhir Warrier, в его интереснейшей призентации, позволю себе заметить, что коррекция при данном аппарате не возможна в соответствии с осью сустава, т.к. отношения между аппаратом и осью сустава меняются после начала коррекции.
Особое внимание надо уделять функции пальцев, возможно в конце придёться произвести операцию на сухожильях - сгибателях - удлинение с помощью сухожильного графта.
С уважением!
|
[
Ответить ]
|
Re: WRIST FLEXION CONTRACTURE
Отправитель: Sudhir Warrier 21 Ноябрь 2006, 02:40
|
Dear Odessky Jacob,
A few points and observations:
I have no experience with the Hexapod or the Spatial frames.
I really think we try to simplify the wrist by assigning it a center of rotation (one or two)! The complex movements at the radio-carpal,
inter-carpal and carpo-metacarpal joints formed by bones of varying sizes, shapes and function and servicing dissimilarly sized and shaped fingers
cannot be replicated by placing a hinge or two in a constrained frame.
The distraction frame we use is used to linearly distract the deformities. The angular correction is achieved by dismantling the connecting
rods/distraction rods and performing a manual correction. This correction will proceed along the articular surfaces of opposing bones and will be as near-natural as possible. The distractors are re-assembled and further linear distraction is carried out. And the procedure is repeated until
complete or satisfactory correction is achieved.
Having said that, I must admit that there are many ways to skin a cat!
I must also add that Dr Cherian has not mentioned about the status of the nerves and the function of the tendons. From the looks of the clinical picture, the flap overlies the volar structures which obviously must have been involved. The first web and the MCP joints of the index and middle
fingers also seem to need attention. These can all be simultaneously corrected as the wrist with the UMEX frame by using the extended hand frame
components. I do not embark on tendon surgery until maximum correction has been achieved AND considerable passive and active mobilization/splintage is done. An assessment at this stage will tell us the possibilities and the
requirements. Tendon / nerve surgery can then be planned more meaningfully.
Sudhir Warrier
Hand and Reconstructive Orthopedic Surgeon
Laud Clinic . Lilavati . Jaslok . LH Hiranandani . Shushrusha . Sir HN
Hospitals
|
[
Ответить ]
|
|
( Ответить )
|
|