ВХОД ДЛЯ ПАЦИЕНТОВ
вверх
поиск
админ
главная
исходное
|
Re: К вопросу об удалении металлоконструкций
послал Алексей Минервин 14 Декабрь 2006, 10:38
|
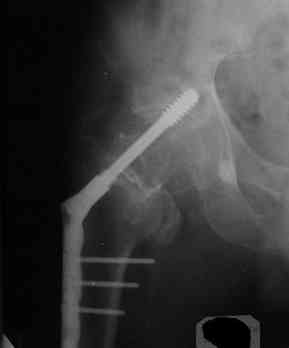
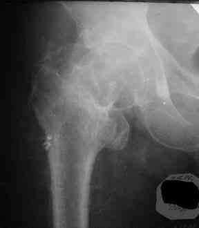
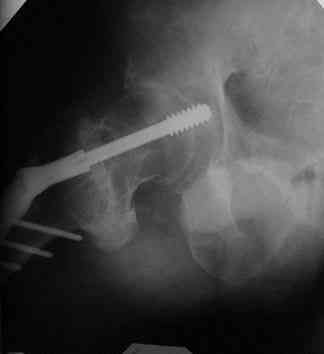
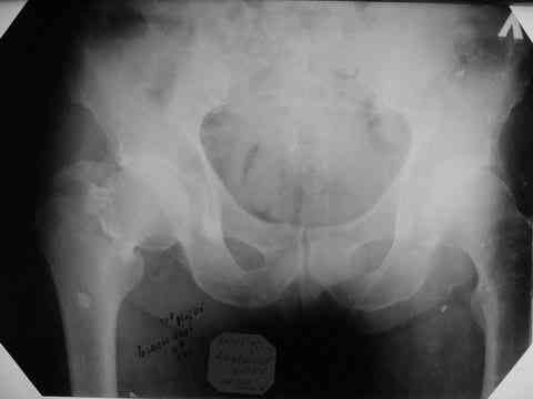
Все-таки хочу поделиться раз затронулась тема, может кому-нибудь и сгодиться. Это пример из области скорее трудноудаляемой. Пациент 50 лет, травма (низкоэнергетическая) 1,5 года назад. Оперирован через неделю (винт отечественный). Через 4 месяца выполнен контрольный снимок, сразу же возник вопрос: почему винт не телескопировался? Вопрос в общем-то так и остался без ответа.
При удалении (наркоз) после неимоверных усилий пришлось выкрутить фиксатор единым блоком и только тут все встало на свои места. См. фото.

Грустно+ Вот какие сюрпризы преподносят иногда коллеги.
С уважением А.Минервин.
|
| Послать ответ |
Обратите внимание: Поля с жирными названиями обязательны.
Старайтесь отвечать в рамках обсуждаемой темы, а не начинать новые обсуждения.
Указывайте адекватную тему сообщения, чтобы было ясно, о чем оно.
Не послайте сообщений не по теме (оффтопик), раздраженных, грубых или обидных комментариев. Здесь это неуместно.
|