вверх
отправить
поиск
админ
главная
|
ренальная остеодистрофия и двусторонний перелом шеек бёдер |
 |
 |
 |
Отправлено Пулатов А.Р. 05 Декабрь 2006, 15:57 Уралиский НИИ травматологии и ортопедии
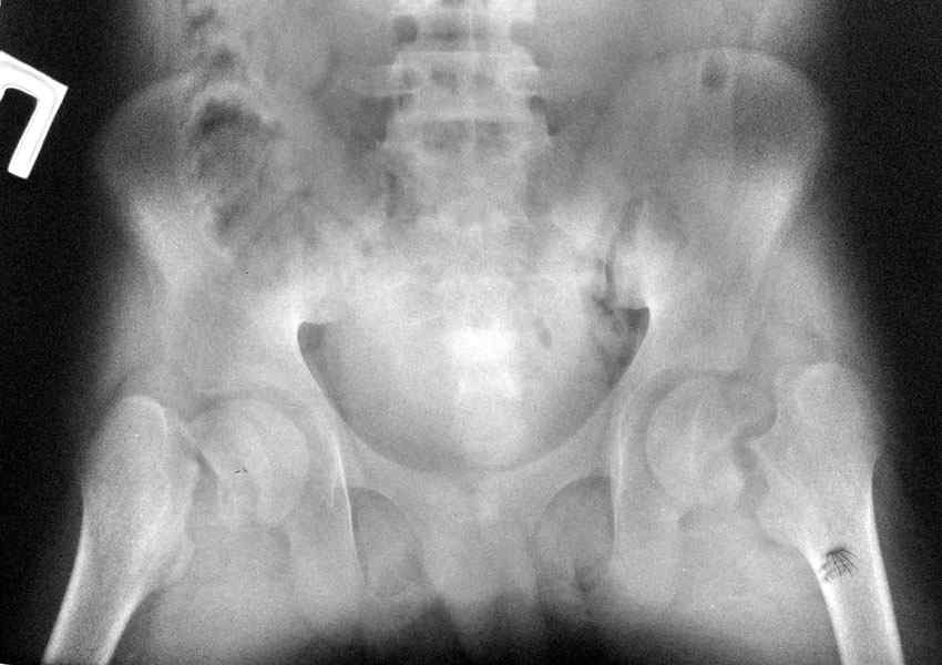
Больной 14 лет с врождённой аномалией развия почек. Уретрогидронефроз справа. Вторично сморщенная почка.ХПН терминальная стадия. На фоне гемодиализа двусторонний трансцервикальный перелом бёдер.
 В течении 6 мес. по настоящее время скелетное вылежение по м.ж. в областном городе. В настоящее время проводится терапия в составе: гемодиализ 3,5 часа 3 раза в неделю, Кальций Д3 никомед, Альфа Д3 0,25 мкг ежедневно,+ терапия вторичной гипертензии. Непростая ситуация, Уважаемые коллеги, у кого, какое мнение по этому поводу? Пулатов А.Р. УНИИТО
<
|
>
|
|
Ответить
|
Re: ренальная остеодистрофия и двусторонний перело
Anton Vakulenko 08 Декабрь 2006, 23:11
|
А какой прогноз по основному заболеванию? Какая ожидаемая продолжительность жизни при такой патологии почек?
С уважением,
А. В. Вакуленко
Клиника эндопротезирования суставов
|
[
Ответить ]
|
Re: ренальная остеодистрофия и двусторонний перело
Отправитель: Пулатов А.Р. 18 Декабрь 2006, 10:56
|
Сложно сказать, идёт ремиссия, при условии наблюдения и лечения - долго. Но вот вопрос, как поставить больного на ноги. Сам я думаю, оперировать пока нельзя, для начала надо использовать ходунки (с колёсами) и поддежкой промежности.
С уважением Пулатов А.Р.
УНИИТО
|
[
Ответить ]
|
|
Re: ренальная остеодистрофия и двусторонний перело
Alexander Rykov 09 Декабрь 2006, 16:40
|
Крах. Симптоматическая терапия пока до решения ситуации с ХПН. Шансы на пересадку почки есть? А. Рыков.
|
[
Ответить ]
|
Re: ренальная остеодистрофия и двусторонний перело
Myles Clough 18 Декабрь 2006, 11:54
|
Ask the treating medical team what his life expectancy is. If it is short why not do joint replacements? If it is normal then I would do a bone scan to make sure the femoral heads are still alive. Assuming they are, I would do an open reduction, bone graft, subtrochanteric osteotomy and fixation with a blade plate (as you have shown us in the past)
Myles Clough MD FRCSC DPhil
Orthopaedic Surgeon
Kamloops, British Columbia
Clinical Instructor, University of British Columbia, Dept of Orthopaedics
|
[
Ответить ]
|
( Ответить )
|
|