ВХОД ДЛЯ ПАЦИЕНТОВ
вверх
поиск
админ
главная
исходное
последующие
|
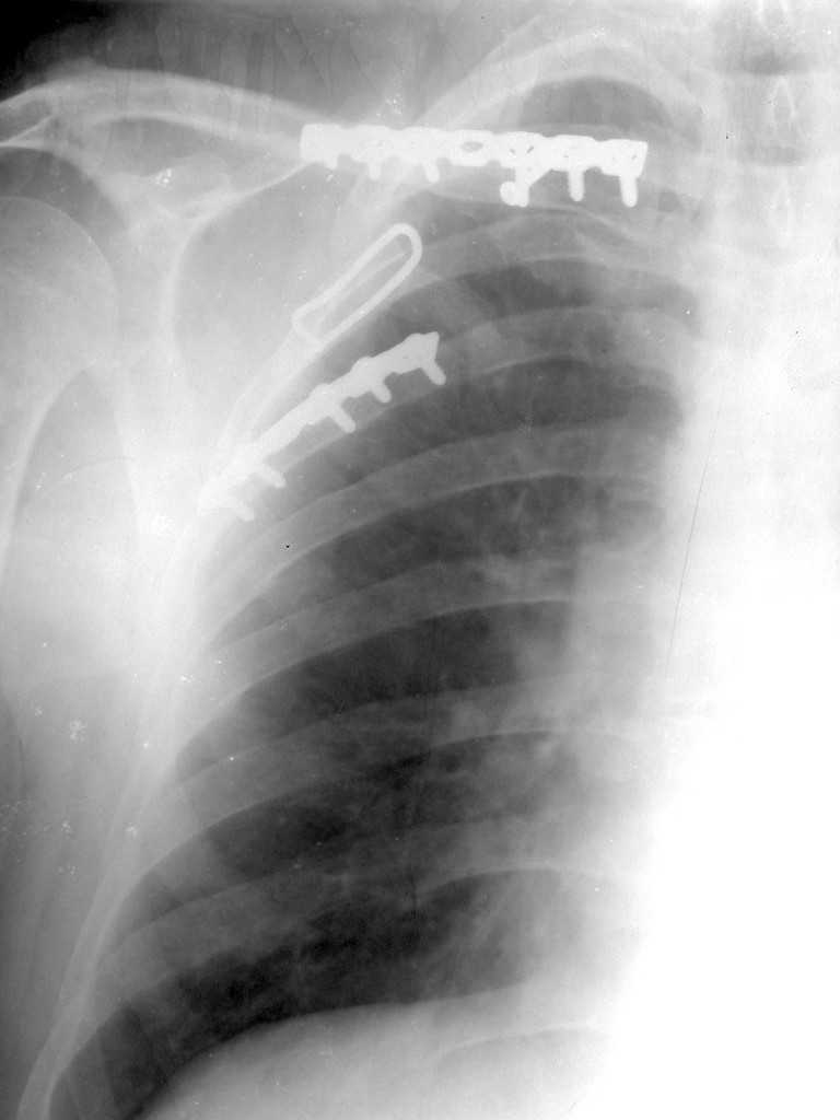
Re: Перелом лопатки, ключицы, ребер
послал А.МИронов 12 Декабрь 2006, 20:10
|
Здравствуйте Виталий Геннадьевич!
К сожелению доктор который занимается грудной клеткой в отпуске, у себя нашёл только вот этот снимок

С Уважением А.Миронов
|
| Послать ответ |
Обратите внимание: Поля с жирными названиями обязательны.
Старайтесь отвечать в рамках обсуждаемой темы, а не начинать новые обсуждения.
Указывайте адекватную тему сообщения, чтобы было ясно, о чем оно.
Не послайте сообщений не по теме (оффтопик), раздраженных, грубых или обидных комментариев. Здесь это неуместно.
|