вверх
отправить
поиск
админ
главная
|
Нестабильность вертлужного компонента эндопротеза |
 |
 |
 |
Отправлено batal 16 Декабрь 2006, 14:50 3 ЦВКГ имени А. А. Вишневского
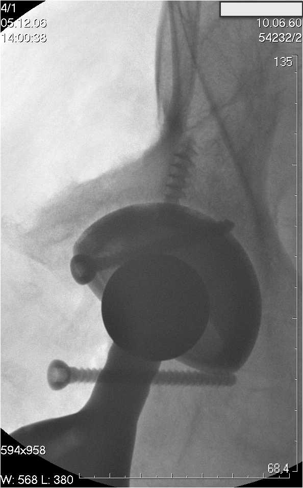
Уважаемые коллеги.В 3 Центральный Военный Клинический Госпиталь имени А. А. Вишневского, что в Красногорске, Московской области, в отделение эндопротезирования крупных суставов поступил пациент 1960 года рождения Жалобы при поступлении: на боли в области левого тазобедренного сустава (больной указывает на точку расположенная в середине условной линии между седалищным бугром и большим вертелом), усиливающиеся в начале ходьбы, при опоре на левую ногу с иррадиацией болей по наружной и наружно-задней поверхности левого бедра, левый коленный сустав; снижение объема движения в левом тазобедренном суставе, снижение опорной способности левой нижней конечности, хромоту на левую ногу, необходимость использования дополнительной опоры (костыли) при ходьбе, снижение объема двигательной активности из за болей в суставе.В анамнезе: Со слов больного, согласно медицинских документов, в 1989 году получил травму левой нижней конечности: закрытый перелом левой вертлужной впадины с центральным вывихом головки левой бедренной кости. Лечился консервативное. В процессе лечения сформировался посттравматический артроз, укорочение левой нижней конечности до 5 см. 25.04.2005 года в Подольском Окружном Госпитале Министерства Обороны выполнено: одномоменто, остеосинтез заднего края вертлужной впадины фрагментом резецированной головки бедренной кости и тотальное эндопротезирование левого тазобедренного сустава бесцементным эндопротезом "VERSIS ET" с бесцементной чашкой TRILOGY. Послеоперационный период осложнился ранним нагноением области эндопротеза, в результате санаций очага инфекции и антибиотикотерапии, активного промывного дренирования антисептиками, послеоперационная рана зажила. После операции, со слов больного, через два месяца в полном объеме стал нагружать левую нижнюю конечность. В течение полгода, после операции чувствовал себя вполне удовлетворительно. С марта 2006года стал отмечать появление болей в области тазобедренного сустава, то в области паха, то в области левой ягодицы. С августа месяца отмечает те жалобы, с которыми он сейчас к нам обратился. Температура тела, после заживления раны, нормальная. В анализах крови, лейкоциты около 7 тыс, формула нормальная, СОЭ 12 мм ч. Локально: при осмотре обеих нижних конечностей, анатомическая ось конечности не нарушена; отмечено относительное укорочение левой н\конечности на 1.5 см., гипотрофия мышц левого бедра 3 см, голени 2 см, симптом. Объем движений в тазобедренных суставах: правый~ сгибание- 60 гр, разгибание-180 гр ,отведение- 35 гр, левый~ сгибание- 110 гр , разгибание-170 гр , отведение-15 гр. Контуры других суставов н/конечностей обычные, объем движений в них не страдает. Пульсация на артериях конечностей удовлетворительная. Неврологические нарушения конечностей отсутствуют, рефлексы на обеих н/конечностях одинаковые, чувствительных нарушений нет. Осевая нагрузка на левую нижнюю конечность вызывает боль в точке расположенная в середине условной линии между седалищным бугром и большим вертелом. Отмечается пигментация и пастозность нижней трети обеих голеней и стоп, характерная для посттромботической болезни. На Цветном дуплексном сканировании сосудов нижних конечностей: Нестенозирующий атеросклероз обеих бедренных и подколенных артерий . Гемодинамически значимых препятствий кровотоку в магистральных артериях ног не выявлено. Глубокие и поверхностные вены нижних конечностей проходимы. Умеренная недостаточность клапанов подколенных вен. Данных за тромбоз глубоких вен на момент осмотра не получено.А вот что пишет наш рентгенолог: На серии рентгенограмм области левого тазобедренного сустава определяется тотальный бесцементный эндопротез. Вокруг тени чашки эндопротеза определяется ободок остеорезорбции. Кроме того, визуализируется деформированный костный винт фиксирующий консолидированный отломок вертлужной впадины, вплотную прилегающий к тени чашки эндопротеза. Заключение: Рентгеновские признаки нестабильности чашки тотального эндопротеза. Лучевая нагрузка: 6 мЗв. У нас в отделении разошлись мнения: начальник мой утверждает, после сравнения снимков, принесенных больным от августа и октября 2006года и наших рентгенснимков, что у больного нет нестабильности вертлужного компонента, и что надо назначит курс консервативной терапии: препараты кальция, миакальцик, увеличить осевую нагрузку на левую нижнюю конечность, ЛФК направления на укрепление мышц бедра, ягодиц, физиолечение. А я утверждаю, что у больного клиника нестабильности вертлужного компонента, и необходима ревизия вертлужного компонента, не исключено даже наличие инфекции под чашкой эндопротеза (не смотря на отсутствие клинических признаков инфекции). В результате проводимой консервативной терапии, боли у больного усилились. Помогите рассудить нас, мы готовы выслушать ваши мнения по этому поводу. С уважением Батал Шушания.3 ЦВКГ имени А. А. Вишневского
<
|
>
|
|
Ответить
|
Re: Нестабильность вертлужного компонента эндопро
Тарас Рокита 17 Декабрь 2006, 09:42
|
Пишет Вам коллега из Киева. В подобных случаях мы выполняем сканирование радиоизотопным Тс. В данном случае, я думаю, идет речь о нестабильности ацетабулярного компонента,возможно,инфекционного генеза. Думаю,можно рискнуть и выполнить замену впадины на механическую большего размера.
|
[
Ответить ]
|
Re: Нестабильность вертлужного компонента эндопро
Отправитель: batal 17 Декабрь 2006, 22:59
|
Боюсь,ридиоизотопное сканирование не будет информативнее вышепоказанных рентгенснимков,и не поможет в принятии решения. Я уверен, то что накопление изотопа будет во всем тазобедренном суставе. Шушания Батал.
|
[
Ответить ]
|
|
Re: Нестабильность вертлужного компонента эндопротеза
Vladimir Xudobin 18 Декабрь 2006, 01:35
|
Ув. Коллега.Четких рентгенологических признаков нестабильности вертлужного компонента действительно нет. Здесь, кроме нестабильности, можно искать причину в поясничный отдел позвоночника(Hip-spain синдром - всё-таки 15 лет ходил с укорочением),либо сделать спиральный КТ и посмотреть, нет ли несращения в области старого перлома вертлужной впадины. Зачастую ложные суставы подвздошной, седалищной, а иногда и лонной костей являются причинами несостоятельности эндопротезов.
|
[
Ответить ]
|
Re: Нестабильность вертлужного компонента эндопро
Рашид Муртузалиевич Тихилов 18 Декабрь 2006, 13:29
|
Уважаемый д-р Батал,
Ситуация не столь однозначная как Вам это видится. По подробно описываемой клинике с большей вероятностью речь идет о проблемах
поясничного отдела позвоночника. Есть зона остеолиза вокруг чашки, но как правило, дополнительный винт держит чашку достаточно хорошо, и даже при наличии микроподвижности, это не сопровождается столь ярким болевым синдромом. Поэтому, я бы сделал следующее: МРТ позвоночника, пункцию ТБС для исключения инфекционного процесса. Ревизию рассматривал бы как крайний вариант, учитывая выполненную костную пластику и отсутствие явных признаков нестабильности.
С уважением, Р.Тихилов
|
[
Ответить ]
|
Re: Нестабильность вертлужного компонента эндопро
Отправитель: batal 18 Декабрь 2006, 19:23
|
Рашид Муртузалиевич, спасибо за то что вы нашли время на изучение данного случая и за быстрый Ваш отклик.
Сегодня мы еще раз разбирали данного больного и мы согласны с Вами, что ревизия самый крайний вариант.А пока консервативно: разгрузка конечности, лечебная физкультура, препараты кальция с вит Д, миакальцик. МРТ поясничного отдела позвоночника в плановом порядке, но невропатолог не настаивает на данном исследовании, так как при подробном неврологическом осмотре клинических данных за повреждение ветвей седалищного нерва не найдено. Рекомендована электромиография основных стволов левого седалищного нерва. С уважением Шушания Батал.
|
[
Ответить ]
|
Re: Нестабильность вертлужного компонента эндопро
Отправитель: Anton Vakulenko 19 Декабрь 2006, 18:25
|
Скажите пожалуйста, какой диагноз был установлен на клиническом разборе и какую цель Вы преследуете назначая данное "консервативное" лечение?
Разве где-то обосновано применение этих препаратов в лечении болевого синдрома неясного генеза после эндопротезирования?
Если нет проблем с позвоночником, то в чем Вам видится причина болевого синдрома через 1,5 года после операции? В абсолютном большинстве случаев
в такие ранние сроки это:
1) перипротезная low-grade deep infection
2) асептическая нестабильность (при наличии грубых интраоперационных ошибок или non-compliance пациента)
В любом случае, какой смысл в препаратах кальция и разгрузке сустава?
Разве это может привести к "самоукреплению" нестабильного (и весьма вероятно инфицированного) импланта?
С уважением,
А. В. Вакуленко
Клиника эндопротезирования суставов
|
[
Ответить ]
|
|
Re: Нестабильность вертлужного компонента эндопро
Anton Vakulenko 19 Декабрь 2006, 11:18
|
> Послеоперационный период осложнился ранним нагноением области
> эндопротеза, в результате санаций очага инфекции и антибиотикотерапии,
> активного промывного дренирования антисептиками, послеоперационная
> рана зажила.
Заживление послеоперационной раны после такого лечения еще ни о чем не говорит. Скорее всего, с помощью антибактериальной терапии процесс
просто был переведен в стадию глубокой ремиссии...
Тактика ведения пациента:
1) Пункция сустава (желательно под контролем ЭОПа).
2) При бактериальном росте пунктата - Girdlestone или спэйсер с
антибиотиками согласно посеву.
3) При отрицательных результатах пункции - ревизия сустава, в ходе
которой при обнаружении явных признаков инфекции см. п. 2. При
отсутствии таковых - выполнить замену вертлужного компонента.
PS. Как Вам и советовали, предварительно сделайте МРТ позвоночника и исключите вертеброгенный компонент болевого синдрома. Однако даже
наличие изменений в позвоночнике не исключает периротезной low grade infection. :(
Пожалуйста, информируйте нас о дальнейшей судьбе этого пациента...
--
С уважением,
А. В. Вакуленко
Клиника эндопротезирования суставов
|
[
Ответить ]
|
Re: Нестабильность вертлужного компонента эндопро
Отправитель: batal 19 Декабрь 2006, 22:25
|
уважаемый коллега, Антон Вакуленко. Спасибо за четкий, расписанный по пунктам план действий. При поступлении пациента в отделение, я думал точно как вы. Но на следующий день, выполнил многопроеционное рентгенисследование, показал невропатологу, и доложил начальнику отделения о больном.После разбора пришли к следующему, да у больного действительно нестабильность вертлужного компонента, есть зона лизиса в месте костного аутотрансплантата, а в месте фиксаци чашки деротационным винтом четко выраженный контакт чашки с костной тканю. Мы пришли к выводу,что лизис костного аутотрансплантата из за осевой перегрузки на фоне незавершенного ремоделирования (вес больного 130 кг). Потому мы и приняли план вышеуказанного лечения. Провели беседу с больным, больной согласился с нами. Через 3-6 месяцев мы оценим эффективность лечения и доложу. Возможно и придется тогда идти на ревизию с заменой только вертлужного компонента а может и придется удалить весь эндопротез с установкой спейсера.. посмотрим.....
Спасибо всем за участие!!!!С уважением Батал Шушания.
|
[
Ответить ]
|
Re: Нестабильность вертлужного компонента эндопро
Отправитель: Anton Vakulenko 20 Декабрь 2006, 22:36
|
> уважаемый коллега, Антон Вакуленко. Спасибо за четкий, расписанный
> по пунктам план действий. При поступлении пациента в отделение, я
> думал точно как вы.
Первое впечатление зачастую самое верное! :)
> многопроеционное рентгенисследование, показал невропатологу, и
> доложил начальнику отделения о больном.После разбора пришли к
> следующему, да у больного действительно нестабильность вертлужного
> компонента, есть зона лизиса в месте костного аутотрансплантата,
> а в месте фиксаци чашки деротационным винтом четко выраженный
> контакт чашки с костной тканю. Мы пришли к выводу,что лизис
> костного аутотрансплантата из за осевой перегрузки на фоне
> незавершенного ремоделирования (вес больного 130 кг). Потому мы и
> приняли план вышеуказанного лечения.
Боюсь показаться нудным и навязчивым, но все равно не могу не спросить!.
Вы встречали в авторитетных журналах (JBJS, J Arthroplasty etc) или серьезных монографиях (Steinberg, Сallaghan etc) рекомендации по лечению
нестабильности имплантата "лечебной физкультурой, препаратами кальция с вит Д, миакальциком". Лично я не встречал. Почему? Думаю, что ответ Вы и
сами знаете... :)
> больной согласился с нами. Через 3-6 месяцев мы оценим
> эффективность лечения и доложу. Возможно и придется тогда идти на
> ревизию с заменой только вертлужного компонента а может и
> придется удалить весь эндопротез с установкой спейсера..
> посмотрим.....
> Спасибо всем за участие!!!!
Всегда рады помочь!..
P.S. С моей точки зрения было бы большой ошибкой (учитывая нагноение раны в п/о периоде) не выполнить больному пункцию сустава (крайне
желательно под ЭОПом). Также не мешает проверить и С-реактивный белок. Этот простой тест более чувствителен, чем СОЭ и формула крови.
С уважением,
А. В. Вакуленко
Клиника эндопротезирования суставов
|
[
Ответить ]
|
Re: Нестабильность вертлужного компонента эндопро
Отправитель: Alexaander Chelnokov 20 Декабрь 2006, 23:25
|
АВВ> желательно под ЭОПом). Также не мешает проверить и С-реактивный белок.
АВВ> Этот простой тест более чувствителен, чем СОЭ и формула крови.
При наличии 1-2 эндопротезов при каких показателях СОЭ надо уже встревожиться?
|
[
Ответить ]
|
Re: Нестабильность вертлужного компонента эндопро
Отправитель: Anton Vakulenko 20 Декабрь 2006, 23:28
|
Тут все очень сильно зависит от срока с момента операции. СОЭ может до года оставаться повышенной. Вообще-то, мы не очень на СОЭ внимание
обращаем. Очень уж это неспецифичный тест. На практике мы реагируем, когда СОЭ больше 15 мм/ч (при отсутствии других причин для его повышения).
А вообще, как я уже говорил, для скрининга инфекции лучше применять С-реактивный белок. Его в норме должно быть не более 5 мг/л (но границы
нормы от лаборатории могут зависеть).
|
[
Ответить ]
|
Re: Нестабильность вертлужного компонента эндопро
Отправитель: Alexaander Chelnokov 20 Декабрь 2006, 23:31
|
Спасибо!
Интересно, этими же цифрами можно руководствоваться и про другие импалнтаты?
|
[
Ответить ]
|
|
Re: Нестабильность вертлужного компонента эндопротеза
Vladimir Xudobin 19 Декабрь 2006, 23:07
|
Ув.Коллега. Ещё раз прошу обратить внимание на моё первое сообщение. Посмотрите литературу по Hip-spain синдрому, тогда поймёте о каком процессе у больного может идти речь. Касаемо септической или асептической нестабильности у таких больных то речь может идти о динамическом процессе сначала асептическая, потом септическая нестабильность, если были или есть на то причины. Однако клиника ,описанная Вами не укладывается в септическую нестабильность, впрочем, как и в асептическую. Консультация невропатолога это хорошо, но думаю качество её (как и у большинства невропатологов по нашей патологии) недостаточно. Причём тут повреждение седалищного нерва, если речь идёт о корешковом сегменте L3-L5. Мы в свое практике используем нейрохирургов, которые более компетентны в вертебрологии (за неимением нормальных вертебрологов). Без исключения патологии позвоночника Вы не будете знать, что реабилитировать - спину или конечность (т/б сустав в частности). На что сделать акцент, что разгружать (может, поясницу). Кстати, зачастую такие пациенты на "поясницу" не жалуются, а на рентгенограммах и MRT грубые изменения, требующие оперативного вмешательства на поясничном отделе.
В.Худобин
|
[
Ответить ]
|
Re: Нестабильность вертлужного компонента эндопротеза
Отправитель: batal 21 Декабрь 2006, 17:43
|
Уважаемый Владимир. Я бы с удовольствием выполнил бы МРТ поясничного отдела, у нас их даже два аппарата. Но вес его не дает возможности, 135 кг, сегодня взвешивал. Меня с отделения магниторезонансной погнали, кагда я уведомил их о весе больного. Интересно, конечно, я передал невропатологу это сообщение, он будет его повторно смотреть.....посмотрим.
Спасибо, за Hip-spain, не знал я про это....
С уважением Шушания Батал.
|
[
Ответить ]
|
|
( Ответить )
|
|