Ответить
|
Re: Продолжая тему "синтез лодыжек"
Савранский Александр 20 Декабрь 2006, 01:18
|
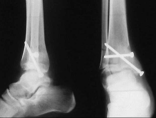
На мой взгляд в первую очередь стоит наложить аппарат Илизарова и дать хорошую дистракцию,если через несколько дней на контроле отломки "тянутся",то можно дозированно вывести таран из подвывиха и устранить смещение малоберцевой-она явно не срослась.
В том случае,если репозиция недостаточна можно из небольшого кожного разреза долотом остеотомировать медиальный кортикал большеберцевой.
Винты при необходимости выкрутить-они больше мешают,чем приносят пользу.
|
[
Ответить ]
|
Re: Продолжая тему "синтез лодыжек"
Алексей Семенистый 20 Декабрь 2006, 01:32
|
Приветствую.
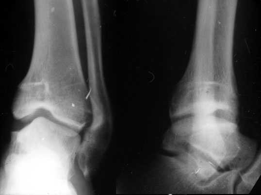
Скорее это перелом пилона 43В
представляю
> сегодняшние снимки. Главный вопрос : что делать?
Оперировать. Остеотомия, исправлять ось. Вопрос чем фиксировать? Зависит от того, чем владеете, что у вас есть в отделении, что может себе позволить пациент.
Я бы фиксировал пластинами LCP: 1\3 трубки на м\б и метафизарную 3,5/4,5/5,0 или DMT на б\б...
Но можно гвоздем, можно и аппаратом...
С уважением, А.Семенистый.
ГКБ 13, Москва.
|
[
Ответить ]
|
Re: Продолжая тему "синтез лодыжек"
Отправитель: Дрягин В 20 Декабрь 2006, 18:40
|
Без сомнения поддерживаю А Семенистого.Необходимо выполнить остеотомию большеберцовой кости низкую, поэтому помимо синтеза нар.лодыжки пластиной 1/3 трубки я бы запланировал синтез большеберцовой кости клевером LCP.Результат будет лучше.В аппарате потеряете оставшийся объём движений.С уважением
|
[
Ответить ]
|
Re: Продолжая тему "синтез лодыжек"
Отправитель: Alexander Chelnokov 20 Декабрь 2006, 23:55
|
ДВ> остеотомию большеберцовой кости низкую, поэтому помимо синтеза
ДВ> нар.лодыжки пластиной 1/3 трубки я бы запланировал синтез
ДВ> большеберцовой кости клевером LCP.Результат будет лучше.
Аппаратом можно сделать все минимально инвазивно и травматично, вырастить клиновидный регенерат после чрескожной остеотомии через один или два разреза 0,5 см. В приложении похожий по локализации случай, только более давние последствия травмы с замыканием части зоны роста, деформация побольше, плюс укорочение голени было.

ДВ> В аппарате потеряете оставшийся объём движений.
Движения стра дают в основном из-за сквозного прошивания передней группы мышц. На диафизе в аппарате поэтому лучше вводить стержни с
передне-внутренней стороны. И движения еще в аппарате будут приличные.
|
[
Ответить ]
|
Re: Продолжая тему "синтез лодыжек"
Отправитель: Алексей Семенистый 21 Декабрь 2006, 02:08
|
ДВ> остеотомию большеберцовой кости низкую, поэтому помимо синтеза
ДВ> нар.лодыжки пластиной 1/3 трубки я бы запланировал синтез
ДВ> большеберцовой кости клевером LCP.Результат будет лучше...
ACh>Аппаратом можно сделать все минимально инвазивно и травматично, вырастить клиновидный ACh>регенерат после чрескожной остеотомии через один или два разреза 0,5 см.
ДВ>В аппарате потеряете оставшийся объём движений.
ACh>И движения еще в аппарате будут приличные.
Господа, товарищи! А сколько время потеряет врач с аппаратом! Время больного это его личное дело. А время врача оно ближе к телу, Время - деньги!
|
[
Ответить ]
|
Re: Продолжая тему "синтез лодыжек"
Отправитель: Alexaander Chelnokov 21 Декабрь 2006, 17:12
|
Померять однозначно сложно. Зато операция с аппаратом проще и быстрее. Провел-собрал-через прокол рубанул-1 шов-иди отдыхай. А открыто - и клиновидный дефект одномоментно может получиться большой, и очень короткий дистальный отломок фиксировать не очень будет удобно, потом на итоговых снимках вдруг обнаружится, что уголок не совсем такой, как планировали... Про другие возможные проблемы вспомнить можно...
Есть возможность аппаратом все исправить, а потом перейти на внутреннюю фиксацию.
|
[
Ответить ]
|
Re: Продолжая тему "синтез лодыжек"
Отправитель: Дрягин В. 21 Декабрь 2006, 19:03
|
Уважаемый Александр то что вы показали это интересно, но это два разных случая. В ваших снимках большая деформация, которая требует выращивания массивного регенерата, поэтому здесь согласен лучше аппарат, а представленном случае дефект будет небольшой поэтому накостный синтез решит все проблемы за 2 недели без ключей 8*10 в течении 3-5 месяцев.Зачем себе создавать головную боль.
С уважением
|
[
Ответить ]
|
Re: Продолжая тему "синтез лодыжек"
Отправитель: Alexaander Chelnokov 21 Декабрь 2006, 19:05
|
Согласен, тут деформация меньше, но все-таки заметная, почти 20 градусов. Я бы устранял ее как на приложенной картинке.

При таком варианте с аппаратом все легко и просто. С пластиной - должны быть трудности. Может быть, следовало бы планировать коррекцию как-то иначе? Как?
|
[
Ответить ]
|
Re: Продолжая тему "синтез лодыжек"
Отправитель: Дрягин В. 22 Декабрь 2006, 13:43
|
Думаю, что больше нет вариантов Автор сам выберет, чем он владеет лучше. С уважением
|
[
Ответить ]
|
|
Re: Продолжая тему "синтез лодыжек"
Djoldas Kuldjanov, M.D. 22 Декабрь 2006, 23:47
|
Перелом пилона сопровождается "компактированием метафиза" в дистальном отделе. Поэтому при фиксации переломов, после дистракции большеберцовой, очень важно провести замещение метафизарного "дефекта" костными или синтетическими заполнителями.
Без замещения дефектов из-за отсутствия опоры, переломы, со временем срастаясь, имеют тенденцию деформироватся в варус.
Медиальная подпорка "buttress technique" пластиной после пластики или хотя бы медиальная наружная фиксация более адекватны для удержания перелома, чем медиальные шурупы.
Для "рекондиции" мягких ткани и полной консолидации перелома необходимо подождать пару месяцев, потом можно приступить к реконструкции.
Из остеотомии предпочитительно, тактика "внеочаговой остеотомии".
Нежелательно остеотомию провести в очаге процесса, "несращения" нижней остеотомии часто встречается при реконструктивных операциях, поэтому немного выше, чем место сросшего перелома, где-то на уровне конца медиального шурупа (шурупы можно убрать), и еще с большим дистальным отрезком выгодно и удобно работать при манипуляции.
Для фиксации и восстановления высоты большеберцовой, подойдут гибридные аппараты внешней фиксации: классическая Илизаровская
компоновка, гексапод, аппарат Тэйлора, OrthFix, кто чем владеет и что имеет.
Для сохранения движения, проксимально и спереди стержни вместо спиц, потому что они менее травматичны для мышц и "не прошивают" их.
Можно лечить и одномоментно, медиальными пластинами угловой стабильности и замещением (добавлением костного клина).
В информационном сайте продуктов компании Synthes имеется случай применения ChronOs и медиальной пластины при высокой остеотомии.
При отсустствии высокотехнологических материалов и в просторах СНГ, где аппараты ставят с закрытыми глазами, можно было остановится на аппарате Илизарова.
Djoldas Kuldjanov, M.D.
|
[
Ответить ]
|
Re: Продолжая тему "синтез лодыжек"
дмитрий бондарь 23 Декабрь 2006, 21:11
|
Коллеги , поздравляю всех с наступающим Новым годом и желаю счастья , здоровья , успехов ! Чтоб заживало и срасталось ! Благодарю всех за обсуждение . решил остановиться на аппарате с остеотомией Делать думаю после праздников (срок будет около 4 месяцев). Два вопроса : Что лучше сделать с наружной лодыжкой и при помощи чего Александр Николаевич нарисовал такой симпатичный рисунок ? (TraumaCad ? )
С уважением Д.Б.
|
[
Ответить ]
|
Re: Продолжая тему "синтез лодыжек"
Отправитель: Alexander Chelnokov 24 Декабрь 2006, 10:30
|
> после праздников (срок будет около 4 месяцев). Два вопроса: Что лучше
> сделать с наружной лодыжкой и при помощи чего?
Пока провести спицу через обе кости ниже уровня остеотомии большеберцовой. Если малоберцовая не срастется к моменту снятия аппарата, вернуться к этому вопросу.
> нарисовал такой симпатичный рисунок ? (TraumaCad? )
;-) Фотошоп.
|
[
Ответить ]
|
|
( Ответить )
|
|