вверх
отправить
поиск
админ
главная
|
Перелом шейки бедра, выявленный после штифтования диафиза |
 |
 |
 |
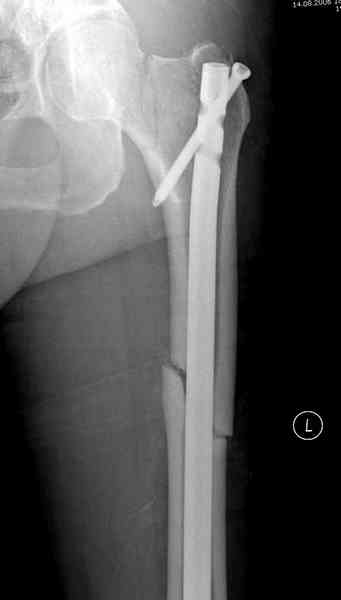
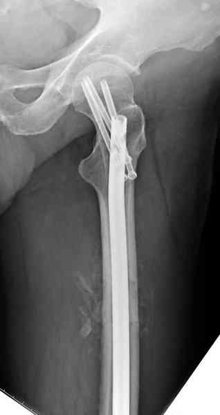
Отправлено Исмаил Гаджиевич 22 Декабрь 2006, 23:10 Травматологическое отделение г. Сергиев Посад
С наступающим Новым 2007 годом! Желаю успехов в работе, здоровья вам, родным и близким.Оперировали диафизарный перелом бедра у тяжелого больного(после АРО, с анемией, с нарушениями свертывания). Снимка В\3 бедра до операции не было, штифт пробит ретроградно без проблем. После операции: гемоглобин 86, прошло 6 дней. Смущала отечность в В\3 бедра, на рентгенограмме вот такая "новость". Как выйти из этой ситуации? Вытащить штифт, посадить пластину на С\3, а на В\3 углообразную пластину после коррекции (остеотомии) не позволяет состояние больного. А есть смысл ввести мимо штифта компрессирующие винты под рентген-контролем? Ваши предложения? Заранее благодарю.
<
|
>
|
|
Ответить
|
Re: Нужен совет
Алексей Семенистый 23 Декабрь 2006, 08:22
|
> рентгенограмме вот такая "новость". Как выйти из этой ситуации? Вытащить штифт, посадить
> пластину на С\3, а на В\3 углообразную пластину после коррекции (остеотомии) не позволяет
> состояние больного.
Даже если бы и позволяло состояние больного, делать этого ни в коем случае не надо. Какая коррекция (остеотомия)??? Перелом шейки очень латеральный, практически без смещения, кровообращение головкт бедра не должно было пострадать, возраст, судя по всему, - молодой... Хорошие перспективы для сращения шейки.
Диафизарный перелом простой опорный - должен срастись и на таком неблокруемом гвозде (если туго посажен в рассверленный канал).
> А есть смысл ввести мимо штифта компрессирующие винты под
> рентген-контролем?
Именно так и надо сделать!!! Сейчас, в этом году, пока непоздно!
С наступающим, и Удачи в Новом Году!!!
С уважением, А.Семенистый.
ГКБ 13, Москва.
|
[
Ответить ]
|
Re: Перелом шейки бедра, выявленный после штифтова
Alexander Chelnokov 23 Декабрь 2006, 09:35
|
ИГД> Снимка В\3 бедра до операции не было,
Мы в год получаем по 3-4 пациента с аналогичной ситуацией - поздно обнаруженный перелом шейки бедра и фиксированный диафизрный. Почему-то часто не делают снимки длинных костей на протяжении, на пленке 15x40 или 30х40 см, любят для всего кассеты 24х30 см. На других сегментах тоже встречаются такие проблемы.
ИГД> на рентгенограмме вот такая "новость".
Это еще относительно рано обнаружили...
ИГД> А есть смысл ввести мимо штифта компрессирующие винты под
ИГД> рентген-контролем?
Согласен с Алексеем, это в сложившейся ситуации безальтернатиный вариант.
Диафизарный перелом низковат для остеосинтеза без запирающих винтов, может, пару винтов провести по обе стороны стержня, чтобы "сузить" канал в периферическом оломке.
|
[
Ответить ]
|
Re: Перелом шейки бедра, выявленный после штифтования диафиза
Шевырев Константин 23 Декабрь 2006, 11:12
|
Приветствую Исмаил Гаджиевич!!! Полностью согласен с предложенными способами фиксации бедренной кости. Важным моментом является отведение конечности для вальгирования проксимального перелома перед введении винтов. Об этом ранее подробно и обстоятельно писал Александр Николаевич.
P.s.: Представленный перелом при наличии усилителя рентгеновского изображения лечится малокровно и функционально. Повод продолжить работу над ЭОПом с Борисом Александровичем и администрацией:). Привет Загорским травматологам.
Всех с наступающим, успехов.
Шевырев К.В., МОНИКИ
|
[
Ответить ]
|
Re: Перелом шейки бедра, выявленный после штифтования диафиза
Станислав Дмитриев 23 Декабрь 2006, 15:45
|
Добрый день! Не такая уж редкая это ситуация. Жаль нет под рукой снимков до и после остеосинтеза шейки винтами. Если есть направитель для параллельного введения канюлированных винтов - вообще чудесно. Мы обычно вводим 3 винта в виде "прямоугольного треугольника", т.е. два винта с одной стороны, третий - с другой от штифта. но можно конечно и без направителя.В принципе, особой сложности нет.
|
[
Ответить ]
|
Re: Перелом шейки бедра, выявленный после штифтования диафиза
ерохин александр 23 Декабрь 2006, 16:32
|
Можно винтами,можно и аппарат наложить с 4-мя спицами с упором в шейку.Почему нет?
|
[
Ответить ]
|
Re: Перелом шейки бедра, выявленный после штифтова
В.Машталов 23 Декабрь 2006, 18:14
|
Довольно типичная ситуация, особенно если авттомобильная "торпедная" травма, у нас тоже случалась такая диагностичекая ошибка, толко обнаружили мы свою "новость в стади несросшегося перелома шейки. При похожем механизме
травмы ввели стандарт диагностики - Р-графия т/бедренного сустава. Кака лечить ? Обсолютно правильное решение- "винты минуя штифт", стандарная АО методика пусть и не АО имплантами, даже изначально без "новостей", места для винтов достаточно, лечили так неоднократно, хотя сейчас бы сделали
реостеосинтез long PFN . Успехов!
с ув. В. Машталов
|
[
Ответить ]
|
Re: Перелом шейки бедра, выявленный после штифтования диафиза
Djoldas Kuldjanov, 24 Декабрь 2006, 02:45
|
Приблизительно 5-7% переломов бедра сопровождаются переломом шейки.
Кроме обязательных ренгенологических снимков тазобедренного сустава, при подозрении на перелом шейки рекомендуем Компьютерную Томографию.
Года два назад в ОТА из группы Торнетта было доложено о "missed femoral neck fractures" даже после КТ исследования.
После интрамедуллярного остеосинтеза бедра, по нашему протоколу, описываем состояние шейки и обязательный контрольный снимок шейки.
Все неопознанные и не зафиксированные переломы шейки смещались вторично в течение 3х недель из-за огромного рычага конечности.
Недавно у нас тоже был случай, узнали на второй день после осмотра протокольных снимков шейки.
В операционной спереди гвоздя провел два 6.5 мм каннулированных шурупа, также через проксимальное отверстие антеградного гвоздя удалось провести шуруп.
При "ipsilateral femoral shaft and neck fractures" пользуемся ретроградным штифтом до малого вертеля, а шейку фиксируем каннюлированными шурупами в 6.5 или 7.3 мм в зависмости от диаметра шейки.
В некоторых случаях, когда переломы шейки более латеральные, приближенные к чрезвертельным, пользуемся 125 градусным DHS на короткой боковой пластине или малоинвазивными цефаломедуллярными фиксаторами, предназначенные для фиксации шейки и диафиза бедра.
Пользовался TTFN от Synthes, Intertan от Smith Nephew и кстати после подробной публикации в Ортофоруме добавил и Gamma 3.
Джолдас Кульджанов
|
[
Ответить ]
|
Re: Перелом шейки бедра, выявленный после штифтова
Виктор П. Волошин 27 Декабрь 2006, 02:40
|
Ответные поздравления и пожелания специалистам первой линии обороны! Фиксация вертикального перелома чресшеечными винтами не гарантирует стабильности на период сращения. Будут определенные трудности в определении допустимого режима нагрузки в послеоперационном периоде. С большой вероятностью исход - coxa vara/несращение и дефект кости из-за миграции винтов + ротационная подвижность диафиза на штифте. Напрашивается более биомеханически обоснованный реостеосинтез после выведения больного "из состояния".
ВВП, МОНИКИ
|
[
Ответить ]
|
Re: Перелом шейки бедра, выявленный после штифтова
Отправитель: Djoldas Kuldjanov, M.D. 03 Январь 2007, 22:33
|
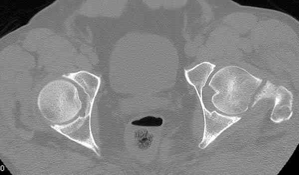
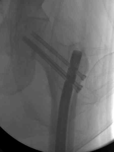
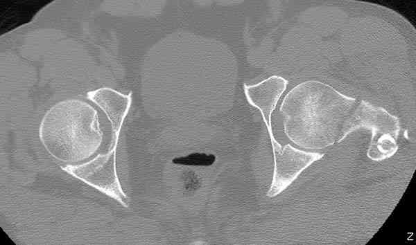
Здесь представлены снимки больного 65 лет, поступившего с диагнозом перелом
бедра после автоаварии.

В первый же день произведено антеградное штифтованием DePuy Trochanteric Nail.

На второй день (7) обнаружен пропущенный перелом,

сделаны Компьютерная Томограмма

и проведены шурурпы через и спереди штифта без удаления.

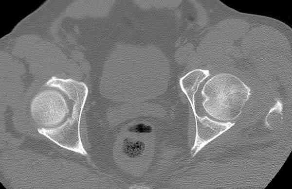
Послеоперационные снимки

Djoldas Kuldjanov, MD
Department of Orthopedic Surgery
St. Louis University Medical Center
|
[
Ответить ]
|
|
( Ответить )
|
|