ВХОД ДЛЯ ПАЦИЕНТОВ
вверх
поиск
админ
главная
исходное
|
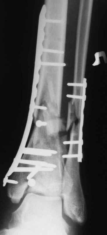
Re: Pilon
послал Дрягин В. 05 Январь 2007, 14:30
|
Да кстати нашёл похожий случай для пилона.Малоинвазивная дистальная пластина LCP у вас я думаю есть опыт их использования ну очень хорошая. Очень стабильно получается.

С уважением Дрягин.
|
| Послать ответ |
Обратите внимание: Поля с жирными названиями обязательны.
Старайтесь отвечать в рамках обсуждаемой темы, а не начинать новые обсуждения.
Указывайте адекватную тему сообщения, чтобы было ясно, о чем оно.
Не послайте сообщений не по теме (оффтопик), раздраженных, грубых или обидных комментариев. Здесь это неуместно.
|