AOTRAUMA.ORG Центр Илизарова  

Ортопедия и травматология Общие вопросы/General questions Help Информационные технологии в медицине
 вверх
 отправить
 поиск
 админ
 главная
 Предыдущее


Re: Polytrauma
Evgueny Tchekashkine 13 Январь 2007, 10:56
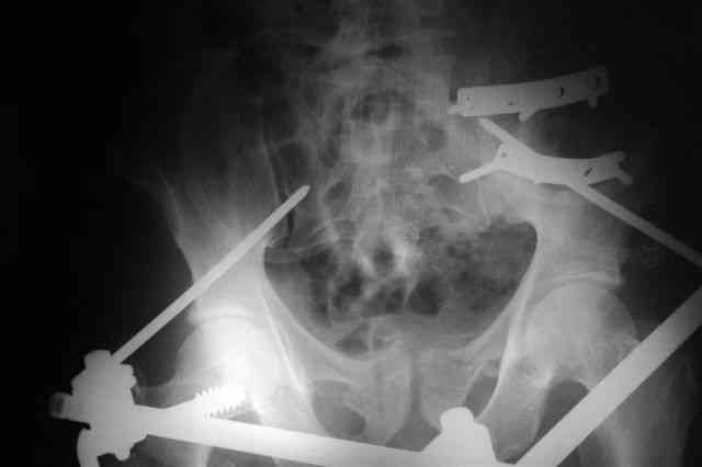
В приложении послеоперационные картинки.




Всего доброго,
Спасибо всем принявшим участие в обсуждении,
Чекашкин Е.И.
  • Сообщения о Ортопедия и травматология
  • Также Evgueny Tchekashkine
  • Связаться с автором
  • Ответить

    Re: Polytrauma
    Alexey Rounkov 19 Январь 2007, 17:40
    Написал бы раньше, да был в отпуске.
    Буду краток.
    При поступлении передняя рама (фиксация просто за гребни), соединенная с мыщелками бедра.
    После стабилизации состояния перевернуть больного на живот или на бок, пару винтов закрыто через заднюю ость трансфрактурно в крыло слева (если не нравится стояние фрагмента, можно предворительно задним латеральным доступом отрепонировать), справа не очень понятно куда идет перелом крыла, но если фиксировать, то пластиной по наружной стороне.

    Интересно посмотреть КТ с шанцами, куда же они попали.
    с уважением А.В.Рунков
    [ Ответить ]

    • Re: Polytrauma
      Отправитель: Evgueny Tchekashkine 21 Январь 2007, 11:32
      Алексей,

      Спасибо за комментарии случая.
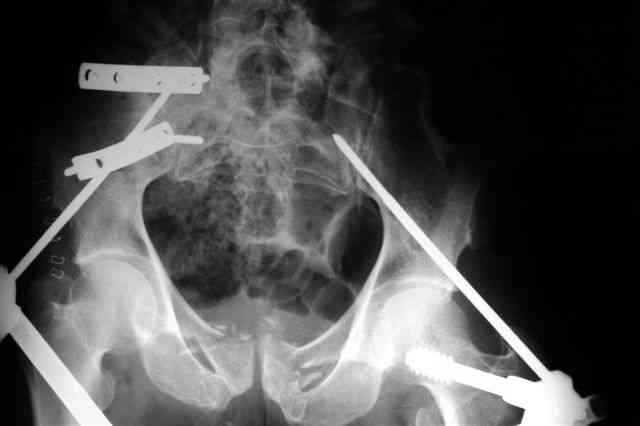
      Интраоперационно у меня не возникло сомнений , что Шанцы прошли через КП сочленения: сначала провёл Шанц справа при открытой ране после фиксации КП
      сочленения пластинами и контролем ЭОПа инлет и аутлет проекциях, определившись с углом введения винта. затем слева - под Рг-контролем, отступив на 2 см латеральнее нижней ости, чтобы не провалиться в таз.
      На следующий день больной активизирован с костылями, на боли не жаловался,
      поэтому и не стал заказывать томографию, хотя, для протокола надо было бы.
      Сейчас поздно говорить об этом - больной уже выписан.

      Всего доброго,
      Евгений Чекашкин

      [ Ответить ]
      • Re: Polytrauma
        Отправитель: Alexaander Chelnokov 21 Январь 2007, 18:07
        А пациент не будет еще появляться на контрольные осмотры, снимки, на снятие аппарата? Как у вас организована последующая реабилитация? Кто будет принимать решение о нагрузке на ногу?

        [ Ответить ]
        • Re: Polytrauma
          Отправитель: Evgueny Tchekashkine 21 Январь 2007, 18:09
          Как только больной мобилизован с костылями и способен передвигаться самостоятельно, он выписывается из стационара - слишком дорого находится в госпитале на реабилитации ради 30-40 мин сессии с физиотерапевтом. В случае
          с обсуждаемым больным много времени было потеряно в ожидании инструментария с момента госпитализации до фиксации переломов бедра и лодыжки,
          с недельным интервалом - стабилизация таза. Пациент оказался активным по своей природе, как только переломы были фиксированы, начал передвигаться с костылями. Нестабильное повреждение тазового кольца в сочетании с переломом лодыжки справа и переломом бедра слева не создавало возможности ограничения осевой нагрузки на н/к, поэтому и возникала дилемма как быстро его можно ставить на костыли. По словам пациента, послеоперационные боли были незначительны, больной, несмотря на возраст -58 лет атлетического телосложения, с хорошо развитой мускулатурой и отсутствием лишнего веса + желание выбраться из койки поскорее и пойти домой - всё вместе и способствовало ранней активизации.
          Средняя продолжительность пребывания больного в госпитале после остеосинтеза - 2-4 дня - за это время можно оценить как заживает рана с проблемами или без них. Физиотерапия и перевязки (по необходимости) проводятся на аутпэйшент основе
          или больной занимается дома самостоятельно после инструктажа физиотерапевтом и посещая время от вермени физиотерапевта для контрольных осмотров. Через 2 нед для снятия швов кто-то приходит в консультативный кабинет, а кто-то по месту жительства.

          Рг-контроль рекомендуем после 6-8 недель с момента остеосинтеза, аккуратность явки звисит от многих моментов- если я сделал синтез и выписал больного, то это вовсе не гарантия, что он придет ко мне через 2 недели на снятие швов и оценку заживления ран, а через 6-8 недель на Рг контроль. Логика такова, что ежели нет проблем - то зачем идти к доктору, или если есть проблема, то зачем идти к доктору, после лечения которого она появилась:-)) отсюда и возникают сложности отслеживания результатов. Если сам начинаешь отыскивать
          больного -интересен результат после проведенной хирургии - это может быть истолковано двояко : активное зазывалово на подъём денег с больного -
          частная медицина:-))

          Различные типы страховок имеют разный лимит покрытия госпитализации, типа вмешательств, количества консультаций- хороший стимул для мобилизации, поэтому основная масса больных не залёживается в госпитале просятся на выписку как только послеоп. боль может контролироваться таблетированными аналгетиками, а не инъекциями.

          Всего Доброго,
          Евгений

          [ Ответить ]
          • Re: Polytrauma
            Отправитель: Alexander Chelnokov 22 Январь 2007, 20:41
            ET> остеосинтеза - 2-4 дня - за это время можно оценить как заживает рана с
            ET> проблемами или без них.


            Да, это рационально, у нас сейчас тоже пациенты многие уходят домой в такие сроки. Хотя история болезни, бывает, ведется и подольше. Но это дурости постсоветского здравоохранения.

            ET> нед для снятия швов кто-то приходит в консультативный кабинет, а кто-то по
            ET> месту жительства.


            Аналогично.

            ET> Рг-контроль рекомендуем после 6-8 недель с момента остеосинтеза аккуратность

            Но ведь многих пациентов надо отследить и попозже, а то и фиксатор динамизировать, или удалить?

            ET> Логика такова, что ежели нет проблем - то зачем идти к доктору,

            Ну, пациенту надо "постгипнотическое внушение" делать - мол, чтобы проблемы не появились, надо делать, как он сказал. Хотя мы тоже с таким сталкиваемся. В раньшее время приехать к нам на контроль за 300-400 км из области стоило копейки, сейчас не все могут себе позволить раз месяц билет на позед или машину. Результаты коллекционировать становится сложнее. Отчасти помогает Интернет, сейчас есть пациенты, которые присылают снимки по e-mail, заполняют опросники через web.

            ET> или если есть проблема, то зачем идти к доктору, после лечения
            ET> которого она появилась:-))


            То есть и ты получаешь заметное количество проблемных пациентов, начавших лечение в других местах?

            ET> больного -интересен результат после проведенной хирургии - это может быть
            ET> истолковано двояко : активное зазывалово на подъём денег с больного -


            А страховые компании не заинтересованы в регулярном наблюдении? Они данные об исходах лечения не собирают? Хотя бы чтобы направлять пациента в более результативные клиники.

            ET> выписку как только послеоп. боль может контролироваться таблетированными
            ET> аналгетиками , а не инъекциями.


            Вспоминается военка: "При прибытиии санитарного транспорта в медпункт полка следует команда - Ходячие, выходи!" ;-))

            [ Ответить ]
            • Re: Polytrauma
              Отправитель: Evgueny Tchekashkine 22 Январь 2007, 20:45
              ET>> Рг-контроль рекомендуем после 6-8 недель с момента остеосинтеза аккуратность

              AC> Но ведь многих пациентов надо отследить и попозже, а то и фиксатор
              AC> динамизировать, или удалить?


              Саша, для себя решаю динамизировать или нет после 8нед Ргграмм

              AC> позволить раз месяц билет на позед или машину. Результаты
              AC> коллекционировать становится сложнее. Отчасти помогает Интернет,
              AC> сейчас есть пациенты, которые присылают снимки по e-mail,


              Чаще всего именно финансовая проблема становится решающей для больного, которому надо добираться 300 -700 км. Далеко не все пациенты имеют доступ к инету, все-таки Африка:-))

              ET>> или если есть проблема, то зачем идти к доктору, после лечения
              ET>> которого она появилась:-))

              AC> То есть и ты получаешь заметное количество проблемных пациентов,
              AC> начавших лечение в других местах?


              Случается, есть особая категория пациентов, которые курсируют от одного доктора к другому, пока не найдут, кто бы их устраивал( хотя бы на время):-))

              ET>> больного -интересен результат после проведенной хирургии - это может быть
              ET>> истолковано двояко : активное зазывалово на подъём денег с больного -

              AC> А страховые компании не заинтересованы в регулярном наблюдении?
              AC> Они данные об исходах лечения не собирают? Хотя бы чтобы
              AC> направлять пациента в более результативные клиники.


              Пока подобных прецедентов не было и насколько я понимаю позицию местных страховых компаний - они заинтересованы в сборе денег (ежемесячные взносы) с граждан и по возможности меньше платить за лечение - с чем и приходится постоянно бороться и доказывать: больше собирать - меньше выплачивать и на эту разницу хорошо жить:-))
              Когда человеку нужна мед.помощь он решает сам к кому из докторов ему обращаться (мнения знакомых, друзей) - своего рода линия доверия, страховые компании не могут давать подобного рода рекомендации, к кому из врачей пациенту лучше обращаться по той или иной проблеме.Законодательно запрещена и самореклама в прессе докторами типа*делаем ровные и стройные ноги или голливудскую улыбку:-))

              В телефонном справочнике есть имена и телефоны практикующих врачей, а чаще, конечно, по советам друзей или родственников или коллеги врачи рекомендуют пациенту. Если всё проходит благополучно с пациентом и он доволен проведенным лечением, то есть вероятность, что он прорекламирует тебя своим друзьям, близким и т.д. и прямо противоположная реакция в случае проблемных результатов в плане антирекламы:-)) Для себя я избрал принцип - не снимать с пациента последние штаны при хорошем качестве помощи: деньги считают все и небогатые, и очень богатые, последние, пожалуй, даже и лучше.

              ET>> выписку как только послеоп. боль может контролироваться таблетированными
              ET>> аналгетиками , а не инъекциями.

              AC> Вспоминается военка: "При прибытиии санитарного транспорта в
              AC> медпункт полка следует команда - Ходячие, выходи!" ;-))


              Хоть Намибия и страна развивающаяся, но свои деньги народ приучен считать с раннего детства, поэтому экономический стимул работает с одной стороны хорошо - больные стараются раньше выписываться из госпиталя, с другой - негативно: количество посещений частного доктора, физиотерапевта ограничено типом страховки,поэтому
              послеоперационный протокол повторных осмотров далёк от академического, создаёт сложности отслеживания отдаленных результатов.

              [ Ответить ]
          • Re: Polytrauma
            Отправитель: Maxim Agalakov 22 Январь 2007, 20:47

            > Физиотерапия и перевязки ( по необходимости) проводятся на аутпэйшент основе

            А что за физиотерапия и зачем?

            [ Ответить ]
            • Re: Polytrauma
              Отправитель: Evgueny Tchekashkine 23 Январь 2007, 17:40
              Максим, здравствуйте,

              Лечебной физкультурой, электропроцедурами, массажами у нас занимаются физиотерапевты.
              Физиотерапевты учат больных пользоваться костылями, распределять вес тела при ходьбе, пассивные, активные движения в суставах.... ЛФК в отдельную специальность не выделено как в России. Поэтому вся реабилитация проводится физиотерапевтами, программы построены с акцентом на лфк с минимумом элетро и тепловых процедур.
              В реабилитацию входит и работа профессионального терапевта occupational therapist(OT) помогает больным восстановливаться с помощью динамических
              шин( сухожильные повреждения, повреждения нервов) , поддерживающих ортезов, которые они сами и изготавливают индивидуально для каждого обратившегося пациента. Нередко они работают вместе с физиотерапевтами с одним больным.
              суть везде одна, что в России, что здесь - различия в терминах.

              с наилучшими пожеланиями,
              Евгений

              [ Ответить ]

     

    ( Ответить )

    Powered by Zope  Squishdot Powered MedLink
    Посетитель: 0379409
      "По форме правильно, а по существу - издевательство" В.И.Ленин
    ©2001-2019Orthoforum Coordinator.
    [ Главная | Отправить сообщение | Поиск | Админ ]