AOTRAUMA.ORG Центр Илизарова  

Ортопедия и травматология Общие вопросы/General questions Help Информационные технологии в медицине
 вверх
 отправить
 поиск
 админ
 главная


врожденная патология
Ортопедия и травматология Отправлено Anton Vladzymyrskyy 09 Январь 2007, 23:09
Уважаемые коллеги!
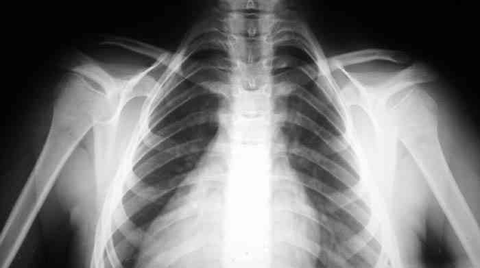
Девочка, 9 лет. Жалобы на деформацию верхнего плечевого пояса.
Объективно: приведение обоих надплечий, объем движений в плечевых суставах в полном объеме, общесоматический статус без патологии, УЗИлопаточных областей - без патологии.
Впервые обследовалась в декабре 2006 г., сейчас - физиофункциональное лечение.
Ваше мнение о формулировке диагноза и дальнейшем лечении?
Заранее благодарю!
С уважением,
А.В.Владзимирский
ДНИИТО

<  |  >

 

  • Сообщения о Ортопедия и травматология
  • Также Anton Vladzymyrskyy
  • Связаться с автором
  • Ответить

    Re: врожденная патология
    Пулатов А.Р. 10 Январь 2007, 18:48
    Возможно речь идёт о добавочных шейных рёбрах, для уточнения целесообразно сделать боковую рентгенографию.
    С уважением Пулатов А.Р.
    УНИИТО
    [ Ответить ]

    Re: врожденная патология
    Odessky Jacob 10 Январь 2007, 20:03
    Hi! There are some winging of scapulae as at Long thoracic nerve pulcy.May be EMG will be helpfull
    [ Ответить ]

    Re: врожденная патология
    Зинчук 11 Январь 2007, 20:45
    По МКБ-10 шейное ребро С6;С7. Вот ссылка:http://www.ristar.ru/info/references/mkb/1385/1448/1460
    Боковая рентгенография обязательно. Устранение деформации возможно только оперативным путём. Никакая физиотерапия ничего не даст...
    Если не проводить хирургического лечения в будущем возможно развитие скаленум - синдрома.

    [ Ответить ]

    Re: врожденная патология
    Зубач Остап 11 Январь 2007, 21:17
    Было бы не плохо посмотреть боковые снимки шейного и грудного отдела.
    С ув. Зубач О.
    БСМП, г. Львов.
    [ Ответить ]

    Re: врожденная патология
    Lev Lapidus 12 Январь 2007, 09:48
    Здравствуйте уважаемый Антон
    Меня зовут Лев Лапидус. Я детский ортопед. Работаю в отделении детской ортопедии в Израиле.
    Больная на Вашей фотографии довольно похожа на Cleidocranial Disostosis. Пришлите снимки плечевого пояса. Это может быть недоразвитие или отсутствие ключиц.
    [ Ответить ]

    Re: врожденная патология
    Djoldas Kuldjanov, M.D. 13 Январь 2007, 00:13
    Антон,

    Боковой шейный снимок уточнит наличие или отсутствия костной паталогии в шейном отделе.
    Наличие ключиц на прямом снимке, снимает диагноз врожденного отсутствия ключиц.

    Мне кажется, случай похож на Poland's Syndrom, синдром встречается при врожденной паталогии, когда отсутствует грудные мышцы (pectoralis), в большинстве случаев односторенне, и пластические хирурги рекомендует операцию.
    Учитывая, что случай двухсторонний, может быть детские ортопеды знают ответ, у них больше опыта с врожденными паталогиями.



    [ Ответить ]

    Re: врожденная патология
    Александр Клоков 19 Январь 2007, 22:41
    А помимо добавочных шейных рёбер нет ли у девочки воронкообразной деформации грудной клетки?

    С уважением,
    Александр Клоков
    БСМП Мурманск
    [ Ответить ]

    Re: врожденная патология
    Александр Дейнеко (НИДОИ им.Г.И.Турнера) 23 Январь 2007, 00:29
    Уважаемые коллеги,
    Предлагаю пока рабочим диагнозом считать: "Врожденная аномалия грудной клетки. Добавочные шейные ребра".
    Из дополнительного обследования я бы рекомендовал:
    1. КТ грудной клетки с построением трехмерной модели, если позволяет аппаратура - записать ролик динамической картины (кроме снимков на пленке), а также кроме пленки снимки в разных ракурсах продублировать в DICOM.
    2. R-графия таза и черепа.
    3. Консультация невропатолога - Подробный неврологический статус в/конечностей (включая ЭМГ итд).
    4. Консультация генетика.
    5. Неплохо бы иметь более подробный анамнез.

    С уважением,
    Александр Дейнеко
    [ Ответить ]

    Re: врожденная патология
    Ольга 02 Февраль 2009, 19:33
    Уважаемый доктор! У моей дочери, которой 3,3 года, тот же диагноз:"Врожденная аномалия развития большой грудной мышцы слева+ недоразвитая малая мышца. В добавок ко всему этому, воронкообразная, а может и килевидная грудь.
    Не знаю к кому поехать и где хотя бы получить какую-либо информацию.
    Была в клинике в Кургане. Сказали: "Мировой практике не известны методы лечения!!!! А за грудь сказали подождать до 5 лет!!" Но куда ждать? Рера стали выпирать, одно плечико ниже другого.
    Пожалуйста! Если можете , напишите к кому обратится. !!!!!

    [ Ответить ]


    ( Ответить )

    Powered by Zope  Squishdot Powered MedLink
    Посетитель: 0000103
      "По форме правильно, а по существу - издевательство" В.И.Ленин
    ©2001-2019Orthoforum Coordinator.
    [ Главная | Отправить сообщение | Поиск | Админ ]