ВХОД ДЛЯ ПАЦИЕНТОВ
вверх
поиск
админ
главная
|
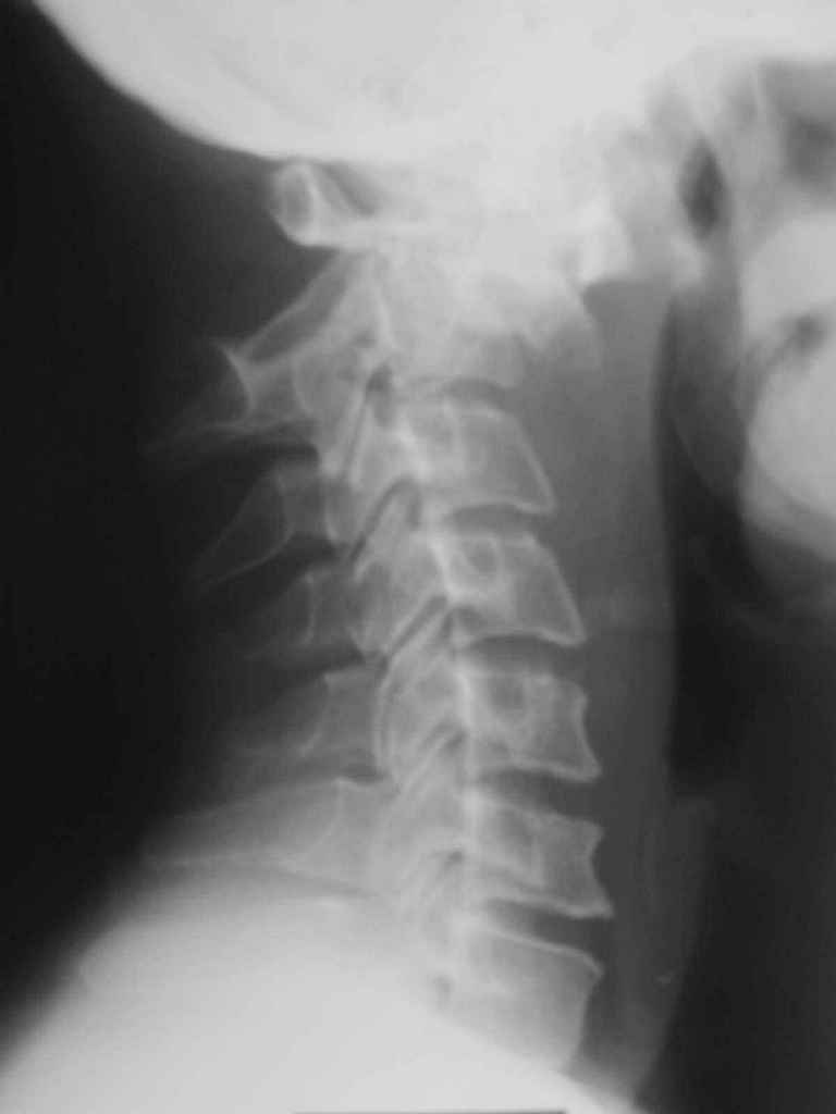
Перелом тела С-2 , вывих С-1 |
 |
 |
 |
Прислано В.Машталов 12 Январь 2007, 19:57
из БСМП2 Ростов-на-Дону
Ув. коллеги хочу поделиться достаточно интересным случаям.
Больной 57 лет обратился в приемное отделение больницы.Доставлен СП из травпункта.
Бал засыпан грунтом в карьере на свалке, самостоятельно откопася, прошел пешком более 10 км до травмпункта ,фиксировав шею руками и большим шарфом, отсидел в очереди, сделал снимки и как "хрустальный" доставлен в больницу.
Осмотрен нейрохирургом и ввиду полного отсуствия неврологичесой симптоматики передан для госпитализации в травматологическое отделение, где после долгих уговоров уложен на вытяжение петлей Глиссона ( от большего кат. отказался).
Из вещей при себе имел томик библии.
Обратите внимание: Поля с жирными названиями обязательны.
Старайтесь отвечать в рамках обсуждаемой темы, а не начинать новые обсуждения.
Указывайте адекватную тему сообщения, чтобы было ясно, о чем оно.
Не послайте сообщений не по теме (оффтопик), раздраженных, грубых или обидных комментариев. Здесь это неуместно.
|