Ответить
|
Re: Исход застарелого вывиха бедра
Anton Vakulenko 17 Январь 2007, 15:43
|
Безусловно на тактику лечения окажут влияние жалобы больного, образ его жизни, социальный статус, материальный достаток.
А если в общем, то или артродез, или через несколько лет безцементный эндопротез. На стопе в любом случае артродез.
С уважением,
А. В. Вакуленко
Клиника эндопротезирования суставов
|
[
Ответить ]
|
Re: Исход застарелого вывиха бедра
Отправитель: Alexander Chelnokov 18 Январь 2007, 18:02
|
> или через несколько лет безцементный эндопротез.
А как жить эти несколько лет?
Наверно, кроме эндопротеза тут вариантов нету. В смысле, раньше порог доступности эндопротезов был куда выше, и артродез со всеми его минусами вполне был рабочим вариантом,. А сейчас доступных моделей протезов - глаза разбегаются. Ну а когда пора ревизий подойдет, поди, еще что-то будет придумано...
|
[
Ответить ]
|
|
Re: Исход застарелого вывиха бедра
Mark Eidelman 18 Январь 2007, 01:09
|
Moghno i tak kak sdelali my: pelvic support + tibial and equinus correction .
Mark Eidelman
Rambam Hospital , Haifa,Israel.

Слайд 1

Слайд 2

Слайд 3

Слайд 4
|
[
Ответить ]
|
Re: Исход застарелого вывиха бедра
Отправитель: Савранский Александр 19 Январь 2007, 01:18
|
Мне показалось или это на снимке остеотомия бедра?Если да, то почему под таким углом?
И, если можно, то хотелось бы увидеть результат такого трудоемкого лечения.
|
[
Ответить ]
|
Re: Исход застарелого вывиха бедра
Отправитель: Mark Eidelman 20 Январь 2007, 01:29
|
Hi ,
Obidno chto operazia vyshedhaya v Rossii ne izvestna russkim ortopedam
Posyau vam statuu dlya likbeza.
 462 Кб
Mark
|
[
Ответить ]
|
Re: Исход застарелого вывиха бедра
Отправитель: Evgueny Tchekashkine 19 Январь 2007, 18:25
|
Уважаемый Марк,
Не могли бы вы подробнее остановиться на функции конечности после подобной остеотомии (объём движений в зоне бывшего т/б сустава, в коленном суставе) и как сам больной оценивает качество своей жизни после подобной реконструкции.
В чём, на ваш взгляд, подобная техника предпочтительнее гёрдлстоун?
Не имея опыта и наблюдений больных после подобных остеотомий, я все же выбрал бы артропластику сустава - наиболее в полной мере восстанавливает качество жизни. Не думаю, что аргумент о необходимости последующей ревизии является определяющим крейтерием выбора тактики в данной ситуации. Несмотря на молодой возраст больного, у него достаточно взрослая проблема и решать её надо сегодня методом восстанавливающим возможность движений в суставе и сохраняющим мышечную активность тазового пояса.
Что касается коррекции эквинусной стопы, кроме артродеза, может быть рассмотрен вариант транспозиции задней большеберцовой мышцы на тыл стопы или обычный стабилизирующий голеностоп ортез - на усмотрение самого больного.
Хотелось бы услышать от вас ответы на мои вопросы, Заранее спасибо,
Евгений Чекашкин
|
[
Ответить ]
|
Re: Исход застарелого вывиха бедра
Отправитель: Mark Eidelman 20 Январь 2007, 02:01
|
Hi,
vo pervyh Girdlstone i PSO prinzipialno raznye opeazii.PSO adressed leg length discrepancy and Trendelenburg, Girdlstone sozdana ne dlya reconstruction, vaghno ponyat eto.
Net slov , THR legche sdelat, ledghe perenositsya pazientom.No...
16 years old girl, 8 cm LLD.Pri srednei prodolghitelnosti ghizni 8o let u nas ya dumau nughno budet sdelat 4 -6 revision THR ( esli vse budet vporyadke).I kak ustranit LLD and Trendelenburg gait?
PSO sdelanaya kak nado operazia do 120 let.
Est 2 problemy: ne vse sposobny provesti 8 months in external fixator, and stiff knee after lengthening in 30-40 %( need Judet after).
Chto kasaetsya kachestva ghizni : ona ne otlichaetsya v pervye 10-15 let po sravneniu sTHR patients, i nesravnenno luchshe v posleduchie 40 let.Moi lichnyi opyt ne bolshoi , no u molodgyh SP septic hip, high DDH , huge LLD ya by recomendoval bez somnenii PSO.
Stranno chto Ilizarov PSO adopted in many western countries(USA, Japan, Italy, Israel, Turkey) but not in Russua!
Devushka predstavlennaya na snimke nachala s LLD 9 cm, valgus deformation of the tibia, huge Trendelenburg( vidno na snimke).
Seichas : no LLD ,no Trendelenburg, reasonable hip motion.A samoe glavnoe ei ne predstoit kaghdye 10-15 let delat revision THR.
Nadeus otvetil na vashi voprosy. Posylau eche odin paper about PSO.
 417 Kb
Mark.
|
[
Ответить ]
|
Re: Исход застарелого вывиха бедра
Отправитель: Evgueny Tchekashkine 21 Январь 2007, 10:55
|
Hi Марк,
вопросы, которые Вам задал, относились к 16 летнему пациенту, представленному на форум Марковым
Иваном.
пафосность Вашего письма удивительна :-))
Почему Вы решили, что эта операция мне не известна - об этом я вам не писал. ????
Странно, что Вы так реагируете на простые и конкретные вопросы - ответы субъективны.
Спасибо за статью. К Вам вопросов больше нет.
Жаль, что пришлось тратить время и место на форуме для ненужных разъяснений.
Евгений
|
[
Ответить ]
|
Re: Исход застарелого вывиха бедра
Отправитель: Alexander Chelnokov 21 Январь 2007, 11:57
|
> пафосность вашего письма удивительна:-))
> Почему вы решили, что эта операция мне не известна - об этом я вам не писал. ????
А это вытекало из постановки твоих вопросов, у меня тоже сложилось такое впечатление ;-)
> Странно, что вы так реагируете на простые и конкретные вопросы - ответы субъективны.
Женя, ответы не столько субъективны, сколько конспективны. Что вполне оправданно, поскольку приложены две подробных статьи, в которых есть не только ответы на твои вопросы, но и многое сверх того.
> Спасибо за статью. К вам вопросов больше нет.
> Жаль, что пришлось тратить время и место на форуме для ненужных разъяснений.
Да почему же ненужных. Мне, например, было очень интересно прочитать. Полагаю, что и не только мне. Опыт таких операций, тем более, выполняемых сейчас, с применением более современных подходов и новых модификаций аппаратов, очень ценен, и в бывшем СССР его имеет далеко не большинство ортопедов-травматологов.
|
[
Ответить ]
|
Re: Исход застарелого вывиха бедра
Отправитель: Evgueny Tchekashkine 21 Январь 2007, 18:01
|
Cаша, приветствую ещё раз,
Вся суть в манере написания письма - меньше сожалений и расстройств.
Совершенно в мыслях не было вопросами расстраивать коллегу - не вижу большого греха , что за свои 20 лет в ортопедии и травме не сделал ни одной
PSO, Делает он эту операцию - молодец, но сам же он и пишет о своем небольшом количестве наблюдений (непросто найти такой сустав + готовность пациента
ходить с рамой около года)
Откуда столько снобизма? Могу это понять, если бы являлся автором метода, да и то малоубедительный аргумент.
Продолжать дальше не интересно.
Всего Доброго,
Евгений
|
[
Ответить ]
|
Re: Исход застарелого вывиха бедра
Отправитель: Alexaander Chelnokov 21 Январь 2007, 18:30
|
Женя, меньше расстройств пока не получается. Увы, обсуждение ортопедической проблемы или трудного пациента сменяется personal attack (или flame на сетевом сленге). Реакция не на содержание, а на манеру написания письма - неконструктивна. Просьба ко всем - не проявлять раздражения и враждебности к коллегам. Если есть сильное желание прокомментировать манеру письма или иные персональные особенности собеседника - есть личная почта. Спасибо за понимание.
|
[
Ответить ]
|
Re: Исход застарелого вывиха бедра
Отправитель: Mark Eidelman 21 Январь 2007, 23:13
|
Sasha spasibo za otvet, nikak ne dumal nikogo obighat, chto kasaetsya soghalenii -ne raskaivaus.
Mark
|
[
Ответить ]
|
Re: Исход застарелого вывиха бедра
Отправитель: Mark Eidelman 21 Январь 2007, 23:11
|
Nikak ne dumal vas obighat.
Chto kasaetsya soghalenii - ne raskaivaus.
Mark
|
[
Ответить ]
|
|
Re: Исход застарелого вывиха бедра
Odessky Jacob 18 Январь 2007, 18:44
|
Согласен с мнением Марка! Считаю, что протезирование в таком возрасте обретает пациента заранее на повторные операции.
А реконструкция тазобедренного сустава по Илизарову, выполненная правильно - операция на всю жизнь.
Всего наилучшего
|
[
Ответить ]
|
Re: Исход застарелого вывиха бедра
Отправитель: Anton Vakulenko 18 Январь 2007, 20:52
|
Собственно, тут тазобедренного сустава уже нет. И нет уверенности в том, что реконструкцией по Илизарову этот крайне молодой человек будет
доволен всю свою жизнь. В то же время большинство реконструкций проксимального отдела бедра создает большие сложности при последующем протезировании. К сожалению, нам неизвестен общий статус пациента, его потребности и возможности. Возможно, что артродез был бы все-таки предпочтительнее. Но в любом случае, протезировать этого больного явно
рановато...
С уважением,
А. В. Вакуленко
Клиника эндопротезирования суставов
|
[
Ответить ]
|
|
Re: Исход застарелого вывиха бедра
Александр Клоков 19 Январь 2007, 22:15
|
Быть может стоит подумать о таком варианте:
1-м этапом укорачивающая остеотомия бедра с центрацией во впадину с артропластикой.
2-м этапом удлинение бедра.
С уважением,
Александр Клоков
БСМП, Мурманск
|
[
Ответить ]
|
Re: Исход застарелого вывиха бедра
Александр Дейнеко (НИДОИ им.Г.И.Турнера) 22 Январь 2007, 11:05
|
Уважаемый Иван Марков,
Александр Челноков сказал что тут есть интересный случай, вот смотрю, действительно согласно анамнеза очень интересный.
Хотелось бы знать как сейчас живет пациент. На данной страничке изложена масса приемлимых методов лечения для данного пациента. Но для выбора метода лечения и приблизительного прогноза, необходимо знать текущее состояние пациента. во первых его реакцию (он уже взрослый), что думают родители, как они настроены? Травма была 2,5 года назад. Ходит ли он сейчас, как передвигается? учится ли? Чем занимается? Что там с неврологией - есть ли положительная или отрицательная динамика? Работают ли нормально мышцы бедра? Есть ли боли в области тазобедренного сустава?
Дополнительно:
Каким способом проводилось низведение и вправление головки бедра? Когда появились первые признаки некроза? Когда пациент стал получать нагрузку на т/б сустав?
С уважением,
Александр Дейнеко
|
[
Ответить ]
|
Re: Исход застарелого вывиха бедра
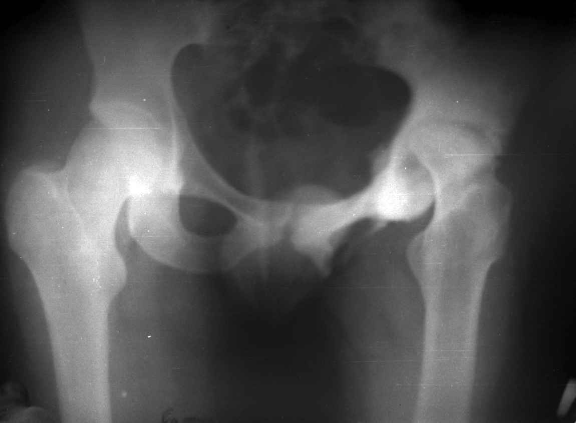
Отправитель: Марков Иван 28 Январь 2007, 22:46
|
Уважаемые коллеги! Очень благодарны за массу представленной полезной информации.
Пациент из сельской местности, школьник, ожирение 2-3 ст. Четкого мнения по поводу дальнейшего лечения у него и родителей нет, но надеются на возможность ходьбы. В течение всего периода с момента травмы ногу не нагружал. В настоящее время передвигается с одним костылем с компенсацией укорочения в обуви. Нейропатия седалищного нерва сохраняется на одном уровне (в основном за счет малоберцового н.). Активное сгибание колена 180-110, поднимает прямую ногу. Болей в тазобедренном суставе нет.
Почти 2 г назад низведение головки бедра проводилось в условиях аппарата Илизарова таз-бедро , затем проводилась отрытая репозиция головки бедра с межвертельной укорачивающей остеотомией. Признака некроза головки были видны интраоперационно (дефект хрящевого слоя, тусклый цвет), а рентгенологические признаки появились через 1-2 мес.
|
[
Ответить ]
|
|
Re: Исход застарелого вывиха бедра
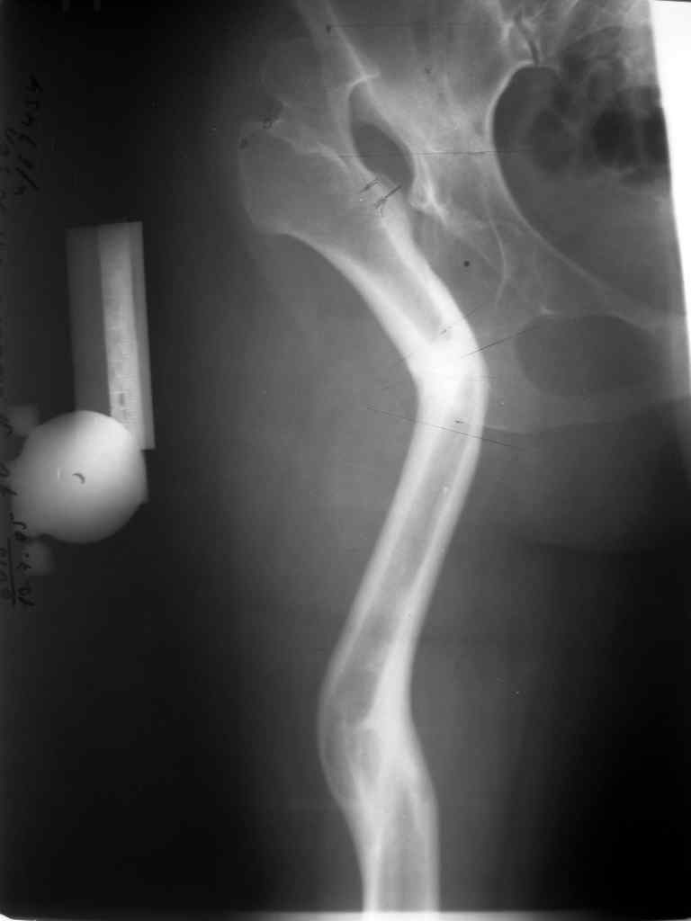
Рашид Муртузалиевич Тихилов 23 Январь 2007, 11:34
|
Уважаемый Марк, коллеги,
Поднят очень интересный вопрос об эффективности создания опорного бедра по Илизарову у молодых пациентов (ок). Наверное мне не повезло и я не
видел положительных результатов после этих операций, а вот проблемных больных приходится видеть достаточно часто. Причем сроки их обращения
после остеотомии короткие - 3-5 лет, а выполнение эндопротезирования после остеотомии на двух уровнях с многоплоскостной деформацией является
серьезным испытанием и для пациента и для хирурга. Я тоже не сторонник эндопротезирования в молодом возрасте, но уж после неудачных остеотомий
просто нет другого выхода. Проблема еще заключается в том, что каждый из нас видет ограниченное кол-во больных и в разные сроки. Детско-юношеские ортопеды наблюдают больных только до взрослого возраста, а дальше они
уходят из-под контроля. Современные эндопротезы дают хорошие и устойчивые результаты, поэтому не думаю, что ответ однозначный в пользу
остеотомии. Я представил Р-граммы больных с неудачными р-ми после остеотомий.

Эндопротезирование у них было на порядок сложнее в отличие от артропластики без проведения остеотомии.
С уважением, Р.Тихилов
|
[
Ответить ]
|
Re: Исход застарелого вывиха бедра
Отправитель: Mark Eidelman 24 Январь 2007, 01:21
|
Uv.Dr Tihilov,
Bez voprosov,chto pri prochih ravnyh THR luche perenositsya i leghe delaetsya.
MY indication to PSO: LLD >6-7 cm in young patients( and usually current LLD much more).Another and probably most imporatant issue:when I was resident I did during 6 years more than 50 primary THR, but never even one PSO.Most orthopedic surgeons never even saw this operation.You will agree with me that PSO has many pitfalls.. This operation not for everyone, and not everyone is able to do it.
4 goda nazad ya priehal v Baltimore k Paley and Herzenberg, i ochen skepticheski otnosylsya k PSO na opyte nebolshogo kolichestva operaziii kotorye videl vmoei bolnize. Hotite verte, hotite net, no vse bolnye kotorye ya tam videl posle PSO ne budut nughdatsya v Revision. Tak mozhet my dolghny delat PSO ne na glazok???

Kak mozho urarvnyat 18 cm LLD u etogo parnya after Septic hip?Ponimau vsu neodnoznachnost problemy, tolko prosto ne vighu drigih logichnyh reshenyi.
S uvagheniem
Mark.
|
[
Ответить ]
|
Re: Исход застарелого вывиха бедра
Отправитель: Игорь Редько 24 Январь 2007, 19:22
|
Уважаемый Д-р Р.Тихилов.
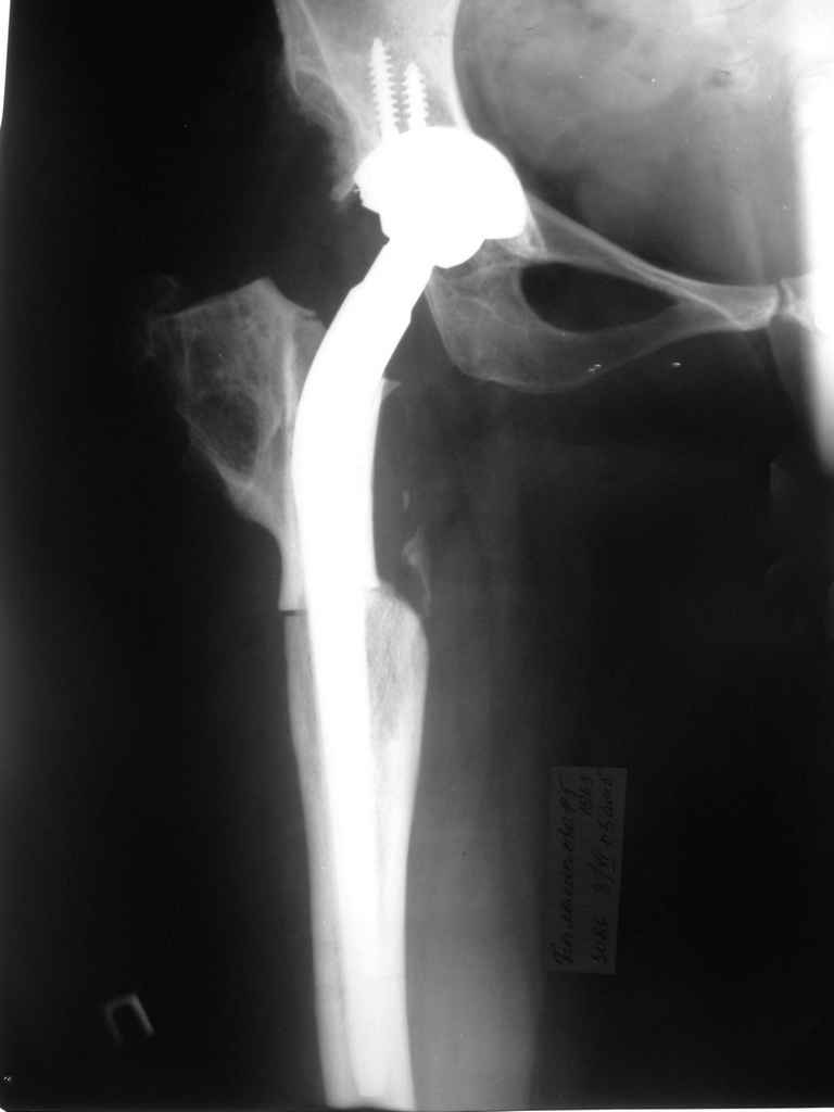
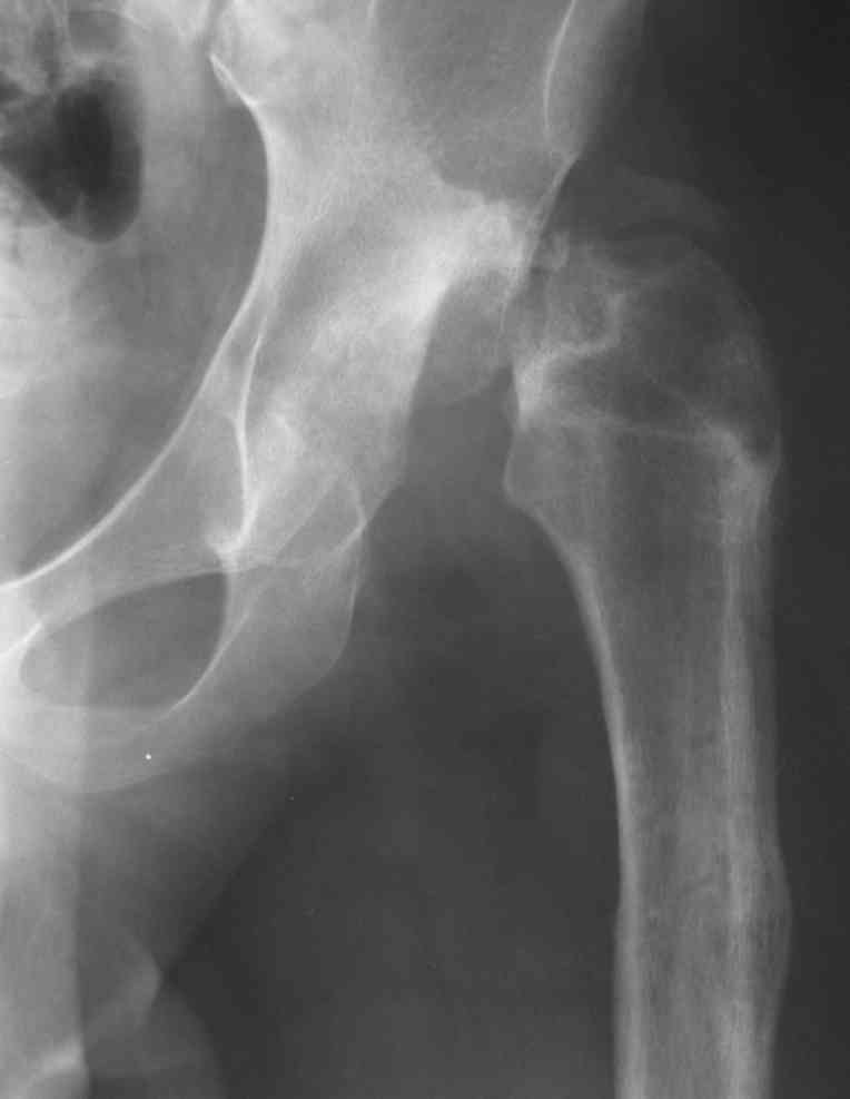
.........наверное не повезло. Но иногда это выход и очень хороший. М., 21 года спрыгнул в Армии с машины с исходом в гнойный коксит, свищевой формой в течении 1,5 лет. Операция проведена в 1988 году. результат хороший и сейчас и мы с пациентом хорошие приятели (Рентг-гр и фото прилагаю).

Еще один раз произведена реконструкция проксимального отдела юноше 17 лет с посл гематог остеомиелита тотальным дефектом проксимального отдела бедра и укорочением 16 см.(проксим отдел в виде "сосульки"). Произведена одноэтапная последовательная реконструкция, удлинение в с/з, затем в н/з. Рентгенограммы к сожалению утеряны.
Результат, поверьте, фантастический. Колено почти не пострадало. Сейчас сам удивляюсь, как хорошо получилось. РПО по Илизарову - Выход из ситуации иногда единственный, и хороший почти всегда, но трудоемкий для врача и тяжелый - пролонгированно для больного(в этом то и "собака порыта").
С уважением Редько И.
|
[
Ответить ]
|
Re: Исход застарелого вывиха бедра
Отправитель: Рашид Муртузалиевич Тихилов 25 Январь 2007, 18:01
|
Уважаемый Игорь Редько,
Вы немножко не поняли предмета нашего разговора. На представленных Вами Р-граммах речь идет о вальгизирующих остеотомиях, скорее всего в
комбинации с разгибанием... Никто и не оспаривает полезность этих остеотомий, мой личный опыт свидетельствует о том, что даже при
выраженной стадии коксартроза у лиц молодого возраста существенно снижается болевой с-м, ремиссия иногда достигает 12-16 лет, а там уже не
грех и протез поставить.
На обсуждение поставлен вопрос об эффективности опорной остеотомии по Илизарову (как правило), при врожденных вывихах бедра. Почувствуйте разницу...
С уважением, Р.Тихилов
|
[
Ответить ]
|
|
Re: Исход застарелого вывиха бедра
Волокитина Елена Александровна 24 Январь 2007, 09:36
|
Уважаемый коллега! Не смогла не присоединиться к дискуссии, так как она стала непосредственно касаться опорных остеотомий, разработанных и широко применявшихся в нашем Центре - РНЦ "ВТО" им. академика Г.А.Илизарова в 80-90 годы. Следует отметить, что демонстрируемые примеры выполнения опорных остеотомий свидетельствуют о "незнании" врачами технических особенностей их выполнения. Проксимальная остеотомия должна быть выполнена на меж- или подвертельном уровне, но никак не на границе верхней и средней трети бедра, не требуется также такое громадное отведение промежуточного фрагмента, а, следовательно, не нужен и такой противоразворот на дистракционном регенерате.
Симптом Тренделенбурга нивелируется в случае хорощего упора в таз бедренной кости. Для такого упора достаточно медиализации бедра на половину или треть спила диафиза или метадиафиза, в зависимости от уровня выполнения проксимальной остеотомии. Есть несложные биомеханические расчеты, как и где выполнять "точку опоры" (Волокитина Е.А., автореф. канд. дисс. 1998 г.) От таких низких остеотомий, как в примере из Израиля, с огромным отведением и противоразворотом диафиза у нас уже давно отказались, начиная с работ Кадыкало, Куртова, Волокитиной. Первый опыт по опорыным остеотомиям обобщен в диссертации Терещенко В.А. (1981г.), потом уже низких опорных остеотомий уже не делали. Поэтому результаты нашего Центра достаточно хорошие: до 15-20 лет сохранятся движения, нет хромоты. В настоящий момент, спустя 20 лет после массового выполнения опорных остеотомий, стали появляться больные с жалобами на хромоту из-за появившегося болевого синдрома, кроме того, движения тоже с годами ограничиваются. Выполняем им эндопротезирование - сложно, тяжело, но эффект восстановления движений пациентов радует. Примеры клинические приводила в сборнике "Эдопротезировании в России" (ред. И.Ф.Ахтямов) за прошлый год, представляли доклады на форуме "Человек и здоровье", в Канаде на форуме франкоговорящих ортопедов. Интерес к нашим сообщениям огромный, не только в плане как после опорных остеотомий выполнять эндопротезирование, но и по самой методике опорных остеотомий типа Шнаца-Илизарова, которая остается актуальной для определенной группы больных и в наши дни.
Однако, касаясь случая застарелого вывиха у 16 летнего мальчика (имея достаточный опыт выполнения опорных остеотомий, эндопротезирования и эндопротезирования после опорных остеотомий) считаю, что реально для него использовать шанс имплантации эндопротеза. А Опорную остеотомию или артродез можно выполнить всегда, эти методики всегда в резерве в случае неудачного эндопротезирования.
Считаю, что сейчас не 80-е годы и надо использовать новые технологии. Удачи!
С уважением д.м.н. Е.А.Волокитина
|
[
Ответить ]
|
Re: Исход застарелого вывиха бедра
Отправитель: Рашид Муртузалиевич Тихилов 25 Январь 2007, 19:07
|
Уважаемые Елена Александровна, Марк,
Я далек от мысли, что опорные остеотомии не имеют права на жизнь и у меня нет оснований не верить коллегам, другое дело, что бездумное их тиражирование создает значительные проблемы для пациентов и хирургов.
Эта операция требует очень точного расчета, правильного исполнения и обоснованные показания.
С уважением, Р.Тихилов
|
[
Ответить ]
|
Re: Исход застарелого вывиха бедра
Отправитель: Волокитина Елена Александровна 26 Январь 2007, 09:52
|
Уважаемый Рашид Муртузалиевич!
Абсолютно с Вами согласна: на сегодняшний день опорная остеотомия показана только для очень ограниченной группы пациентов. Выполнять такие вмешательства целесообразно в специализированных ортопедических клиниках, имеющих достаточный опыт применения опорных остеотомий и ведения больных("докоррекции" в аппарате наружной фиксации) в полеоперационном периоде.
С уважением Е.А.Волокитина
|
[
Ответить ]
|
Re: Исход застарелого вывиха бедра
Отправитель: Odessky Jacob M.D. 26 Январь 2007, 09:43
|
Уважаемая Елена Александровна! Большое спасибо за высказанное мнение!
Вы пишите, что Следует отметить, что демонстрируемые примеры выполнения опорных остеотомий свидетельствуют о "незнании" врачами технических особенностей их выполнения.
Не будете ли Вы так любезны подкрепить всё вами сказанное клиническими примерами и иллюстрациями, включающими компьютерную томографию, демонстрирующую точку опоры.
Кроме того, мне бы хотелось послушать мнение доктора Самчукова, живущего сейчас в США.
Миша! откликнись.
Всего наилучшего
|
[
Ответить ]
|
Re: Исход застарелого вывиха бедра
Отправитель: Odessky Jacob M.D. 26 Январь 2007, 09:47
|
Елена Александровна! Какой тип протеза Вы бы рекомендовали 16- летнему подростку?
|
[
Ответить ]
|
|
Re: Исход застарелого вывиха бедра
Djoldas Kuldjanov, M.D. 25 Январь 2007, 21:56
|
Уважаемые коллеги,
Метод опорной тазовой остеотомии, предложенной Шанцем в начале прошлого века, оставался одним из основных методов в лечении застарелых вывихов бедра на территории СССР и в некоторых странах Скандинавии.
http://ethesis.helsinki.fi/julkaisut/laa/kliin/vk/eskelinen2/totalhip.pdf
Коллеги из Курганского центра подтвердят, что популярность метода выросла после модификации Илизарова с удлинением и исправлением оси в Союзе в “преартропластическом периоде”.
В случае Марка (технически превосходно исполненном) и в работах Палея с Розбухом, признанных авторов по наружным фиксаторам, показан один из вариантов лечения данной патологии, т.е. применения аппаратного лечения в сложной патологии.
Если говорить о запущенных вывихах бедра, может, начали действовать меры по профилактике, по раннему выявлению вывихов, в наши дни их становятся все меньше.
Осложненные инфекцией и случаи некроза требуют другого подхода, то есть тактику санации инфицированного очага и выжидания с последующим применением современной технологии - протезирования.
Насчет запущенных врожденных вывихов, обычная повсеместно тактика - по достижении возраста протезирование.
Кстати, все больные, увиденные мною за последние годы с врожденным вывихом, были иммигрантами из Латинской Америки, Азии и Ближнего Востока, выявленные при первичных иммиграционных медицинских осмотрах по прибытии в страну. (в америке пользуемся диагнозом developmental dysplasia of the hip, а не менее популярным “врожденный вывих”, адвокатские хитросплетения в терминологии)
Трудно судить, что 16 летнему больному лучше в данном периоде его жизни, “свобода движения” в суставе на ближайщее 20 лет или ношение аппарата до идеального исхода по коррекции.
Не у всех хватит смелости успешно закончить, и еще не у всех имеется опыт сложной коррекции наружными фиксаторами.
Для определения знания о современном состоянии застарелых вывихов среди резидентов был сделан опрос с показом ренгенологической картины данного случая.
Вопросы были:
1 Что за остеотомия Schanz osteotomy?
2 Тактика лечения застарелого вывиха бедра с некрозом головки?
Больному 45 лет
Больному 25 лет
Больному 16 лет
Из всех 21 респондентов на первый вопрос все 100% ответили - остеотомия проксимального бедра
Второй вопрос: 45 лет 100% артропластика
25 лет 100% артропластика
16 лет 1 воздержался, 2 за артродез и поздная артропластика, а остальные за артропластику. (в опросе не учтены материальные возможности разных регионов)
Спасибо за обширную информацию Елене Волокитиной о прошлом и настоящем состоянии Schanz osteotomy, ведь у них в центре богатый опыт и есть чем делиться, особенно по их исправлению.
Djoldas Kuldjanov, MD
Department of Orthopedic Surgery
St. Louis University Medical Center
|
[
Ответить ]
|
Re: Исход застарелого вывиха бедра
Дмитрий 27 Январь 2011, 22:54
|
Тут, на сколько мне представляется выход, эндопротезирование тазобедренного сустава.
|
[
Ответить ]
|
( Ответить )
|
|