AOTRAUMA.ORG Центр Илизарова  

Ортопедия и травматология Общие вопросы/General questions Help Информационные технологии в медицине
 вверх
 отправить
 поиск
 админ
 главная


процесс в позвоночнике
Ортопедия и травматология Отправлено Anton Vladzymyrskyy 15 Январь 2007, 18:51
Уважаемые коллеги!
Женщина, 46 лет.
В течение четырех месяцев жалобы на боли в спине.
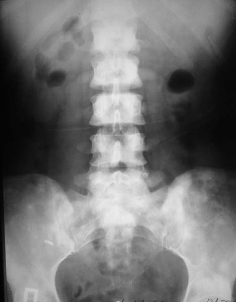
При МРТ (29.10.06) обнаружены диффузно-очаговые изменения в пояснично-крестцовом отделе позвоночника предположительно вторичного характера.
В октябре 2006 г. по поводу маточного кровотечения (менопауза 4 мес.) выполнено УЗИ - гиперплазия эндометрия, полипоз. Операция - удаление полипа, выскабливание полости матки. Цитологический анализ - пласты переходного климактерического эндометрия.Проведено комплексное исследование. В приложении: рентгенограммы и томограммы поясничного отдела позвоночника; радиологические исследованиямолочной железы, ЖКТ, почек, грудной клетки, анализы.УЗИ (18.12.06.) щитовидной железы, молочных желез - без патологии (умеренный фиброз по ходу млечных протоков).
Двусторонняя маммография 30.11.06. - кисты молочной железы, ФКМ.
Остеосцинтиграфия 4.12.06. - активный остеобластический процесс в поясничном, нижнегрудном отделах позвоночника, костях таза.Местными онкологами онко-процесс исключен. Фтизиатрический и онкогематологический диагнозы исключены.
Вопросы: 1. Диагноз? 2. Методы дополнительной диагностики? 3. Тактика лечения?
С уважением,
А.В.Владзимирский
ДНИИТО

<  |  >

 

  • Сообщения о Ортопедия и травматология
  • Также Anton Vladzymyrskyy
  • Связаться с автором
  • Ответить

    Re: процесс в позвоночнике
    Зинчук 16 Январь 2007, 12:39
    Диагноз, исходя из сцинтиграфии, предположительно метастазирование без определения первичного очага. Я сделал бы КТ органов и костей таза. Следующим шагом желательно взять биопсию, возможно из крыла таза (будет проще) после четкой визуализации очагов на КТ...
    [ Ответить ]


    ( Ответить )

    Powered by Zope  Squishdot Powered MedLink
    Посетитель: 0391772
      "По форме правильно, а по существу - издевательство" В.И.Ленин
    ©2001-2019Orthoforum Coordinator.
    [ Главная | Отправить сообщение | Поиск | Админ ]