ВХОД ДЛЯ ПАЦИЕНТОВ
вверх
поиск
админ
главная
исходное
|
Re: Застарелый вывих
послал Рашид Муртузалиевич Тихилов 10 Февраль 2007, 13:19
|
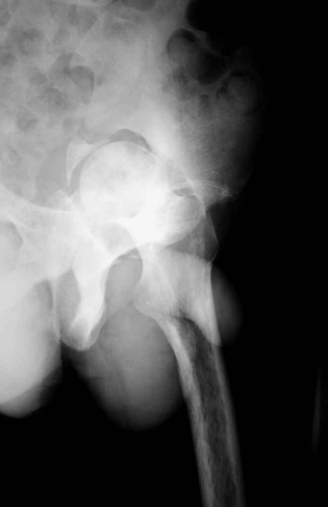
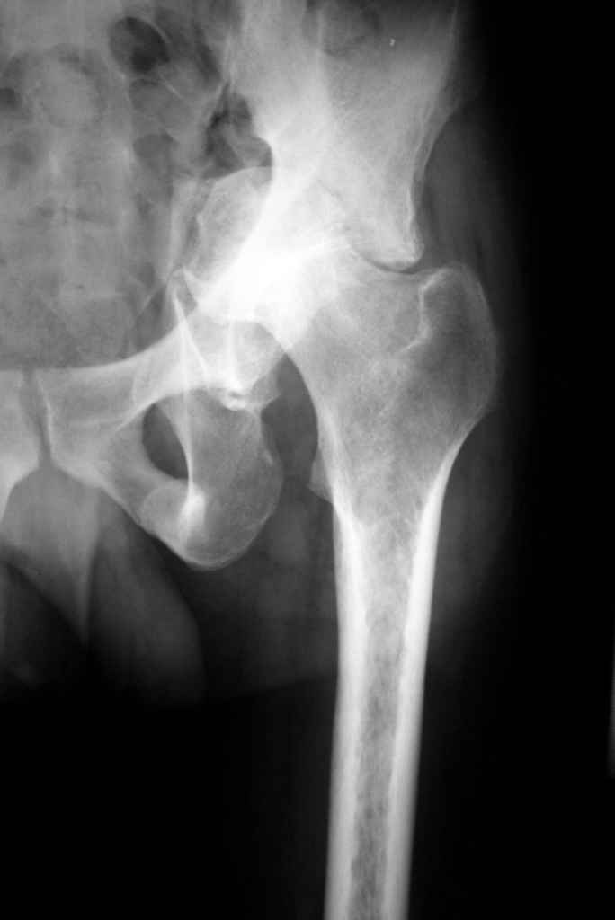
Уважаемый д-р Рунков,
К сожалению, нередкая ситуация, мы предпочитаем выполнять операцию одномоментно - пластика задне-верхнего дефекта крыши ВВ собственной
головкой, установка вертлужного компонента бесцементной фиксации с обязательной дополнительной фиксацией винтами. Проблема будет в
восстановлении длины ноги, опыт показывает, что более 3-х см одномоментно восстановить очень сложно, и даже для этого потребуется широкая мобилизация бедра. В одном из номеров ж-ла Ортопедия травматология России мы опубликовали наш подход и р-ты лечения у больных с последствиями перелома ВВ.
Прилагаю в качестве иллюстрации одну из последних операций.

С уважением, Р.Тихилов
|
| Послать ответ |
Обратите внимание: Поля с жирными названиями обязательны.
Старайтесь отвечать в рамках обсуждаемой темы, а не начинать новые обсуждения.
Указывайте адекватную тему сообщения, чтобы было ясно, о чем оно.
Не послайте сообщений не по теме (оффтопик), раздраженных, грубых или обидных комментариев. Здесь это неуместно.
|