ВХОД ДЛЯ ПАЦИЕНТОВ
вверх
поиск
админ
главная
исходное
последующие
|
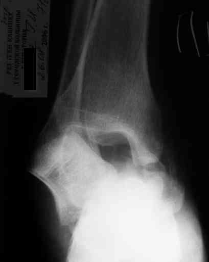
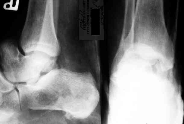
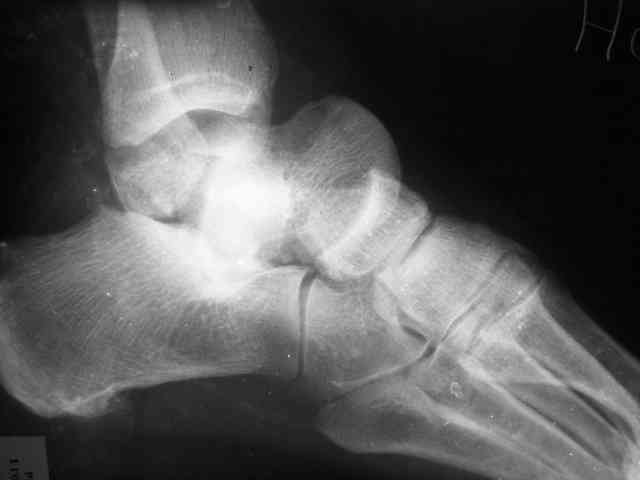
Re: Редкое повреждение - полный вывих тарана!
послал Антон Лебединец 04 Март 2007, 21:44
|

Уважаемый Александр! Как обещал представляю Р-граммы и операционные фото.
Опять надоедаю с вопросами:
Ваши (лично ваши) рекомендации - астрагалэктомия-аппаратный пяточно-большеберцовый артродез с одновременным удлинением голени - правильно?
>-В условиях плохого кровоснабжения как раз надо бы стремиться не
>оставлять в ране аваскулярные куски кости, как уже там лежащие, так и
>новые-
А удлинять голень в условиях плохих сосудов как? В смысле как потянутся склерозированные сосуды? Удлинять-то надо около 3 см.
>-Системные антибиотики тут бессмысленны-
Почему? Или они не дойдут до очага инфекции. Местное лечение сейчас получает - антибиотики в свищевой ход и в м/ткани.
>> -сосудистая терапия? (нужна ли, какая)
>-Это миф. Таран медикаментами не оживить-
Таран да, а остальные ткани - улучшить перфузию и пр.?
> Местно АБ в виде спейсеров и пр. - нет возможности
>-Да почему, все это-
Непонятное место!!! Каким образом заменить спейсеры - как-нибудь изготовить замазку с АБ?
>> - Артродез не аппаратный а костно-пластический
>-Инфекция куда при этом денется?-
А так инфекция куда денется, или ПБА изничтожит ее в м/тканях? Она там уже полгода живет. Я думаю стабильная фиксация - лучшая профилактика инфекционных осложнений. Кстати была у нас больная с посттравматическим деф. артрозом г/стопного сустава и остеомиелитом внутренней лодыжки - ей сделали костно-пластический артродез по Кловарду - инфекция затихла, анкилоз наступил за 3 мес (больной 65 лет).
Жду ответа!
|
| Послать ответ |
Обратите внимание: Поля с жирными названиями обязательны.
Старайтесь отвечать в рамках обсуждаемой темы, а не начинать новые обсуждения.
Указывайте адекватную тему сообщения, чтобы было ясно, о чем оно.
Не послайте сообщений не по теме (оффтопик), раздраженных, грубых или обидных комментариев. Здесь это неуместно.
|