Ответить
|
Re: Перелом шейки плеча - тактика?
Алексей 21 Март 2007, 19:50
|
33 года молодой возраст и открытая репозиция с фиксацией на блокируемой пластине будет наиболее приемственна в этом случае.
|
[
Ответить ]
|
Re: Перелом шейки плеча - тактика?
Сувалян Микаэл 21 Март 2007, 21:03
|
Почему имеются сомнения по поводу необходимости оперативной тактики лечения? Отстутствие фиксаторов?
33 года...надо бы оперировать при наличии соответствующих фиксаторов (пластины Г и Т-образные, а при удачной закрытой репозиции может и штифт типа Мастер. В последнем случае не будет грубого косметического дефекта от рубца. Опять же, если есть в наличии такой фиксатор и соответствующий опыт его использования.
П.с.: Лично у меня его нет пока... надеюсь на лучшее в перспективе:))
|
[
Ответить ]
|
Re: Перелом шейки плеча - тактика?
Алексей Семенистый 22 Март 2007, 08:52
|
Не аппендицит конечно,от такого перелома не умерают, можно и не оперировать, но ожидать восстановления функции, если "оставить как есть" вряд ли придется. У 33-летней здоровой, активной пациентки операция, мне кажется, метод выбора. Другой вопрос - как репонировать и чем фиксировать? На вкус и цвет товарищей нет. Мы бы
попробовали закрытую репозицию и из ограниченного доступа остеоситез пластиной LPHP или, еще лучше, PHILOS .
Всегда рассматриваем возможность, если есть необходимость, открытой репозиции.
У молодых пациентов полное восстановление функции к двум-трем месяцам(естественно, при хорошей репозиции и надежной фиксации). Пробовали штифтовать: при удачной закрытой репозиции косметически, конечно более выгодно.
Но реабилитация проходит тяжелее. А.Ф. Лазарев забил бы две "первично напряженные Y-спицы"...
Я - за PHILOS!
С уважением, А.Семенистый.
ГКБ 13, Москва.
|
[
Ответить ]
|
Re: Перелом шейки плеча - тактика?
Отправитель: В Машталов 22 Март 2007, 13:23
|
Операцию я бы предлагал , но не настаивал.
> На вкус и цвет товарищей нет. Мы бы попробовали закрытую репозицию и из
> ограниченного доступа остеоситез пластиной LPHP или, еще лучше, PHILOS .
Чем лучше?, названием, обводами или цветом?, насколько я понимаю ,это одна
и таже пластина в разном коммерческом исполнении.
> А.Ф. Лазарев забил бы две "первично напряженные Y-спицы"...
Неплохой бюджетный и косметический вариант, хотя в руках автора это это очень просто, а у нас приходилось "посветиться ", репозицию проводили
короткими 2 мм спицами -джойстиками,их же использовали для временной фиксации (а в некоторых случаях и для окончательной), варинат фиксация
TENами.
Операция по фукнциональными претензиям пациента.
Выбор синтеза по бюджету - LPHP или по Лазареву.
В. Машталов
|
[
Ответить ]
|
|
Re: Перелом шейки плеча - тактика?
A. Миронов 22 Март 2007, 16:26
|
LPHP или PHILOS эакрыто, если неполучится, то открыто.
А. Миронов
|
[
Ответить ]
|
Re: Перелом шейки плеча - тактика?
Djoldas Kuldjanov 23 Март 2007, 16:56
|
По Neer операцию рекомендовали только тогда, когда угол между диафизом и головкой составляет около 45 градусов, и переломы с меньшим углом смещения считали благоприятным для функционального результата.
Хотя "варусная импакция" в проксимальном отделе плеча срастается хорошо консервативными мерами, но в результате при восстановлении такие больные теряют часть отведения, и тем более у больной варус осложнен еще сгибанием.
Закрытые репозиции без фиксации из-за вторичного смещения неэффективны, поэтому рекомендуется репозиция с фиксацией. Методик много, кто чем владеет и отдает предпочтение закрытые-открытые, перкутанные, с блокирующими пластинами, гвоздь, множественными спицами или методом спиц по Лазареву, и осторожно с манипуляциями из=за возможности повреждения аксиллярного нерва - частый вид осложнении.
Первичное консервативное лечение рекомендуется только тем больным, когда по причинам общего состояния, например, политравма или другие тяжелые состояния больного, не позволяют оперативное лечение при первичном поступлении, тогда такие больные с самого начала предупреждаются о необходимости вальгусной или другой восстановительной операции позднее.
Неправильно выбранная тактика по фиксации или технические ошибки во время операции могут привести к серьезным осложнениям. Здесь привожу
пример из нашей практики, вроде обычный перелом шейки, фиксированный популярным методом "Сиэтла" - множественными спицами 2.8 мм с резьбой на конце.
При первичном осмотре в поликлинике через 3 недели обнаружили миграцию двух спиц, срочно госпитализированному на второй день перед операцией на всякий случай сделали снимок, одна спица находилась под ключицей в шейном отделе (на снимке).
Djoldas Kuldjanov, MD
Department of Orthopedic Surgery
St. Louis University Medical Center
|
[
Ответить ]
|
Re: Перелом шейки плеча - тактика?
Alexandre Sitnik 23 Март 2007, 19:12
|
> Боковой снимок нормально не сделать, вторая проекция сделана под углом 30 градусов.
Вполне нормальный и читаемый снимок - лопаточная или Y проекция входит в "травма-серию" плечевого сустава как стандарт.
Относительно контрольного КТ - впечатление такое, что малость перестарались при репозиции.
Оставлять такой диастаз пожалуй нежелательно. Мы бы вправляли закрыто и фиксирoвали спицами через головку в диафиз - в большинстве случаев получалось неплохо, тем более - перелом вроде двухфрагментарный. ЭОП-контроль на столе - если что-то не так - ORIF.
А.Ситник БелНИИТО
|
[
Ответить ]
|
Re: Перелом шейки плеча - тактика?
Отправитель: Alexaander Chelnokov 24 Март 2007, 20:37
|
> Вполне нормальный и читаемый снимок - лопаточная или Y проекция входит
> в "травма-серию" плечевого сустава как стандарт.
У нас это называется "по Мительману". КТ, да еще и возможность трехмерной реконструкции делает картину повреждения значительно более наглядной.
> Относительно контрольного КТ - впечатление такое, что малость
> перестарались при репозиции. Оставлять такой диастаз пожалуй нежелательно.
Эта "репозиция" сделана только на картинке, чтобы было видно, как основные фрагменты должны располагаться после восстановления взаимоотношений головки и диафиза. Понятно, такого диастаза не будет, поскольку есть внедрившаяся в головку медиальная стенка дистального отломка.
> Мы бы вправляли закрыто и фиксирoвали спицами через головку в диафиз
Почему не из диафиза в головку? Тогда не будет препятствий для движений в плечевом суставе.
> ЭОП-контроль на столе - если что-то не так - ORIF.
В понедельник попытаемся закрыто вправить и фиксировать напряженными спицами.
|
[
Ответить ]
|
Re: Перелом шейки плеча - тактика?
Отправитель: Никита Заднепровский 26 Март 2007, 21:25
|
>> Вполне нормальный и читаемый снимок - лопаточная или Y проекция входит
>> в "травма-серию" плечевого сустава как стандарт.
ac> У нас это называется "по Мительману".
Алекс, а можно поподробнее по поводу этой проекции? Что за укладка? Может быть мы делаем это, но не знаем автора. Не трансторакальный ли это снимок?
По поиску про Мительмана нашел мемуары Ионы Дегена "Портреты учителей". Довольно интересно. Есть рассказ про многоих ортопедов советских времен (в том числе и про рентгенолога Юду Нохимовича Мительмана). Кому интересно - ссылка.
Я прочитал на одном дыхании.
С уважением, Заднепровский Никита Николаевич
|
[
Ответить ]
|
Re: Перелом шейки плеча - тактика?
Отправитель: Alexaander Chelnokov 26 Март 2007, 21:29
|
ac>> У нас это называется "по Мительману".
НЗ> Алекс, а можно поподробнее по поводу этой проекции? Что за
Трубка остается как на фас, а паицент разворачивается здоровым плечомк кпереди на 30 градусов.
НЗ> По поиску про Мительмана нашел мемуары Ионы Дегена "Портреты
НЗ> учителей". Довольно интересно. Есть рассказ про многоих
Спасибо большое.
|
[
Ответить ]
|
Re: Перелом шейки плеча - тактика?
Отправитель: Никита Заднепровский 26 Март 2007, 21:33
|
AC> Трубка остается как на фас, а паицент
AC> разворачивается здоровым плечомк
AC> кпереди на 30 градусов.
Спасибо, теперь буду знать.
Да, мы делаем такие снимки ... для определения ширины суставной щели и исключения краевых переломов площадки, плоскость суставной площадки лопатки проецируется в такой проекции как линия. Верно?
НЗ>> По поиску про Мительмана нашел мемуары Ионы Дегена "Портреты
НЗ>> учителей". Довольно интересно. Есть рассказ про многоих
AC> Спасибо большое.
Да не во что ... :)))))))
С уважением, Заднепровский Никита Николаевич
|
[
Ответить ]
|
|
Re: Перелом шейки плеча - тактика?
Evgueny Tchekashkine 25 Март 2007, 10:25
|
Sasha, Zdravstvuy,
Ochen naglyadnaya demonstratsia pereloma - vashi radiologi nastoyaschie entuziasti ! kak udalos tebe ih ubedit delat CT s posleduyuschei 3D recon
dla takogo pereloma?
1.Mne kazhetsa, chto absolutno extrapolirovat post reduction reconstructiuy nedelnogo pereloma ne sovsem pravilno.
kak pravilo v eti sroki, pri manipulatii fragmentom za schet ligamentotaxisa proishodit desimpactiya i pustogo prostranstva mezhdu
fragmentami ne sozdaetsa kak eto pokazano na reconstructii.
Dla svoego plecha vibral bi metod Anatoliya Fedorovicha gamma spitsami(neodnocratno oprobovannogo s horoshimi functionalnimi resultatami) -deshevo i dostupno, menee travmatichno, glavnoe- horoshii functionalnii resultat.
2. Zachem pri takom perelome gipsovaya immobilizatia? Kosinochnoi povyazki vpolne dostatochno poka ne prinyato reshenie o tipe fixatii.
Prishli posleoperationnie kartinki.
Vsego dobrogo,
Evgueny
|
[
Ответить ]
|
Re: Перелом шейки плеча - тактика?
Отправитель: Alexaander Chelnokov 25 Март 2007, 11:56
|
e> Ochen naglyadnaya demonstratsia pereloma - vashi radiologi nastoyaschie
e> entuziasti ! kak udalos tebe ih ubedit delat CT s posleduyuschei 3D recon
Наш томограф вышел из строя, поэтому посылаем в другое усреждение, а там и аппарат поновее нашего, они всем на диск записывают и срезы вдоль-поперек-наискосок, и 3D.
e> 1.Mne kazhetsa, chto absolutno extrapolirovat post reduction reconstructiuy e> nedelnogo pereloma ne sovsem pravilno.
Последняя картинка сделана, чтобы более наглядно оценить тот угол, на который смещены отломки.
e> ligamentotaxisa proishodit desimpactiya i pustogo prostranstva mezhdu
e> fragmentami ne sozdaetsa kak eto pokazano na reconstructii.
Конечно.
e> Dla svoego plecha vibral bi metod Anatoliya Fedorovicha gamma spitsami(
Это самое и запланировано.
e> 2. Zachem pri takom perelome gipsovaya immobilizatia? Kosinochnoi povyazki
Шина была наложена при поступлении в ту больницу, куда она сначала попала.
|
[
Ответить ]
|
|
Re: Перелом шейки плеча - тактика?
Alexaander Chelnokov 27 Март 2007, 09:31
|
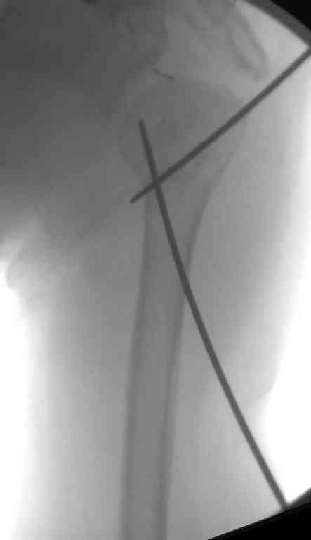
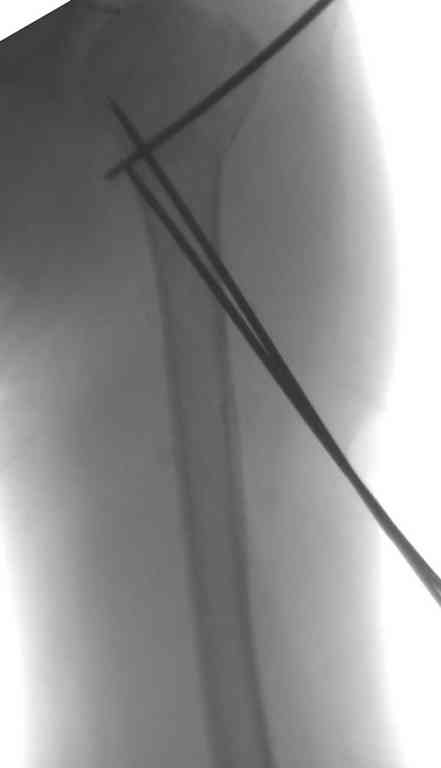
Сделали напряженными спицами по методике А.Ф.Лазарева со товарищи Репозиция сделана спицевым дистрактором, проксимальная спица была проведена в полскости деформации перпендикулярно оси наклонившейся головки. Получилось все довольно легко. Спицы малость покороче можно было сделать, ну да удалять потом легче будет.

Картинка в приложении.
|
[
Ответить ]
|
Re: Перелом шейки плеча - тактика?
Отправитель: Алексей Семенистый 27 Март 2007, 09:32
|
Очень даже неплохо получилось. Молодцы! Лучше чем на 3D "репозиции".
Сколько время длилась операция?
Расскажи потом про реабилитацию и функцию.
С уважением, А.Семенистый.
ГКБ 13, Москва.
|
[
Ответить ]
|
Re: Перелом шейки плеча - тактика?
Отправитель: Alexander Chelnokov 31 Март 2007, 10:08
|
> Очень даже неплохо получилось. Молодцы! Лучше чем на 3D "репозиции".
;-) Спасибо Г.А.Илизарову за его метод.
> Сколько время длилась операция?
Все заняло 1 час. Собственно введение фиксаторов - минут 20.
> Расскажи потом про реабилитацию и функцию.
Оставили в косынке, сразу разрешены маятникообразные движения в плечевом суставе. Дальше по ходу расскажу.
|
[
Ответить ]
|
Re: Перелом шейки плеча - тактика?
Отправитель: Алексей Семенистый 31 Март 2007, 10:10
|
> ;-) Спасибо Г.А.Илизарову за его метод.
А А.Ф.Лазареву?
С уважением, А.Семенистый.
ГКБ 13, Москва.
|
[
Ответить ]
|
Re: Перелом шейки плеча - тактика?
Отправитель: Alexander Chelnokov 31 Март 2007, 10:11
|
А.Ф.Лазарнву - отдельное спасибо, для этой локализации и при нефрагментированной головке - лучший выбор по соотношению цена/производительность. Хотя в условиях хорошей репозиции, обеспеченной дистрактором, любой фиксатор можно сделать было без
проблем.
|
[
Ответить ]
|
Re: Перелом шейки плеча - тактика?
Отправитель: Anatoly Lazarev 02 Апрель 2007, 18:39
|
Глубокоуважаемые коллеги, операция выпонена - это хорошо. Основное упражнение после операции - в положении лежа на спине руки берут в замок с коротким рычагом: согнутые в локтевых суставах уложены на грудь, причем оперированная рука поддерживается максимально здоровой в области предплечья и начинают плавные движения за голову,
придерживая предплечье оперированной руки здоровой. Это упражнение очень полезно, т.к. в данном положении лопатка фиксирована и головка плеча двигается самостоятельно, второй способ - те же движения за голову длинным рычагом - руки выпрямлены или полусогнуты в локтевых суставах взяты в замок в ладонях, сначала вся нагрузка на здоровую руку, она должна удерживать оперированную в прямом или полусогнутом положении, и постепенно каательными или плавными последовательными движениями обе руки заводят за голову до подушки. Через неделю возможны упражнения стоя или лежа с палкой: стоя - подъем рук вверх, лежа - подъем и заведение за голову. Важный момент в этих упражнениях: 1. фиксированная лопатка, последовательное напряжение мышц антогонистов, ротаторной манжеты, что в норме обеспечивает центрацию и удержание головки в правильном положении в суставе, в наших условиях - создает межотломковую "компрессию". Чем активнее напряжение мышц тем плотнее стоит перелом, а спицы играют роль направителя - в принципе это биомеханическая концепция, которая,
кстати Александр Николаевич работает и при оскольчатых переломах 2-3 и 4 составляющих, в последнем случае с некоторыми дополнениями. У нас ЛФК начанаем с первого дня после операции. А движения с отвисшым суставом не считаем самыми полезными. Всем привет. ЛАФ.
|
[
Ответить ]
|
Re: Перелом шейки плеча - тактика?
Отправитель: Alexander Chelnokov 02 Апрель 2007, 23:19
|
AL> упражнение после операции - в положении лежа на спине руки берут в
Спасибо за ценные сведения, такое упражнения раньше не делали, этой пациентке непременно. Анатолий Федорович, а нельзя ли попросить познакомить интересующихся с более детальным и систематическим описанием, что и как? И в операционной, и после? Методичку, пособие для
врачей? Его бы выложить на сайт, а то такие важные подробности выясняются буквально случайно.
AL> в принципе это биомеханическая концепция, которая, кстати
AL> Александр Николаевич работает и при оскольчатых переломах 2-3 и 4
AL> составляющих, ыв последнем случае с некоторыми дополнениями.
Был бы очень признателен за более развернутое описание подхода в этих, более сложных ситуациях, Опыт такой фиксации у нас все еще небольшой, и 10 случаев нет. Как закрыто сопоставлять разобщившиеся фрагменты головки?
Как их удержать во вправленном состоянии 2-3 Y спицами? Спасибо!!
|
[
Ответить ]
|
Re: Перелом шейки плеча - тактика?
Отправитель: Anatoly F. Lazarev 03 Апрель 2007, 17:39
|
По поводу методик перкутанного остеоиинтеза напряженными спицами мы выпустили две методички под названием "медицинская технология" в 2005 году, кроме того мы неоднократно выступали на конференциях и думали, что это никому не интересно с практической точки зрения - видно, ошибались.
Во третьих: я как то писал на форум о создании народного руководства по травматологии и ортопедии, но только с конкретным "заказом от конкретных авторов. Хорошо бы было это все собирать на сайте ли где, потом можно издать сборних лучших работ года или еще что-либо, или
руководство через некоторое время, после соответствующей редакции, или оставить в элетронном виде, как Российский паритет ну и т.д. и т. п.
Почему важно, что бы это было адресно - потому,что это требует времени и ответственности, а когда знаешь для кого и зачем пишешь, легче преодолеть дефицит времени и собственную лень.
У меня, например, большие проблемы с сайтом, почему-то не всегда могу выйти по ссылкам на него - не открывает страницу. Касательно конкретно шейки плеча - могу попробовать изложить свое мнение и опыт, но самые показательные примеры в движении очень энергоемки и кто-то (не помню как называть) их не всегда пропускает. Если ты меня научишь сжимать или еще что, то попробую отправить. Кстати, на 1 симпозиуме международного альянса остесинтеза в СПБ в апреле будет мой доклад по шейке плеча, но 10 мин. не всегда достаточно.
Всем привет ЛАФ.
|
[
Ответить ]
|
Re: Перелом шейки плеча - тактика?
Отправитель: Alexander Chelnokov 03 Апрель 2007, 23:23
|
AL> спицами мы выпустили две методички под названием "медицинская
AL> технология" в 2005 году,
То есть они, видимо, есть в виде файлов Word или pdf - давайте их положим на сайт?? Или, если есть в колективе активная молодежь, которая не боится компьютеров поручить им переверстать материал под веб-представление. Сейчас многие любители свои веб-странички сами редактируют.
AL> кроме того мы неоднократно выступали на кнференциях и думали, что
AL> это никому не интересно с практической точки зрения - видно ошибались.
Конечно ;-) Можно подумать, у коллег из Европы или США внедрение этой
методики идет быстрее, чем здесь.
AL> Во третьих: я как то писал на форум о создании народного руководства
AL> по травматологии и ортопедии, но только с конкретным "заказом от
Анатолий Федорович, это мысль очень ценная. Придется, похоже, самим. Небольшой похожий опыт такой у нас здесь уже был, когда коллективно попытались сделать тексты в для предложений конференции по осложнениям, вроде получилось неплохо. Сейчас некоторые коллеги подключились к переводам статей с франецузского сайта. Но, конечно, наше сообщество способно на большее.
AL> Хорошо бы было это все собирать на сайте ли где, потом можно
AL> издать сборних, лучших работ года или еще, что-либо, или
Для начала - нужно пополнять библиотечку наших же методичек, пособий для врачей. Все подобное, что попадает в руки, я стараюсь разместить на сайте. Ау, коллеги!
AL> руководство через некоторое время, после соответствующей редакции, или
AL> оставить в элетронном виде, как Российский паритет ну и т.д. и т. п.
В общем, по материалам многих прошедших дискуссий можно составить интересную подборку, аналогов которой в современной русскоязычной литературе нет.
Наверно, это можно и нужно делать не одному человеку, а группе, или нескольким группам. Взять на группу какой-то проблемный раздел, пусть ищут и фильтруют на сайте обсуждения по этой теме, а потом все это свести для начала в некий тематический каталог. Например, разделами могут быть "Повреждения таза и вертлужной впадины",
"Эндопротезирование", "Инфекция после остеосинтеза", какие-то другие разделы... Какие есть на этот счет предложения? Коллеги, кто готов
поучаствовать в такой деятельности?
AL> легче преодолеть дефицит времени и собственную лень.
Обозначены ключевые аспекты проблемы ;-)
AL> У меня например большие проблемы с сайтом, почему то не всегда могу
AL> выйти по сслылкам на него - не открывает страницу.
Иногда это внутримосковские проблемы между провайдерами. Анатолий Федорович, коллеги - напишите мне личной почтой, отправьте в приложении любые материалы, которые полагаете полезными для коллег.
AL> Касательно конкретно шейки плеча - могу попробовать изложить свое
AL> мнение и опыт,
Прежде всего, чтобы не тратить время и силы дважды и трижды - когда есть готовые тексты типа методичек, или по нынешнему "медицинских технологий" - как базовый материл надо использовать их.
А Ваше время, Анатолий Федорович, поберечь для ответов на "продвинутые" вопросы, которые появлятся после знакомства с базовой техникой и наступания на первые грабли.
AL> но самые показательные примеры в движении очень
AL> энергоемки и кто-то (не помню как называть) их не всегда пропускает.
Это технический вопрос, можно проблему решать в рабочем порядке.
Если подразумеваются видеоролики - для презентации в зале это уместно, а для онлайнового представления избыточно. Или, вернее, можно выложить варианты для высокоскоростной линии и для медленного канала связи.
AL> Если ты меня научишь сжимать или еще что, то попробую отправить.
Можно отправить мне на личный адрес. Если уж совсем неподъемное, десятки мегабайт - можно разбить на части, можно отправить на специальный сайт для закрузки и скачивания файлов типа rapidshare.de или zalil.ru.
AL> Кстати, на 1 симпозиуме международного альянса остесинтеза в СПБ
AL> в апреле будет мой доклад по шейке плеча, но 10 мин. не всегда
Как всегда, послушаем с вниманием. Но услышанный доклад через полгода помнишь только в обищх чертах, поэтому иметь веб-библиотеку методичек полезно бы. Действительно, к ним бы можно как-то приделывать ссылки на последующие обсуждения, которые могут добавлять какие-то полезные моменты, не отраженные в базовом описании техники. В сетевом сообществе сделать следующую версию методички, "улучшенную и доработанную", можно гораздо оперативнее, чем традиционным путем.
|
[
Ответить ]
|
Re: Перелом шейки плеча - тактика?
Отправитель: В Машталов 27 Март 2007, 13:23
|
Ув. Александр!
Все очень красиво получилось!
> Репозиция сделана спицевым дистрактором, проксимальная спица была
> проведена в плоскости деформации перпендикулярно оси наклонившейся
Черкните схемку наложения дистрактора
> Получилось все довольно легко. Спицы малость покороче можно
Чтобы глубже погрузить спицы надо отверстия расширять мм до 6, что нецелесообразно, даже такие концы не сильно мешают реабилитации.
В.Машталов
|
[
Ответить ]
|
Re: Перелом шейки плеча - тактика?
Отправитель: Alexaander Chelnokov 03 Апрель 2007, 00:34
|
В приложении. Схема простая - по спице в каждый отломок, полукольцо проксимально, кольцо дистально, два телескопа. Как уже писал, ключевым моментом было введение спицы в плоскости диформации проксимального
оттдела плеча.

|
[
Ответить ]
|
|
Re: Перелом шейки плеча - тактика?
александр 14 Декабрь 2008, 03:26
|
просмотрел,сайт остановился на вас мне нужна ваша помощь:упал 7.12.08.как раз был за границей решил восстанавливаться на родине поэтому по прилету потерял еще 5 дней.когда прилетел оказалось не так все просто.сегодня неделя как я с осколочным переломом головки плечевой кости.возметесь за меня.после посещения киевск. института тавматологии кажется,что оперируют одни кановалы.согласен на любые условия,если вы считаете что мне можно помочь.выбрал вас по вашим работам сколько вам лет.с ув. александр Б.Церковь
|
[
Ответить ]
|
Re: Перелом шейки плеча - тактика?
александр 14 Декабрь 2008, 03:27
|
просмотрел,сайт остановился на вас мне нужна ваша помощь:упал 7.12.08.как раз был за границей решил восстанавливаться на родине поэтому по прилету потерял еще 5 дней.когда прилетел оказалось не так все просто.сегодня неделя как я с осколочным переломом головки плечевой кости.возметесь за меня.после посещения киевск. института тавматологии кажется,что оперируют одни кановалы.согласен на любые условия,если вы считаете что мне можно помочь.выбрал вас по вашим работам сколько вам лет.с ув. александр Б.Церковь
|
[
Ответить ]
|
( Ответить )
|
|