AOTRAUMA.ORG Центр Илизарова  

Ортопедия и травматология Общие вопросы/General questions Help Информационные технологии в медицине
 вверх
 отправить
 поиск
 админ
 главная
 Предыдущее
 Весь тред


Re: Нелеченный перелом вертлужной впадины
Chip Routt 26 Март 2007, 13:32
Who knows? The images are insufficient to detail a reasonable plan.
  • Сообщения о Ортопедия и травматология
  • Также Chip Routt
  • Связаться с автором
  • Ответить

    Re: Нелеченный перелом вертлужной впадины
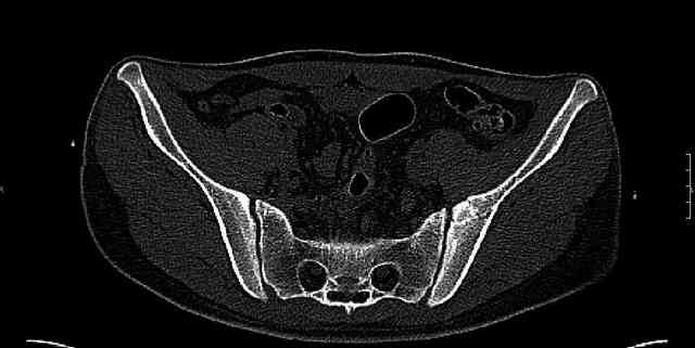
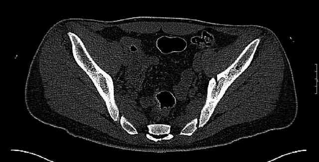
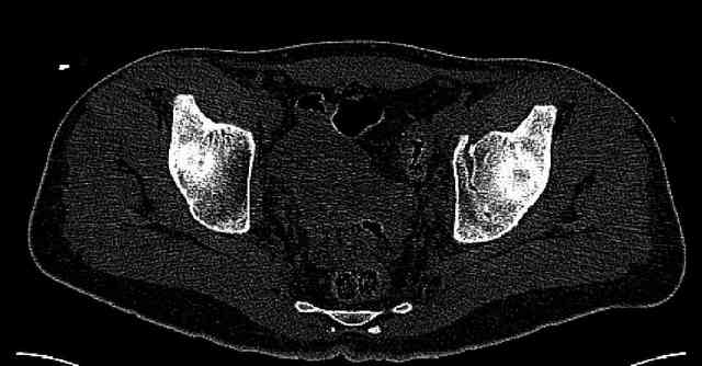
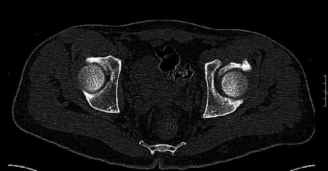
    Alexander Chelnokov 27 Март 2007, 08:14
    Some more images. Does it help to guess which part of the acetabulum is displaced?



    [ Ответить ]

    • Re: Нелеченный перелом вертлужной впадины
      Отправитель: Chip Routt 27 Март 2007, 08:18
      Normal appearing SI joints and a healed posterior column limb... my bet's on caudal segment displacement.

      MLCR

      [ Ответить ]

     

    ( Ответить )

    Powered by Zope  Squishdot Powered MedLink
    Посетитель: 0381601
      "По форме правильно, а по существу - издевательство" В.И.Ленин
    ©2001-2019Orthoforum Coordinator.
    [ Главная | Отправить сообщение | Поиск | Админ ]