вверх
отправить
поиск
админ
главная
|
перелом лодыжек + болезнь Виллебранда |
 |
 |
 |
Отправлено Александр Золотов 28 Март 2007, 17:05
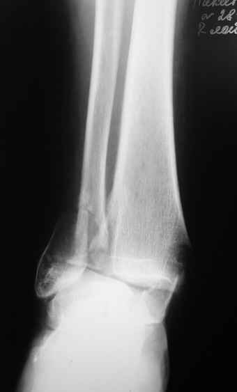
Уважаемые коллеги,Поступила пациентка, 59 лет, с переломом лодыжек. В связи с выраженным отеком при поступлении наложено скелетное вытяжение. Грубая деформация устранена. Планировался остеосинтез пластиной, винтами. Однако больная сообщила, что страдает болезнью Виллебранда, и что гематолог рекомендовал, по возможности, избегать оперативных вмешательств из-за высокого риска кровотечений. По этой причине планируем закрытый остеосинтез с применением аппарата Илизарова. Какие опасности и осложнения могут встретиться в связи с данным сопутствующим заболеванием?
<
|
>
|
|
Ответить
|
Re: перелом лодыжек + болезнь Виллибрандта
Anton Vladzimyrskiy & Alexander Chelnokov 28 Март 2007, 20:02
|
Дорогие коллеги, если есть опасения насчет операцмм, остается вариант подержать нескольк дней на вытяжении (при необходимости с боковыми тягами), и после спадения отека загипсовать.
Из конференцзала, Ваши
Антон и Александр
|
[
Ответить ]
|
Re: перелом лодыжек + болезнь Виллибрандта
Лединников Игорь Михайлович 29 Март 2007, 21:17
|
Однажды пришлось по экстренным показаниям оперировать больного 16-ти лет с болезнью Виллебранда (огнестрельный перелом голени). Выполнялась ПХО раны и остеосинтез аппаратом Илизарова. Никаких особых впечатлений от избыточной кровоточивости и прочем не осталось. А сам диагноз был установлен двумя неделями позже.
Хотя единичное наблюдение, конечно, не показатель.
|
[
Ответить ]
|
Re: перелом лодыжек + болезнь Виллебрандта
Дмитрий Мирошников 01 Апрель 2007, 01:29
|
Страшного ничего, в принципе, нет! Массивной кровопотери не будет. Существуют готовые факторы свертывания, под их прекрытием можно выполнить операцию любой сложности.
|
[
Ответить ]
|
Re: перелом лодыжек + болезнь Виллебрандта
Василий Мамонов 02 Апрель 2007, 22:10
|
Уважаемый Александр!
Имеет значение тяжесть б-ни Виллебранда, при отсутствии возможности определить фактор Виллебранда, ф.VIII и агрегацию тромбоцитов,
ориентируйтесь на АЧТВ и время кровотечения, если эти показатели грубо нарушены, то речь идёт о тяжёлой форме заболевания.
Оперативные вмешательства у этих больных сопровождаются интенсивным кровотечением, часто не контролируемым.
В этой ситуации первоочередным является обеспечение гемостаза в посттравматичесом периоде (первые 14 дней), во время операции и в
послеоперационном периоде (14 дней после операции), а только потом нужно думать что делать с переломом.
Пациентку лучше перевести в специализированное учреждение, где оперируют таких больных ( в Москве - ГНЦ РАМН, С-Птб - институт переливания крови,
есть центры в Барнауле, Кирове, Хабаровске). Если это не возможно, проводится консервативное лечение и гемостатическая терапия до спадания
отёка и рассасывания гематомы под прикрытием концентрата фактора VIII, содержащего в своём составе фактор Виллебранда (Гемоктин, Коэйт-ДВИ и другие не рекомбинантные препараты), в дозе 50 Ед на кг массы тела в первые 5-7 дней, далее, 30 Ед на кг массы тела - до 14 дней. Если возникнут показания, под прикрытием гемостатической терапии можно прооперировать (очень важен эффективный гемостаз в раннем послеоперационном периоде). Если нет концентратов фактора VIII, можно использовать криопреципитат (1 доза на 7-10 кг массы тела 2 раза в день в первые 4 дня, далее один раз в день в течение 14 дней) или, на крайний случай, СЗП - 500-750 мл в сутки, но тогда от оперативного лечения лучше отказаться.
С уавжением, Мамонов Василий Евгеньевич, рук. отделения ортопедии для больных гемофилией ГНЦ РАМН (тел. (495) 613-24-69)
|
[
Ответить ]
|
Re: перелом лодыжек + болезнь Виллебранда
Сувалян Микаэл 04 Апрель 2007, 18:08
|
Видимо, совсем я отстал от современной травматологии, но никак не могу понять, почему не вылечить больную консервативно при тяжелом сопутствующем заболевании? Или после репозиции (пусть то на скелетном вытяжении или с помощью гипсовой повязки) остается грубейшее смещение отломков/подвывих стопы?
|
[
Ответить ]
|
Re: перелом лодыжек + болезнь Виллебранда
Игорь Николаевич 07 Апрель 2007, 23:54
|
Вариант с наложение АВФ\Илизарова/ наиболее оптимальный в данном случае. Нобходима фиксация стопы в аппарате на первом этапе. Можно из небольшого, типичного, разреза репонировать медиальную лодыжку с фиксацией спицей. Компановка аппарата из базы на средней трети голени и дополнительно на выносной плпнке отдельная спица, основное кольцо в зоне перелома и средний отдел стопы с пяточной костью.
Удачи!
|
[
Ответить ]
|
Re: перелом лодыжек + болезнь Виллебранда
Alexander Zolotov 15 Апрель 2007, 19:27
|
Уважаемые коллеги,
Спасибо за обсуждение нашей пациентки. Применили аппарат Илизарова, место перелома не открывали.. Прошло около двух недель. Кровотечения не было ни во время операции, ни после. Снимки представлю позже, пациентка выписалась и увезла их с собой.
Best regards,
Alexander
|
[
Ответить ]
|
( Ответить )
|
|