AOTRAUMA.ORG Центр Илизарова  

Ортопедия и травматология Общие вопросы/General questions Help Информационные технологии в медицине
 вверх
 отправить
 поиск
 админ
 главная


Последствия сочетанной травмы лица
Ортопедия и травматология Отправлено Dmitry Kalinovsky 30 Март 2007, 00:52
Уважаемые коллеги!
Прошу Вашего совета по следующему клиническому случаю:
Пациентка О., 34 лет.

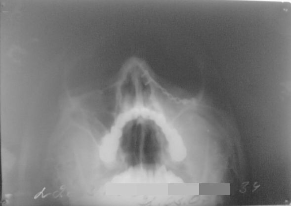
Д-з: Посттравматическая деформация средней зоны лица, последствия тяжелой ЧМТ (травма год назад), сост. после репозиции и остеосинтеза левого нижнеорбитального края мини-пластиной с винтами (08.12.06).

До операции – выраженная диплопия и западение глазного яблока, деформация нижнеорбитального края слева. После операции в течении 2-х месяцев беспокоила слезоточивость, отек век (лимфостаз), однако диплопии не было. Последние две недели слезотечения нет, лимфостаз ликвидирован (проходит курс лечения у окулиста по м/ж), однако появилась диплопия и незначительное западение глазного яблока (см. фото), выраженные меньше, чем до операции.

Вопросы:
1.Какими методами исследования можно установить степень повреждения глазодвигательных мышц? 2.Какова степень «заинтересованности» в диплопии дефекта нижнеорбитального края и нижней стенки орбиты?
3.Есть ли возможность скорректировать положение глазного яблока путем воздействия на глазодвигательные мышцы (которые были травмированы и ущемлены осколками)?
4.Можно ли с большой долей вероятности утверждать, что указанные жалобы пройдут после пластики нижней стенки (дна) орбиты?
С уважением, Калиновский Д.К.

<  |  >

 

  • Сообщения о Ортопедия и травматология
  • Также Dmitry Kalinovsky
  • Связаться с автором
  • Ответить

    Powered by Zope  Squishdot Powered MedLink
    Посетитель: 0210197
      "По форме правильно, а по существу - издевательство" В.И.Ленин
    ©2001-2019Orthoforum Coordinator.
    [ Главная | Отправить сообщение | Поиск | Админ ]