AOTRAUMA.ORG Центр Илизарова  

Ортопедия и травматология Общие вопросы/General questions Help Информационные технологии в медицине
 вверх
 отправить
 поиск
 админ
 главная


Неправильно консолидирующий перелом
Ортопедия и травматология Отправлено Игорь Сергеевич 31 Март 2007, 21:57
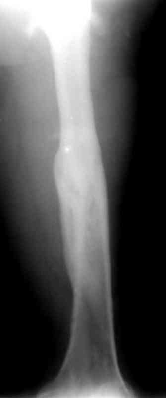
Уважаемые коллеги!На прилагаемых снимках - состояние после оперативного вмешательства (открытый перелом левого бедра в средней трети):
МОС, стержень нефиксированный. С момента операции прошло 8 месКак по Вашему мнению происходит консолидация? Допустимо ли смещение или необходима повторная операция по выравниванию конечности? Если да, какой метод рекомендуете (фиксированный стержень, пластина)?Буду благодарен за оперативный ответ.

<  |  >

 

  • Сообщения о Ортопедия и травматология
  • Также Игорь Сергеевич
  • Связаться с автором
  • Ответить

    Re: Неправильно консолидирующий перелом
    Alexander Chelnokov 01 Апрель 2007, 01:28
    Что такое "МОС"?
    Вы не пишете, есть ли сейчас болезненные проявления, и какие. Как пациент ходит. Какова функция колена. Ось выглядит приемлемо. Рентгенологически на сращение непохоже. Если есть клиника несращения (боль, хромота), то лучший выбор - закрыто рассверлить и перештифтовать блокированным гвоздем. Желательно определиться поточнее, нет ли проблемы с длиной , чтобы попутно и ее решить. И не создать. Ну и прежде всего исключить инфекцию. Если это инфицицированное несращение, план надо другой.
    [ Ответить ]

    • Re: Неправильно консолидирующий перелом
      Отправитель: Виктор 01 Апрель 2007, 15:47
      Большое спасибо за быстрый ответ.
      МОС - металлоостеосинтез (неблокированный стержень).
      Есть укорочение макс 1,5 см.
      Болезненные проявления в коленном суставе - не дают возможность 100% нагрузки (сейчас в период принятия
      решения нагрузка 5-7 кг).
      Пациентка ходит с костылями. Не получается отработка естественных движений конечности, предписанных ЛФК.
      Было бы интересно Ваше мнение, после получения Вами этих дополнительных данных.
      Зараниее спасибо!

      [ Ответить ]
      • Re: Неправильно консолидирующий перелом
        Отправитель: Alexnder Chelnokov 01 Апрель 2007, 18:12
        В> МОС - металлоостеосинтез (неблокированный стержень).
        В> Есть укорочение макс 1,5 см.


        Уже на грани. Лучше длину восстановить.

        В> Болезненные проявления в коленном суставе - не дают возможность
        В> 100% нагрузки (сейчас в период принятия решения нагрузка 5-7 кг).


        А есть ли основания для этого со стороны собственно сустава? Было его повреждение? Или это иррадиация, проявление несращения?

        В> Пациентка ходит с костылями. Не получается отработка естественных

        В общем, нога неопорна. То есть пора что-то делать.

        В> Было бы интересно Ваше мнение, после получения Вами этих дополнительных данных.

        В общем, план тот же - удаление, закрытый реостеосинтез стержнем с блокированием. Лучше с коррекцией не только оси, но и длины. По деталям - может быть много нюансов. Можно удалить стержень, наложить интраоперационный дистрактор, лучше спицевой, растянуть сколько получится, заштифтовать с коррекцией оси с помощью отклоняющих (Poller) спиц/винтов, и в этом "напряжении растяжения" статически запереть. Какие имплантаты доступны?





        [ Ответить ]
    Re: Неправильно консолидирующий перелом
    Сувалян Микаэл 01 Апрель 2007, 02:37
    При таком диаметре штифта не удивительно, что перелом не сросся (кстати, какой диаметр и что за модификация штифта?).
    Абсолютно согласен с А.Челноковым, что метод выбора в данной ситуации: удаление штифта, антеградное рассверливание и реостеосинтез массивным штифтом... и не обязательно блокированным... на мой взгляд, можно использовать и общепринятый штифт типа Кюнчера.

    П.с.: МОС - металлоостеосинтез

    П.п.с: фиксированный стержень? это блокированный или что подразумевается?

    Кстати, очень интересно подробное описание ведение этого больного. Особенно интересны сроки нагрузки на оперированную конечность...
    [ Ответить ]

    • Re: Неправильно консолидирующий перелом
      Отправитель: Alexander Chelnokov 01 Апрель 2007, 15:04
      СМ> блокированным... на мой взгляд, можно использовать и общепринятый
      СМ> штифт типа Кюнчера.


      Наверно, этим гвоздям уже пора в музей. Не говоря даже о том, что в данном случае чтобы гвоздь Кюнчера или подобный плотно сел в дистальный отломок, надо рассверлить канал миллиметров этак до 20.


      СМ> П.с.: МОС - металлоостеосинтез

      Спасибо. То есть РОС - это резинооостеосинтез, а ПОС - пластмассоостеосинтез?

      СМ> Кстати, очень интересно подробное описание ведение этого больного.
      СМ> Особенно интересны сроки нагрузки на оперированную конечность...


      А чего интересного тут можно ожидать? Явно была открытая репозиция. Фиксация при таком переломе таким стержнем - это не очень состоятельный остеосинтез, неожиданностей не случилось.

      [ Ответить ]
    • Re: Неправильно консолидирующий перелом
      Отправитель: Виктор 01 Апрель 2007, 15:56
      Большое спасибо за быстрый ответ.
      Штифт - неблокированный, ставили в Николаеве (больная проживает и наблюдается в Киеве); да есть
      смысл связаться с клиникой где ставили и узнать.
      Больная начала давать нагрузку на конечность через 4 мес после операции (в месте перелома
      совмещение было очень аккуратное). Жаловалась на боль в коленном суставе, которая не дала
      возможности увеличивать нагрузку до 100% (в данный момент - около 50% макс. Может это и к лучшему (смещение начало происходить после начала нагрузок). Сейчас в период принятия решения рекомендованная нагрузка 5-7 кг.
      Есть укорочение конечности до 1,5 см.
      Как насчет вскрытия зоны перелома? Имплантант? Недостатки пластины по Вашему мнению?
      Было бы очень интересно Ваше мнение.

      [ Ответить ]
    Re: Неправильно консолидирующий перелом
    Алексей Семенистый 01 Апрель 2007, 04:21
    Как по Вашему мнению происходит консолидация?

    По-моему - замедлнно.

    Допустимо ли смещение...

    В этой проекции угловое смещение градусов 15-20 - многовато будет. Есть ли укорочение?

    ...или необходима повторная операция по выравниванию конечности? Если да, какой метод рекомендуете (фиксированный стержень, пластина)?

    Удалить, исправить ось, рассверлить, заштифтовать блокируемым гвоздем.
    [ Ответить ]

    • Re: Неправильно консолидирующий перелом
      Отправитель: Виктор 01 Апрель 2007, 16:37
      Большое спасибо!

      Есть укорочение макс 1,5 см.
      Место перелома необходимо вскрывать? Имплантант?
      В этом и есть сомнение по новому стержню.
      Недостатки пластины?
      Очень интересует Ваше мнение.
      Заранее спасибо!

      [ Ответить ]
      • Re: Неправильно консолидирующий перелом
        Отправитель: Алексей Семенистый 01 Апрель 2007, 19:14
        Здравствуйте, Виктор!

        > Есть укорочение макс 1,5 см.

        Должно уйти, как только исправите ось.

        > Место перелома необходимо вскрывать?

        Зачем? Закрытое введение штифта (да и пластины) в меньшей степени нарушает кровоснабжение костных фрагментов.
        Задача не только в том, чтобы очень крепко соединить отломки, но и что бы они при этом остались живыми, способными к реперативному остеогенезу.


        >Имплантант?

        Оптимально - титановый блокируемый дистально и проксимально штифт, с анатомической кривизной, диаметром 12-14 мм. Каннюлированный или солидный - непринципиально.
        Альтернатива - малоинвазивно длинную LC-LCP.

        > В этом и есть сомнение по новому стержню.
        > Недостатки пластины?


        1) Биомеханически штифт в центре кости выгоднее пластины снаружи
        2) Технически штифтование проще
        3) Штифтование менее травматично для мягких тканей
        4) На штифте рекомендуем полную нагрузку сразу

        1) Риск перелома пластины, даже самой фирменной, в условиях замедленного сращения значительно больше, чем штифта
        2) Восстановить ось на пластине при малоинвазивной технике совсем непросто
        3) Открытая процедура реостеосинтеза бедра пластиной травматична для мягких тканей и для кости.

        Какие у Вас возможности, что доступно?

        С уважением, А.Семенистый.
        ГКБ 13, Москва.

        [ Ответить ]
        • Re: Неправильно консолидирующий перелом
          Отправитель: Игорь Сергеевич 03 Апрель 2007, 02:17
          Доступно применить и штифт, и пластину. Вопрос в выборе методики: какая из них даст наилучший вариант по выравниванию как ротации, так и вальгуса (при этом обеспечит хорошие возможности для быстрого сращения). Возможно ли по Вашему мнению штифтом исправить вальгус?

          [ Ответить ]
          • Re: Неправильно консолидирующий перелом
            Отправитель: Алексей Семенистый 03 Апрель 2007, 13:45
            > Доступно применить и штифт, и пластину. Вопрос в выборе методики:
            > какая из них даст наилучший вариант по выравниванию как ротации, так и
            > вальгуса (при этом обеспечит хорошие возможности для быстрого сращения).


            БЛОКИРУЕМЫЙ ШТИФТ1

            >Возможно ли по Вашему мнению штифтом исправить вальгус?

            Конечно.
            С уважением, А.Семенистый.
            ГКБ 13, Москва.

            [ Ответить ]
          • Re: Неправильно консолидирующий перелом
            Отправитель: Alexander Chelnokov 03 Апрель 2007, 16:49
            ИС> какая из них даст наилучший вариант по выравниванию как ротации, так и
            ИС> вальгуса (при этом обеспечит хорошие возможности для быстрого


            Интрамедулляный гвоздь, безусловно. Перимущества А.Семенистый в основном перечилил. В чем конкретно остаются сомнения, чтобы не повторяться?

            ИС> сращения). Возможно ли по Вашему мнению штифтом исправить вальгус?

            Можно. Ввести отклоняющую спицу или винт в передне-заднем направлении примерно посредине поперечника бедра, на 4-6 см ниже перелома.

            [ Ответить ]
    Re: Неправильно консолидирующий перелом
    Сувалян Микаэл 01 Апрель 2007, 14:01
    Вчера, когда написал свое сообщение, решил еще раз открыть фоторентгенограмму и убедиться в правильности своих суждений на счет общепринятого интрамедуллярного остеосинтеза. Попытка была безуспешна:)

    Сегодня фотография открылась...беру свои слова назад: перелом явно в расширенном участке бедра. Целесообразней всего динамический блокирующий остеосинтез.

    Ротации конечности у больного нет?
    [ Ответить ]

    • Re: Неправильно консолидирующий перелом
      Отправитель: Игорь Сергеевич 01 Апрель 2007, 23:27
      Есть ротация. Колено ушло внутрь.

      [ Ответить ]
      • Re: Неправильно консолидирующий перелом
        Отправитель: Alexander Chelnokov 01 Апрель 2007, 23:49
        Этого мало для планирования дальнейших действий. Ротационного смещения может и не быть. Надо уточнить направление и величину ротационного смещения - либо КТ на уровне проксимального и дистального метафизов,
        либо, проще, согнуть до 90 градусов тахобедренные и коленные суставы, колени вмесет, и сделать прямой снимок тазобедренных суставов, получите антеверсию.

        [ Ответить ]
    Re: Неправильно консолидирующий перелом
    Сувалян Микаэл 02 Апрель 2007, 17:29
    Учитывая смещения отомков по длине (хоть и 1,5 см, но все же..), очевидное ротационное смещение (видно даже по Р-мам) самым правильным, на мой взгляд, решением было бы: наложение аппарата Илизарова на бедро с остеотомией бедренной кости и исправлением ротационной деформации. Дистракция на аппрате пару недель и последующий блокирующий остеосинтез. У нас в клинике был один пациент с практически идентичной историей (укорочение конечности было значительно больше), которому мы выполнили такую операцию (блокирующий остеосинтез был выполнен без рассверливания костно-мозгового канала). В настоящее время больной работает, прыгает с парашютом, периодически звонит и благодарит за лечение.
    Все это, безусловно, трудоемко, как для медперсонала, так и для пациента, но это самый оптимальный вариант (ИМХО).
    При желании могу выслать Р-мы и фотографии пациента.

    П.с.: Речи о накостном остеосинтезе, на мой взгляд, не должно быть (учитывая остеопороз и др. факторы).

    П.п.с: ...а блокируемые штифты имеются в наличии в Вашей клинике?
    [ Ответить ]

    • Re: Неправильно консолидирующий перелом
      Отправитель: Alexander Chelnokov 02 Апрель 2007, 22:28
      СМ> на мой взгляд, решением было бы: наложение аппарата Илизарова на бедро

      Вполне работоспособный вариант, хотя он здесь, скорее всего, избыточен - при таком небольшом укорочении. По снимку не видно, за счет чего здесь могло бы иметься значительное укорочение.

      СМ> При желании могу выслать Р-мы и фотографии пациента.

      Конечно, интересно.

      СМ> П.с.: Речи о накостном остеосинтезе, на мой взгляд, не должно быть
      СМ> (учитывая остеопороз и др. факторы).


      Выбор зависит и от доступного на месте, и от навыков в той или иной методике. Пластина с костной пластикой - конечно, менее предпочтительный вариант в такой ситуации, чем штифт с блокированием, но и такой подход, и аппарат, могут обеспечить окончательный результат в виде сращения. Хотя и "дороже" - и более трудоемко, и травматично, и для функции колена менее благоприятно, и нагрузку полную позже, и риск неудачи выше, и т.д.


      [ Ответить ]
    • Re: Неправильно консолидирующий перелом
      Отправитель: Виктор 03 Апрель 2007, 17:03
      Буду благодарен за высланные материалы!
      Я так понял, в Вашем случае была исправлена только ротация или вальгус тоже?
      По вопросу наличия штифтов - доступно многое, вопрос только в выборе методики, наиболее гарантироющей
      выравнивание конечности и обеспечивающей срост. Чтоб решить проблему один раз - без последующих переделок.

      [ Ответить ]
      • Re: Неправильно консолидирующий перелом
        Отправитель: Alexander Chelnokov 03 Апрель 2007, 18:55
        Несколько обсуждений на подобные темы см.
        http://weborto.net/forum/1158873835/
        http://weborto.net/forum/1142229024/,
        http://weborto.net/forum/1075265258/

        [ Ответить ]
      • Re: Неправильно консолидирующий перелом
        Отправитель: Микаэл Сувалян 04 Апрель 2007, 11:43


        История больного, о котором я говорил выше. Не удивляйтесь изложенному
        материалу (выдержка из диссертационной работы).

        Больной А., 28 лет, поступил в НИИ им. Н.В. Склифосовского 22.12.99 после падения на улице. Жалобы на боли в области левого тазобедренного сустава и левом бедре. Из анамнеза следовало, что 20.06 во время прыжка с парашютом у него возник закрытый оскольчатый перелом средней трети левой бедренной кости со смещением отломков, по поводу чего в одной из ЦРБ Московской области через 3 дня после травмы был произведен открытый интрамедуллярный остеосинтез штифтом типа Кюнчера.
        Послеоперационное течение было гладким. Больной ходил при помощи костылей с дозированной нагрузкой на оперированную конечность.При осмотре в НИИ им. Н.В. Склифосовского через 6 месяцев после травмы:
        левое бедро и левый коленный сустав несколько увеличены в объеме, отечны, пальпаторно определяется болезненность в средней трети бедра;
        по его наружной поверхности послеоперационный рубец - рана зажила первичным натяжением. При измерении длины бедер обнаружено укорочение левого бедра на 4,5 см. На рентгенограммах этого бедра: ось конечности правильная, отмечается захождение основных костных фрагментов по длине, проксимальный конец штифта выступает слишком медиально и высоко относительно большого вертела, периостальная мозоль незначительна.22.12 - через 6 месяцев после операции, произведенной в ЦРБ, нами по поводу замедленно консолидирующего перелома левой бедренной кости с ее абсолютным укорочением под наркозом произведена операция: удаление штифта, закрытый блокирующий интрамедуллярный остеосинтез перелома левого бедра штифтом без рассверливания (UFN) длиной 40 см, диаметром 10 мм с блокированием только проксимальных отверстий (динамический остеосинтез). Наложен аппарат Илизарова на 4 полукольцах с целью удлинения укороченного бедра. Послеоперационное течение без особенностей. Ежедневно осуществляли дистракцию отломков на 1 мм. Через 3 недели после операции больной выпи-сан на амбулаторное лечение с продолжением дистракции отломков. В течение 1,5
        месяцев дистракции укорочение левого бедра удалось полностью устранить. 22.02.00, т.е. через 2 месяца после повторного остеосинтеза, больному произведено дистальное блокирование штифта двумя винтами и демонтирован аппарат Илизарова. В течение 2 недель после операции больной ходил с помощью костылей, потом 2 недели с тростью. Опороспособность и функция оперированной конечности полностью восстановились через 4 недели после операции.
        Фиксаторы удалены через 12 месяцев после операции, выполненной по поводу замедленной консолидации перелома бедра с его укорочением.

        [ Ответить ]
        • Re: Неправильно консолидирующий перелом
          Отправитель: Игорь Сергеевич 05 Апрель 2007, 01:16
          Спасибо! Истинно мастерская работа. Представляю как счастлив пациент исходом этой истории.
          На финальных снимках видно - сращение прям таки железное. Если Вы не устали отвечать, осмелюсь задать еще вопрос - что-то принимал пациент в целях ускорения сроста (кальций, режим питания). Интересны также вопросы восстановления функций конечности - в какой период были рекомендованы группы упражнений для восстановления основных групп мышц?


          [ Ответить ]
          • Re: Неправильно консолидирующий перелом
            Отправитель: Alexaander Chelnokov 05 Апрель 2007, 15:24
            ИС> устали отвечать, осмелюсь задать еще вопрос - что-то принимал пациент
            ИС> в целях ускорения сроста (кальций, режим питания).


            Остается только удивляться стойкости этого мифа.
            Есть какой-то смысл при остеопорозе принимать бифосфонаты или соматотропин в сочетании с препаратами кальция - но только для профилактики последующих переломов. Не существует никаких
            "ускорительных" диет, и ни кальций, ни витамины к уже имеющемуся перелому отношения не имеют.

            ИС> Интересны также вопросы восстановления функций конечности - в
            ИС> какой период были рекомендованы группы упражнений для


            Функциональные ограничения исчезают немедленно после штифтования.
            Неограниченная нагрузка также возможна немедленно при условии, что использован гвоздь с запирающими винтами диаметром более 5 мм.


            [ Ответить ]
    Re: Неправильно консолидирующий перелом
    Васюков Вячеслав Анатольевич 11 Апрель 2007, 23:38
    Уважаемый Игорь Сергеевич! В данном случае ситуация банальная.Несросшийся перелом бедра в условиях нестабильного интрамедулярного остеосинтеза с трансформацией в гипертрофический псевдартроз с ротационным смещением.Я бы постуспил следующим образом:удаление нестабильного фиксатора обязательно! Остеосинтез предпочтительно внеочаговый АВФ,лучше стержневой(стабильно-функциональный),в котором возможно устранить ротационный компанент,исправить незначительное угловое.Лечение начинать с дистракции на 5-6сут с темпом 1мм/сут. Нагрузка на конечность на3-5сут полная.
    [ Ответить ]


    ( Ответить )

    Powered by Zope  Squishdot Powered MedLink
    Посетитель: 0390225
      "По форме правильно, а по существу - издевательство" В.И.Ленин
    ©2001-2019Orthoforum Coordinator.
    [ Главная | Отправить сообщение | Поиск | Админ ]