ВХОД ДЛЯ ПАЦИЕНТОВ
вверх
поиск
админ
главная
|
импрессионный перелом головки бедра |
 |
 |
 |
Прислано Гринь Алексей 01 Апрель 2007, 15:47
из Тюмень
Уважаемые коллеги! Прошу посоветовать как лечить больного с двусторонним повреждением тазобедренных суставов.
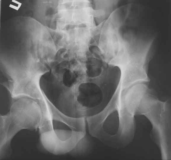
Пациент 30 лет поступил к нам в клинику по поводу закратого поперечного перелома свода, перелома задне -вехнего края правой вертлужной впадины, подвздошного вывиха правого бедра. Постравматического неврита правого седалищного нерва. Закрытого запирательного вывиха левого бедра. травма автодорожная 3 недели назад. Вправление вивихов при поступлении по месту жительства, получал скелетное вытяжение (слева в течении 2 недель).
На контрольной Р-грамме обнаружена импрессия верхнего полюса головки левого бедра. Выполнено КТ.
Планируем выполнить остеосинтез перелома правой ВВ наружным доступом.
Подскажите пожалуйста, необходимо что либо предпринимать по поводу перелома головки левого бедра (в "Мюллере" описана костная пластика дефекта)? И как рано можно разрешить нагрузку на левую ногу.
Обратите внимание: Поля с жирными названиями обязательны.
Старайтесь отвечать в рамках обсуждаемой темы, а не начинать новые обсуждения.
Указывайте адекватную тему сообщения, чтобы было ясно, о чем оно.
Не послайте сообщений не по теме (оффтопик), раздраженных, грубых или обидных комментариев. Здесь это неуместно.
|